Rabbit anti-Human IFN-alpha/betaRalpha Polyclonal Antibody | anti-IFN-alpha/betaRalpha antibody
IFN-alpha/betaRalpha Polyclonal Antibody
Gene Names
IFNAR1; AVP; IFRC; IFNAR; IFNBR; IFN-alpha-REC
Reactivity
Human
Applications
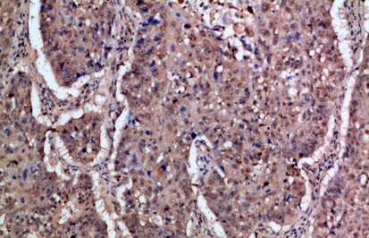
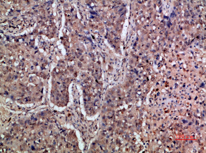
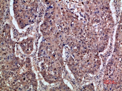
Immunohistochemistry
Synonyms
IFN-alpha/betaRalpha, Antibody; IFN-alpha/betaRalpha Polyclonal Antibody; Interferon alpha/beta receptor 1 (IFN-R-1)(IFN-alpha/beta receptor 1)(Cytokine receptor class-II member 1)(Cytokine receptor family 2 member 1)(CRF2-1)(Type I interferon receptor 1); anti-IFN-alpha/betaRalpha antibody
Host
Rabbit
Reactivity
Human
Clonality
Polyclonal
Applicable Applications for anti-IFN-alpha/betaRalpha antibody
IHC (Immunohistochemistry)
Preparation and Storage
Maintain refrigerated at 2-8 degree C for up to 2 weeks. For long term storage store at -20 degree C in small aliquots to prevent freeze-thaw cycles.
Related Product Information for anti-IFN-alpha/betaRalpha antibody
Component of the receptor for type I interferons, including interferons alpha, IFNB1 and IFNW1 (PubMed:7665574, PubMed:10049744, PubMed:14532120, PubMed:15337770, PubMed:21854986). Functions in general as heterodimer with IFNAR2 (PubMed:10049744, PubMed:21854986). Type I interferon binding activates the JAK-STAT signaling cascade, and triggers tyrosine phosphorylation of a number of proteins including JAKs, TYK2, STAT proteins and the IFNR alpha- and beta- subunits themselves (PubMed:21854986). Can form an active IFNB1 receptor by itself and activate a signaling cascade that does not involve activation of the JAK-STAT pathway (By similarity).
NCBI and Uniprot Product Information
NCBI GI #
NCBI GeneID
NCBI Accession #
NCBI GenBank Nucleotide #
Molecular Weight
63,525 Da
NCBI Official Full Name
interferon alpha/beta receptor 1
NCBI Official Synonym Full Names
interferon (alpha, beta and omega) receptor 1
NCBI Official Symbol
IFNAR1
NCBI Official Synonym Symbols
AVP; IFRC; IFNAR; IFNBR; IFN-alpha-REC
NCBI Protein Information
interferon alpha/beta receptor 1; CRF2-1; IFN-R-1; IFN-alpha/beta receptor 1; interferon-beta receptor 1; beta-type antiviral protein; alpha-type antiviral protein; type I interferon receptor 1; cytokine receptor class-II member 1; cytokine receptor famil
UniProt Protein Name
Interferon alpha/beta receptor 1
UniProt Gene Name
IFNAR1
UniProt Synonym Gene Names
IFNAR; IFN-R-1; IFN-alpha/beta receptor 1; CRF2-1
UniProt Entry Name
INAR1_HUMAN
Customer Reviews
Loading reviews...
Share Your Experience
Similar Products
Product Notes
The IFN-alpha/betaRalpha ifnar1 (Catalog #AAA296547) is an Antibody produced from Rabbit and is intended for research purposes only. The product is available for immediate purchase. The IFN-alpha/betaRalpha Polyclonal Antibody reacts with Human and may cross-react with other species as described in the data sheet. AAA Biotech's IFN-alpha/betaRalpha can be used in a range of immunoassay formats including, but not limited to, IHC (Immunohistochemistry). Researchers should empirically determine the suitability of the IFN-alpha/betaRalpha ifnar1 for an application not listed in the data sheet. Researchers commonly develop new applications and it is an integral, important part of the investigative research process. It is sometimes possible for the material contained within the vial of "IFN-alpha/betaRalpha, Polyclonal Antibody" to become dispersed throughout the inside of the vial, particularly around the seal of said vial, during shipment and storage. We always suggest centrifuging these vials to consolidate all of the liquid away from the lid and to the bottom of the vial prior to opening. Please be advised that certain products may require dry ice for shipping and that, if this is the case, an additional dry ice fee may also be required.Precautions
All products in the AAA Biotech catalog are strictly for research-use only, and are absolutely not suitable for use in any sort of medical, therapeutic, prophylactic, in-vivo, or diagnostic capacity. By purchasing a product from AAA Biotech, you are explicitly certifying that said products will be properly tested and used in line with industry standard. AAA Biotech and its authorized distribution partners reserve the right to refuse to fulfill any order if we have any indication that a purchaser may be intending to use a product outside of our accepted criteria.Disclaimer
Though we do strive to guarantee the information represented in this datasheet, AAA Biotech cannot be held responsible for any oversights or imprecisions. AAA Biotech reserves the right to adjust any aspect of this datasheet at any time and without notice. It is the responsibility of the customer to inform AAA Biotech of any product performance issues observed or experienced within 30 days of receipt of said product. To see additional details on this or any of our other policies, please see our Terms & Conditions page.Item has been added to Shopping Cart
If you are ready to order, navigate to Shopping Cart and get ready to checkout.
