Rabbit IFNAR2 Polyclonal Antibody | anti-IFNAR2 antibody
Anti-IFNAR2 Antibody
Gene Names
IFNAR2; IFN-R; IMD45; IFNABR; IFNARB; IFN-alpha-REC
Reactivity
HumanPredicted: Mouse
Applications
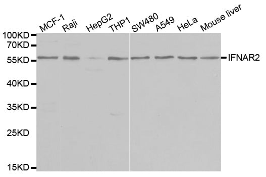
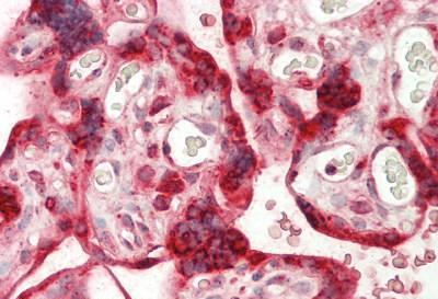
Western Blot, Immunohistochemistry, Immunohistochemistry
Purity
Affinity Purified
Synonyms
IFNAR2, Antibody; Anti-IFNAR2 Antibody; Rabbit Polyclonal to Human IFNAR2; IFNAR2; IFN-alpha/beta receptor 2; IFN-alpha-REC; IFN-alpha binding protein; IFN-R; IFN-R-2; IFNARB; Type I interferon receptor 2; IFNABR; anti-IFNAR2 antibody
Host
Rabbit
Reactivity
Human
Predicted: Mouse
Predicted: Mouse
Clonality
Polyclonal
Isotype
IgG
Specificity
Human IFNAR2
Purity/Purification
Affinity Purified
Form/Format
PBS with 0.02% sodium azide, 50% glycerol, pH 7.3
Sequence Length
331
Applicable Applications for anti-IFNAR2 antibody
WB (Western Blot), IHC (Immunohistochemistry), IHC (Immunohistochemistry)
Immunogen
Recombinant protein of human IFNAR2
Conjugation
Unconjugated
Preparation and Storage
Store at -20 degree C.
Avoid freeze-thaw cycles.
Avoid freeze-thaw cycles.
Related Product Information for anti-IFNAR2 antibody
Associates with IFNAR1 to form the type I interferon receptor. receptor for interferons alpha and beta. Involved in IFN-mediated STAT1, STAT2 and STAT3 activation. Isoform 1 and isoform 2 are directly involved insignal transduction due to their association with the TYR kinase, JAK1.Isoform 3 is a potent inhibitor of type I IFN receptor activity.
Product Categories/Family for anti-IFNAR2 antibody
NCBI and Uniprot Product Information
NCBI GI #
NCBI GeneID
NCBI Accession #
NCBI GenBank Nucleotide #
Molecular Weight
27,384 Da
NCBI Official Full Name
interferon alpha/beta receptor 2 isoform b
NCBI Official Synonym Full Names
interferon alpha and beta receptor subunit 2
NCBI Official Symbol
IFNAR2
NCBI Official Synonym Symbols
IFN-R; IMD45; IFNABR; IFNARB; IFN-alpha-REC
NCBI Protein Information
interferon alpha/beta receptor 2
UniProt Protein Name
Interferon alpha/beta receptor 2
UniProt Gene Name
IFNAR2
UniProt Synonym Gene Names
IFNABR; IFNARB; IFN-R-2; IFN-alpha binding protein; IFN-alpha/beta receptor 2
Customer Reviews
Loading reviews...
Share Your Experience
Similar Products
Product Notes
The IFNAR2 ifnar2 (Catalog #AAA162340) is an Antibody produced from Rabbit and is intended for research purposes only. The product is available for immediate purchase. The Anti-IFNAR2 Antibody reacts with Human Predicted: Mouse and may cross-react with other species as described in the data sheet. AAA Biotech's IFNAR2 can be used in a range of immunoassay formats including, but not limited to, WB (Western Blot), IHC (Immunohistochemistry), IHC (Immunohistochemistry). Researchers should empirically determine the suitability of the IFNAR2 ifnar2 for an application not listed in the data sheet. Researchers commonly develop new applications and it is an integral, important part of the investigative research process. It is sometimes possible for the material contained within the vial of "IFNAR2, Polyclonal Antibody" to become dispersed throughout the inside of the vial, particularly around the seal of said vial, during shipment and storage. We always suggest centrifuging these vials to consolidate all of the liquid away from the lid and to the bottom of the vial prior to opening. Please be advised that certain products may require dry ice for shipping and that, if this is the case, an additional dry ice fee may also be required.Precautions
All products in the AAA Biotech catalog are strictly for research-use only, and are absolutely not suitable for use in any sort of medical, therapeutic, prophylactic, in-vivo, or diagnostic capacity. By purchasing a product from AAA Biotech, you are explicitly certifying that said products will be properly tested and used in line with industry standard. AAA Biotech and its authorized distribution partners reserve the right to refuse to fulfill any order if we have any indication that a purchaser may be intending to use a product outside of our accepted criteria.Disclaimer
Though we do strive to guarantee the information represented in this datasheet, AAA Biotech cannot be held responsible for any oversights or imprecisions. AAA Biotech reserves the right to adjust any aspect of this datasheet at any time and without notice. It is the responsibility of the customer to inform AAA Biotech of any product performance issues observed or experienced within 30 days of receipt of said product. To see additional details on this or any of our other policies, please see our Terms & Conditions page.Item has been added to Shopping Cart
If you are ready to order, navigate to Shopping Cart and get ready to checkout.
