Rabbit I kappaB alpha Polyclonal Antibody | anti-IKBalpha antibody
Phospho-I kappaB alpha (Tyr42) Antibody
Predicted: Pig, Bovine, Sheep, Rabbit, Dog
Predicted: Pig, Bovine, Sheep, Rabbit, Dog
WB (Western Blot)
(Western blot analysis of Phospho-I kappaB alpha (Tyr42) in lysates of MCF7 TNF-r, using Phospho-I kappaB alpha (Tyr42) Antibody.)
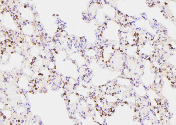
IHC (Immunohistochemistry)
(At 1/100 staining rat lung tissue sections by IHC-P. The tissue was formaldehyde fixed and a heat mediated antigen retrieval step in citrate buffer was performed. The tissue was then blocked and incubated with the antibody for 1.5 hours at 22 degree C. An HRP conjugated goat anti-rabbit antibody was used as the secondary)
Post Translational Modifications: Phosphorylated; disables inhibition of NF-kappa-B DNA-binding activity. Phosphorylation at positions 32 and 36 is prerequisite to recognition by UBE2D3 leading to polyubiquitination and subsequent degradation. Sumoylated; sumoylation requires the presence of the nuclear import signal. Sumoylation blocks ubiquitination and proteasome-mediated degradation of the protein thereby increasing the protein stability. Monoubiquitinated at Lys-21 and/or Lys-22 by UBE2D3. Ubiquitin chain elongation is then performed by CDC34 in cooperation with the SCF(FBXW11) E3 ligase complex, building ubiquitin chains from the UBE2D3-primed NFKBIA-linked ubiquitin. The resulting polyubiquitination leads to protein degradation. Also ubiquitinated by SCF(BTRC) following stimulus-dependent phosphorylation at Ser-32 and Ser-36. Deubiquitinated by porcine reproductive and respiratory syndrome virus Nsp2 protein, which thereby interferes with NFKBIA degradation and impairs subsequent NF-kappa-B activation.
Subunit Structure: Interacts with RELA; the interaction requires the nuclear import signal. Interacts with NKIRAS1 and NKIRAS2. Part of a 70-90 kDa complex at least consisting of CHUK, IKBKB, NFKBIA, RELA, ELP1 and MAP3K14. Interacts with HBV protein X. Interacts with isoform 1 and isoform 2 of RWDD3; the interaction enhances sumoylation. Interacts (when phosphorylated at the 2 serine residues in the destruction motif D-S-G-X(2,3,4)-S) with BTRC. Associates with the SCF(BTRC) complex, composed of SKP1, CUL1 and BTRC; the association is mediated via interaction with BTRC. Part of a SCF(BTRC)-like complex lacking CUL1, which is associated with RELA; RELA interacts directly with NFKBIA. Interacts with PRMT2. Interacts with PRKACA in platelets; this interaction is disrupted by thrombin and collagen. Interacts with HIF1AN. Interacts with MEFV. Interacts with DDRGK1; positively regulates NFKBIA phosphorylation and degradation.
Similarity: Belongs to the NF-kappa-B inhibitor family.
NCBI and Uniprot Product Information
Predicted: 36 kDa
Customer Reviews
Loading reviews...
Share Your Experience
Similar Products
Product Notes
The IKBalpha nfkbia (Catalog #AAA328428) is an Antibody produced from Rabbit and is intended for research purposes only. The product is available for immediate purchase. The Phospho-I kappaB alpha (Tyr42) Antibody reacts with Human, Mouse, Rat Predicted: Pig, Bovine, Sheep, Rabbit, Dog and may cross-react with other species as described in the data sheet. AAA Biotech's I kappaB alpha can be used in a range of immunoassay formats including, but not limited to, ELISA (Peptide ELISA), IHC (Immunohistochemistry), WB (Western Blot). Researchers should empirically determine the suitability of the IKBalpha nfkbia for an application not listed in the data sheet. Researchers commonly develop new applications and it is an integral, important part of the investigative research process. It is sometimes possible for the material contained within the vial of "I kappaB alpha, Polyclonal Antibody" to become dispersed throughout the inside of the vial, particularly around the seal of said vial, during shipment and storage. We always suggest centrifuging these vials to consolidate all of the liquid away from the lid and to the bottom of the vial prior to opening. Please be advised that certain products may require dry ice for shipping and that, if this is the case, an additional dry ice fee may also be required.Precautions
All products in the AAA Biotech catalog are strictly for research-use only, and are absolutely not suitable for use in any sort of medical, therapeutic, prophylactic, in-vivo, or diagnostic capacity. By purchasing a product from AAA Biotech, you are explicitly certifying that said products will be properly tested and used in line with industry standard. AAA Biotech and its authorized distribution partners reserve the right to refuse to fulfill any order if we have any indication that a purchaser may be intending to use a product outside of our accepted criteria.Disclaimer
Though we do strive to guarantee the information represented in this datasheet, AAA Biotech cannot be held responsible for any oversights or imprecisions. AAA Biotech reserves the right to adjust any aspect of this datasheet at any time and without notice. It is the responsibility of the customer to inform AAA Biotech of any product performance issues observed or experienced within 30 days of receipt of said product. To see additional details on this or any of our other policies, please see our Terms & Conditions page.Item has been added to Shopping Cart
If you are ready to order, navigate to Shopping Cart and get ready to checkout.
