Rabbit I-FABP/FABP2 Polyclonal Antibody | anti-I-FABP/FABP2 antibody
Anti-I-FABP/FABP2 Antibody
Gene Names
FABP2; FABPI; I-FABP
Reactivity
HumanPredicted: Mouse, Rat
Applications
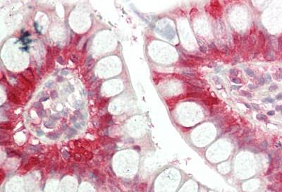
Western Blot, Immunohistochemistry, Immunohistochemistry, Immunofluorescence
Purity
Affinity Purified
Synonyms
I-FABP/FABP2, Antibody; Anti-I-FABP/FABP2 Antibody; Goat Polyclonal to Human I-FABP/FABP2; FABP2; FABPI; Fatty acid-binding protein 2; I-FABP; anti-I-FABP/FABP2 antibody
Host
Rabbit
Reactivity
Human
Predicted: Mouse, Rat
Predicted: Mouse, Rat
Clonality
Polyclonal
Isotype
IgG
Specificity
Human I-FABP/FABP2
Purity/Purification
Affinity Purified
Form/Format
PBS with 0.02% sodium azide, 50% glycerol, pH 7.3
Sequence Length
132
Applicable Applications for anti-I-FABP/FABP2 antibody
WB (Western Blot), IHC (Immunohistochemistry), IHC (Immunohistochemistry), IF (Immunofluorescence)
Immunogen
Recombinant protein of human FABP2
Conjugation
Unconjugated
Preparation and Storage
Store at -20 degree C.
Avoid freeze-thaw cycles.
Avoid freeze-thaw cycles.
Related Product Information for anti-I-FABP/FABP2 antibody
The intracellular fatty acid-binding proteins (FABPs) belong to amultigene family with nearly twenty identified members. FABPs aredivided into at least three distinct types, namely the hepatic-, intestinal- and cardiac-type. they form 14-15 kDa proteins and arethought to participate in the uptake, intracellular metabolism and /ortransport of long-chain fatty acids. they may also be responsible in the modulation of cell growth and proliferation.
NCBI and Uniprot Product Information
NCBI GI #
NCBI GeneID
NCBI Accession #
NCBI GenBank Nucleotide #
Molecular Weight
15,207 Da
NCBI Official Full Name
fatty acid-binding protein, intestinal
NCBI Official Synonym Full Names
fatty acid binding protein 2
NCBI Official Symbol
FABP2
NCBI Official Synonym Symbols
FABPI; I-FABP
NCBI Protein Information
fatty acid-binding protein, intestinal
UniProt Protein Name
Fatty acid-binding protein, intestinal
UniProt Gene Name
FABP2
UniProt Synonym Gene Names
FABPI; I-FABP
Customer Reviews
Loading reviews...
Share Your Experience
Similar Products
Product Notes
The I-FABP/FABP2 fabp2 (Catalog #AAA162444) is an Antibody produced from Rabbit and is intended for research purposes only. The product is available for immediate purchase. The Anti-I-FABP/FABP2 Antibody reacts with Human Predicted: Mouse, Rat and may cross-react with other species as described in the data sheet. AAA Biotech's I-FABP/FABP2 can be used in a range of immunoassay formats including, but not limited to, WB (Western Blot), IHC (Immunohistochemistry), IHC (Immunohistochemistry), IF (Immunofluorescence). Researchers should empirically determine the suitability of the I-FABP/FABP2 fabp2 for an application not listed in the data sheet. Researchers commonly develop new applications and it is an integral, important part of the investigative research process. It is sometimes possible for the material contained within the vial of "I-FABP/FABP2, Polyclonal Antibody" to become dispersed throughout the inside of the vial, particularly around the seal of said vial, during shipment and storage. We always suggest centrifuging these vials to consolidate all of the liquid away from the lid and to the bottom of the vial prior to opening. Please be advised that certain products may require dry ice for shipping and that, if this is the case, an additional dry ice fee may also be required.Precautions
All products in the AAA Biotech catalog are strictly for research-use only, and are absolutely not suitable for use in any sort of medical, therapeutic, prophylactic, in-vivo, or diagnostic capacity. By purchasing a product from AAA Biotech, you are explicitly certifying that said products will be properly tested and used in line with industry standard. AAA Biotech and its authorized distribution partners reserve the right to refuse to fulfill any order if we have any indication that a purchaser may be intending to use a product outside of our accepted criteria.Disclaimer
Though we do strive to guarantee the information represented in this datasheet, AAA Biotech cannot be held responsible for any oversights or imprecisions. AAA Biotech reserves the right to adjust any aspect of this datasheet at any time and without notice. It is the responsibility of the customer to inform AAA Biotech of any product performance issues observed or experienced within 30 days of receipt of said product. To see additional details on this or any of our other policies, please see our Terms & Conditions page.Item has been added to Shopping Cart
If you are ready to order, navigate to Shopping Cart and get ready to checkout.
