Rabbit anti-Mouse Icam1 Polyclonal Antibody | anti-Icam1 antibody
Anti-Icam1 Antibody
IHC (Immunohiostchemistry)
(Figure 2. IHC analysis of Icam1 using anti-Icam1 antibody (AAA125524).Icam1 was detected in paraffin-embedded section of mouse intestine tissue. Heat mediated antigen retrieval was performed in EDTA buffer (pH8. 0, epitope retrieval solution). The tissue section was blocked with 10% goat serum. The tissue section was then incubated with 2μg/ml rabbit anti-Icam1 Antibody (AAA125524) overnight at 4 degree C. Biotinylated goat anti-rabbit IgG was used as secondary antibody and incubated for 30 minutes at 37 degree C. The tissue section was developed using Strepavidin-Biotin-Complex (SABC) with DAB as the chromogen.)
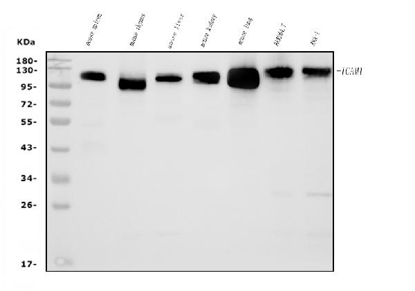
WB (Western Blot)
(Figure 1. Western blot analysis of Icam1 using anti-Icam1 antibody (AAA125524).Electrophoresis was performed on a 5-20% SDS-PAGE gel at 70V (Stacking gel) / 90V (Resolving gel) for 2-3 hours. The sample well of each lane was loaded with 30ug of sample under reducing conditions.Lane 1: mouse spleen tissue lysatesLane 2: mouse thymus tissue lysatesLane 3: mouse liver tissue lysatesLane 4: mouse kidney tissue lysatesLane 5: mouse lung tissue lysatesLane 6: mouse RAW264. 7 whole cell lysatesLane 7: mouse ANA-1 whole cell lysates.After Electrophoresis, proteins were transferred to a Nitrocellulose membrane at 150mA for 50-90 minutes. Blocked the membrane with 5% Non-fat Milk/ TBS for 1. 5 hour at RT. The membrane was incubated with rabbit anti-Icam1 antigen affinity purified polyclonal antibody (Catalog # AAA125524) at 0. 25 μg/mL overnight at 4 degree C, then washed with TBS-0. 1%Tween 3 times with 5 minutes each and probed with a goat anti-rabbit IgG-HRP secondary antibody at a dilution of 1:5000 for 1. 5 hour at RT. The signal is developed using an Enhanced Chemiluminescent detection (ECL) kit with Tanon 5200 system. A specific band was detected for Icam1 at approximately 115KD. The expected band size for Icam1 is at 115KD.)
2. Greve, J. M.; Davis, G.; Meyer, A. M.; Forte, C. P.; Yost, S. C.; Marlor, C. W.; Kamarck, M. E.; McClelland, A. : The major human rhinovirus receptor is ICAM-1. Cell 56: 839-847, 1989.
3. Prieto, J.; Takei, F.; Gendelman, R.; Christenson, B.; Biberfeld, P.; Patarroyo, M. : MALA-2, mouse homologue of human adhesion molecule ICAM-1 (CD54). Europ. J. Immun. 19: 1551-1557, 1989.
NCBI and Uniprot Product Information
Customer Reviews
Loading reviews...
Share Your Experience
Similar Products
Product Notes
The Icam1 icam1 (Catalog #AAA125524) is an Antibody produced from Rabbit and is intended for research purposes only. The product is available for immediate purchase. The Anti-Icam1 Antibody reacts with Mouse and may cross-react with other species as described in the data sheet. AAA Biotech's Icam1 can be used in a range of immunoassay formats including, but not limited to, ELISA (Direct ELISA), IHC (Immunohistochemistry), WB (Western Blot). Researchers should empirically determine the suitability of the Icam1 icam1 for an application not listed in the data sheet. Researchers commonly develop new applications and it is an integral, important part of the investigative research process. It is sometimes possible for the material contained within the vial of "Icam1, Polyclonal Antibody" to become dispersed throughout the inside of the vial, particularly around the seal of said vial, during shipment and storage. We always suggest centrifuging these vials to consolidate all of the liquid away from the lid and to the bottom of the vial prior to opening. Please be advised that certain products may require dry ice for shipping and that, if this is the case, an additional dry ice fee may also be required.Precautions
All products in the AAA Biotech catalog are strictly for research-use only, and are absolutely not suitable for use in any sort of medical, therapeutic, prophylactic, in-vivo, or diagnostic capacity. By purchasing a product from AAA Biotech, you are explicitly certifying that said products will be properly tested and used in line with industry standard. AAA Biotech and its authorized distribution partners reserve the right to refuse to fulfill any order if we have any indication that a purchaser may be intending to use a product outside of our accepted criteria.Disclaimer
Though we do strive to guarantee the information represented in this datasheet, AAA Biotech cannot be held responsible for any oversights or imprecisions. AAA Biotech reserves the right to adjust any aspect of this datasheet at any time and without notice. It is the responsibility of the customer to inform AAA Biotech of any product performance issues observed or experienced within 30 days of receipt of said product. To see additional details on this or any of our other policies, please see our Terms & Conditions page.Item has been added to Shopping Cart
If you are ready to order, navigate to Shopping Cart and get ready to checkout.
