Rabbit anti-Mouse ICAD Polyclonal Antibody | anti-ICAD antibody
ICAD Antibody
Gene Names
Dffa; ICAD; DFF35; Dff45; ICAD-L; ICAD-S; A330085O09Rik
Reactivity
Mouse
Applications
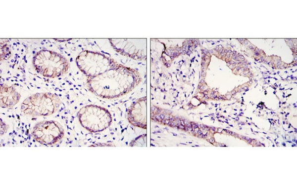
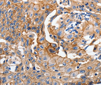
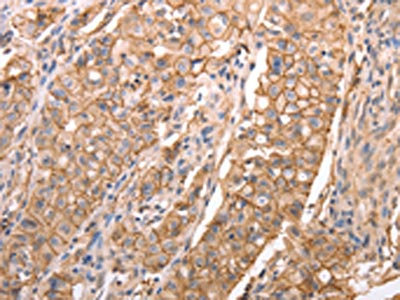
Immunohistochemistry, Western Blot, ELISA
Purity
Affinity chromatography purified via peptide column
Synonyms
ICAD, Antibody; ICAD Antibody; DFF45; anti-ICAD antibody
Host
Rabbit
Reactivity
Mouse
Clonality
Polyclonal
Purity/Purification
Affinity chromatography purified via peptide column
Form/Format
Supplied in PBS containing 0.02% sodium azide.
Sequence Length
331
Applicable Applications for anti-ICAD antibody
IHC (Immunohistochemistry), WB (Western Blot), ELISA
Immunogen Type
Peptide
Immunogen Description
Raised against a peptide corresponding to amino acids near the amino terminus of mouse ICAD.
Target Name
ICAD
Preparation and Storage
Can be stored at -20 degree C, stable for one year. As with all antibodies care should be taken to avoid repeated freeze thaw cycles. Antibodies should not be exposed to prolonged high temperatures.
Related Product Information for anti-ICAD antibody
Apoptosis is related to many diseases and induced by a family of cell death receptors and their ligands. Cell death signals are transduced by death domain containing adapter molecules and members of the caspase family of proteases. These death signals finally cause the degradation of chromosomal DNA by activated DNase. A human DNA fragmentation factor (DFF) was identified recently which is cleaved by caspase-3 during apoptosis. Mouse homologue of human DFF was identified as a DNase inhibitor designated ICAD, for inhibitor of caspase-activated DNase. Upon cleavage of DFF/ICAD, a caspase activated deoxyribonuclease (CAD) is released and activated and eventually causes the degradation of DNA in the nuclei. Therefore, the cleavage of CAD inhibitor molecule DFF/ICAD, which causes DNase activation and DNA degradation, is the hallmark of apoptotic cell death.
Product Categories/Family for anti-ICAD antibody
NCBI and Uniprot Product Information
NCBI GI #
NCBI GeneID
NCBI Accession #
NCBI GenBank Nucleotide #
Molecular Weight
29,183 Da
NCBI Official Full Name
DNA fragmentation factor subunit alpha isoform a
NCBI Official Synonym Full Names
DNA fragmentation factor, alpha subunit
NCBI Official Symbol
Dffa
NCBI Official Synonym Symbols
ICAD; DFF35; Dff45; ICAD-L; ICAD-S; A330085O09Rik
NCBI Protein Information
DNA fragmentation factor subunit alpha
UniProt Protein Name
DNA fragmentation factor subunit alpha
UniProt Gene Name
Dffa
UniProt Synonym Gene Names
Icad; DFF-45; ICAD
UniProt Entry Name
DFFA_MOUSE
Customer Reviews
Loading reviews...
Share Your Experience
Similar Products
Product Notes
The ICAD dffa (Catalog #AAA301748) is an Antibody produced from Rabbit and is intended for research purposes only. The product is available for immediate purchase. The ICAD Antibody reacts with Mouse and may cross-react with other species as described in the data sheet. AAA Biotech's ICAD can be used in a range of immunoassay formats including, but not limited to, IHC (Immunohistochemistry), WB (Western Blot), ELISA. Researchers should empirically determine the suitability of the ICAD dffa for an application not listed in the data sheet. Researchers commonly develop new applications and it is an integral, important part of the investigative research process. It is sometimes possible for the material contained within the vial of "ICAD, Polyclonal Antibody" to become dispersed throughout the inside of the vial, particularly around the seal of said vial, during shipment and storage. We always suggest centrifuging these vials to consolidate all of the liquid away from the lid and to the bottom of the vial prior to opening. Please be advised that certain products may require dry ice for shipping and that, if this is the case, an additional dry ice fee may also be required.Precautions
All products in the AAA Biotech catalog are strictly for research-use only, and are absolutely not suitable for use in any sort of medical, therapeutic, prophylactic, in-vivo, or diagnostic capacity. By purchasing a product from AAA Biotech, you are explicitly certifying that said products will be properly tested and used in line with industry standard. AAA Biotech and its authorized distribution partners reserve the right to refuse to fulfill any order if we have any indication that a purchaser may be intending to use a product outside of our accepted criteria.Disclaimer
Though we do strive to guarantee the information represented in this datasheet, AAA Biotech cannot be held responsible for any oversights or imprecisions. AAA Biotech reserves the right to adjust any aspect of this datasheet at any time and without notice. It is the responsibility of the customer to inform AAA Biotech of any product performance issues observed or experienced within 30 days of receipt of said product. To see additional details on this or any of our other policies, please see our Terms & Conditions page.Item has been added to Shopping Cart
If you are ready to order, navigate to Shopping Cart and get ready to checkout.
