Host
Rabbit
Reactivity
Human
Clonality
Polyclonal
Specificity
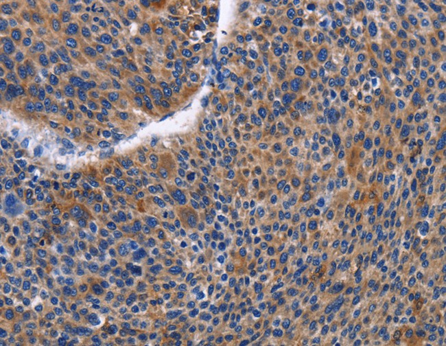
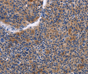
The antibody detects endogenous levels of total IGSF10 protein.
Purity/Purification
Antigen affinity purification.
Form/Format
Rabbit IgG in pH7.3 PBS, 0.05% NaN3, 50% Glycerol.
Concentration
1.9 mg/ml (varies by lot)
Sequence Length
650
Applicable Applications for anti-IGSF10 antibody
IHC (Immunohistochemistry)
Immunogen Type
Recombinant Protein
Immunogen Description
Fusion protein corresponding to a region derived from internal residues of human immunoglobulin superfamily, member 10
Target Name
IGSF10
Preparation and Storage
Store at -20 degree C
Related Product Information for anti-IGSF10 antibody
Ig (immunoglobulin) superfamily members exhibit functional characteristics including immune responses, growth factor signaling and cell adhesion. IGSF10 (immunoglobulin superfamily, member 10), also known as Calvaria mechanical force protein 608 (CMF608), is a 2,623 amino acid secreted protein that contains an N-terminal signal peptide, six leucine-rich repeats (LRRs), and 12 immunoglobulin-like repeats. IGSF10 exists as multiple alternatively spliced isoforms, and is expressed in bone. Specifically, expression of IGSF10 is limited to mesenchymal osteochondroprogenitors with fibroblast-like morphology, where it is thought to be involved in the maintenance of the osteochondroprogenitor cells pool and its down-regulation precedes terminal differentiation.
Product Categories/Family for anti-IGSF10 antibody
NCBI and Uniprot Product Information
NCBI GI #
NCBI GeneID
NCBI Accession #
NCBI GenBank Nucleotide #
Molecular Weight
66,741 Da
NCBI Official Full Name
immunoglobulin superfamily member 10 isoform 2
NCBI Official Synonym Full Names
immunoglobulin superfamily, member 10
NCBI Official Symbol
IGSF10
NCBI Official Synonym Symbols
CMF608
NCBI Protein Information
immunoglobulin superfamily member 10
UniProt Protein Name
Immunoglobulin superfamily member 10
UniProt Gene Name
IGSF10
UniProt Synonym Gene Names
CMF608; IgSF10; CMF608
UniProt Entry Name
IGS10_HUMAN
Customer Reviews
Loading reviews...
Share Your Experience
Similar Products
Product Notes
The IGSF10 igsf10 (Catalog #AAA307200) is an Antibody produced from Rabbit and is intended for research purposes only. The product is available for immediate purchase. The IGSF10 Antibody reacts with Human and may cross-react with other species as described in the data sheet. AAA Biotech's IGSF10 can be used in a range of immunoassay formats including, but not limited to, IHC (Immunohistochemistry). Researchers should empirically determine the suitability of the IGSF10 igsf10 for an application not listed in the data sheet. Researchers commonly develop new applications and it is an integral, important part of the investigative research process. It is sometimes possible for the material contained within the vial of "IGSF10, Polyclonal Antibody" to become dispersed throughout the inside of the vial, particularly around the seal of said vial, during shipment and storage. We always suggest centrifuging these vials to consolidate all of the liquid away from the lid and to the bottom of the vial prior to opening. Please be advised that certain products may require dry ice for shipping and that, if this is the case, an additional dry ice fee may also be required.Precautions
All products in the AAA Biotech catalog are strictly for research-use only, and are absolutely not suitable for use in any sort of medical, therapeutic, prophylactic, in-vivo, or diagnostic capacity. By purchasing a product from AAA Biotech, you are explicitly certifying that said products will be properly tested and used in line with industry standard. AAA Biotech and its authorized distribution partners reserve the right to refuse to fulfill any order if we have any indication that a purchaser may be intending to use a product outside of our accepted criteria.Disclaimer
Though we do strive to guarantee the information represented in this datasheet, AAA Biotech cannot be held responsible for any oversights or imprecisions. AAA Biotech reserves the right to adjust any aspect of this datasheet at any time and without notice. It is the responsibility of the customer to inform AAA Biotech of any product performance issues observed or experienced within 30 days of receipt of said product. To see additional details on this or any of our other policies, please see our Terms & Conditions page.Item has been added to Shopping Cart
If you are ready to order, navigate to Shopping Cart and get ready to checkout.
