IgG secondary antibody
DyLight 647 Conjugated AffiniPure Goat Anti-Mouse IgG (H+L)
IF (Immunofluorescence)
(Figure 3. IF analysis of NEFH using anti-NEFH antibody (MA1071).NEFH was detected in a paraffin-embedded section of human colon cancer tissue. Heat mediated antigen retrieval was performed in EDTA buffer (pH 8.0, epitope retrieval solution). The tissue section was blocked with 10% goat serum. The tissue section was then incubated with 5ug/mL mouse anti-NEFH Antibody (MA1071) overnight at 4 degree C. DyLight 647 Conjugated Goat Anti-Mouse IgG (AAA127949) was used as secondary antibody at 1:500 dilution and incubated for 30 minutes at 37 degree C. The section was counterstained with DAPI. Visualize using a fluorescence microscope and filter sets appropriate for the label used.)
IF (Immunofluorescence)
(Figure 2. IF analysis of NEFH using anti-NEFH antibody (MA1071).NEFH was detected in a paraffin-embedded section of rat brain tissue. Heat mediated antigen retrieval was performed in EDTA buffer (pH 8.0, epitope retrieval solution). The tissue section was blocked with 10% goat serum. The tissue section was then incubated with 5ug/mL mouse anti-NEFH Antibody (MA1071) overnight at 4 degree C. DyLight 647 Conjugated Goat Anti-Mouse IgG (AAA127949) was used as secondary antibody at 1:500 dilution and incubated for 30 minutes at 37 degree C. The section was counterstained with DAPI. Visualize using a fluorescence microscope and filter sets appropriate for the label used.)
WB (Western Blot)
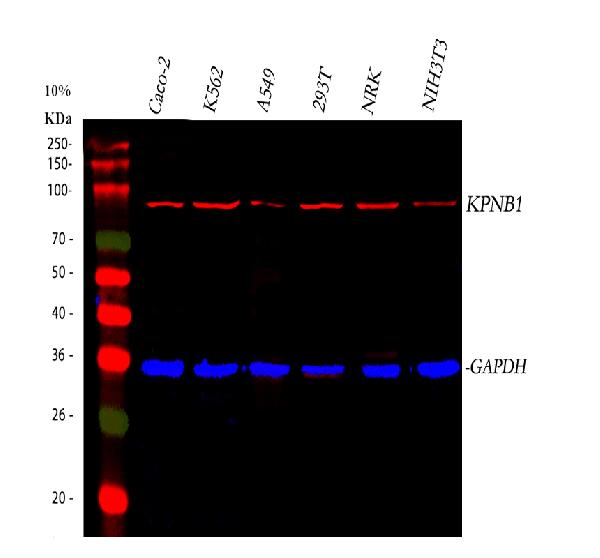
(Figure 1. Western blot analysis of Importin Beta/KPNB1 using anti-Importin Beta/KPNB1 antibody (M01851-2).Electrophoresis was performed on a 5-20% SDS-PAGE gel at 70V (Stacking gel)/90V (Resolving gel) for 2-3 hours. The sample well of each lane was loaded with 30 ug of sample under reducing conditions.Lane 1: human Caco-2 whole cell lysates,Lane 2: human K562 whole cell lysates,Lane 3: human A549 whole cell lysates,Lane 4: human 293T whole cell lysates,Lane 5: rat NRK whole cell lysates,Lane 6: mouse NIH/3T3 whole cell lysates.After electrophoresis, proteins were transferred to a nitrocellulose membrane at 150 mA for 50-90 minutes. Blocked the membrane with 5% non-fat milk/TBS for 1.5 hour at RT. The membrane was incubated with rabbit anti-Importin Beta/KPNB1 antigen affinity purified monoclonal antibody at 0.5ug/mL overnight at 4 degree C, then washed with TBS-0.1%Tween 3 times with 5 minutes each and probed with a goat anti-mouse IgG-HRP secondary antibody at a dilution of 1:5000 for 1.5 hour at RT. The signal is developed using an Enhanced Chemiluminescent detection (ECL) kit with Tanon 5200 system. A specific band was detected for Importin Beta/KPNB1 at approximately 97 kDa. The expected band size for Importin Beta/KPNB1 is at 97 kDa.)
Customer Reviews
Loading reviews...
Share Your Experience
Similar Products
Product Notes
The IgG (Catalog #AAA127949) is a Secondary Antibody produced from Goat and is intended for research purposes only. The product is available for immediate purchase. The DyLight 647 Conjugated AffiniPure Goat Anti-Mouse IgG (H+L) reacts with Mouse and may cross-react with other species as described in the data sheet. AAA Biotech's IgG can be used in a range of immunoassay formats including, but not limited to, WB (Western Blot), IF (Immunofluorescence), FCM/FACS (Flow Cytometry). Researchers should empirically determine the suitability of the IgG for an application not listed in the data sheet. Researchers commonly develop new applications and it is an integral, important part of the investigative research process. It is sometimes possible for the material contained within the vial of "IgG, Polyclonal Secondary Antibody" to become dispersed throughout the inside of the vial, particularly around the seal of said vial, during shipment and storage. We always suggest centrifuging these vials to consolidate all of the liquid away from the lid and to the bottom of the vial prior to opening. Please be advised that certain products may require dry ice for shipping and that, if this is the case, an additional dry ice fee may also be required.Precautions
All products in the AAA Biotech catalog are strictly for research-use only, and are absolutely not suitable for use in any sort of medical, therapeutic, prophylactic, in-vivo, or diagnostic capacity. By purchasing a product from AAA Biotech, you are explicitly certifying that said products will be properly tested and used in line with industry standard. AAA Biotech and its authorized distribution partners reserve the right to refuse to fulfill any order if we have any indication that a purchaser may be intending to use a product outside of our accepted criteria.Disclaimer
Though we do strive to guarantee the information represented in this datasheet, AAA Biotech cannot be held responsible for any oversights or imprecisions. AAA Biotech reserves the right to adjust any aspect of this datasheet at any time and without notice. It is the responsibility of the customer to inform AAA Biotech of any product performance issues observed or experienced within 30 days of receipt of said product. To see additional details on this or any of our other policies, please see our Terms & Conditions page.Item has been added to Shopping Cart
If you are ready to order, navigate to Shopping Cart and get ready to checkout.
