Rabbit anti-Human IKK gamma Polyclonal Antibody | anti-IKBKG antibody
Phospho-IKK gamma (Ser31) Antibody
Phosphate buffered saline, pH 7.4, 150mM NaCl, 0.02% sodium azide and 50% glycerol.
IF (Immunofluorescence)
(AAA321783 staining 293 by IF/ICC. The sample were fixed with PFA and permeabilized in 0.1% Triton X-100, then blocked in 10% serum for 45 minutes at 25 degree C. The primary antibody was diluted at 1/200 and incubated with the sample for 1 hour at 37 degree C. An Alexa Fluor 594 conjugated goat anti-rabbit IgG (H+L) Ab, diluted at 1/600, was used as the secondary antibody.)
WB (Western Blot)
(Western blot analysis of Phospho-IKK gamma (Ser31) Antibody expression in TNF-a treated 293 cells lysates.The lane on the right is treated with the antigen-specific peptide.)
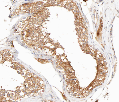
IHC (Immunohiostchemistry)
(AAA321783 at 1/200 staining human testis tissue sections by IHC-P. The tissue was formaldehyde fixed and a heat mediated antigen retrieval step in citrate buffer was performed. The tissue was then blocked and incubated with the antibody for 1.5 hours at 22 degree C. An HRP conjugated goat anti-rabbit antibody was used as the secondary.)
WB (Western Blot)
(Western blot analysis of IKK-gamma phosphorylation expression in TNF-a treated 293 whole cell lysates, The lane on the left is treated with the antigen-specific peptide.)
Function: Regulatory subunit of the IKK core complex which phosphorylates inhibitors of NF-kappa-B thus leading to the dissociation of the inhibitor/NF-kappa-B complex and ultimately the degradation of the inhibitor. Its binding to scaffolding polyubiquitin seems to play a role in IKK activation by multiple signaling receptor pathways. However, the specific type of polyubiquitin recognized upon cell stimulation (either 'Lys-63'-linked or linear polyubiquitin) and its functional importance is reported conflictingly. Also considered to be a mediator for TAX activation of NF-kappa-B. Could be implicated in NF-kappa-B-mediated protection from cytokine toxicity. Essential for viral activation of IRF3. Involved in TLR3-and IFIH1-mediated antiviral innate response; this function requires 'Lys-27'-linked polyubiquitination.
Subunit Structure: Homodimer; disulfide-linked. Component of the I-kappa-B-kinase (IKK) core complex consisting of CHUK, IKBKB and IKBKG; probably four alpha/CHUK-beta/IKBKB dimers are associated with four gamma/IKBKG subunits. The IKK core complex seems to associate with regulatory or adapter proteins to form a IKK-signalosome holo-complex. The IKK complex associates with TERF2IP/RAP1, leading to promote IKK-mediated phosphorylation of RELA/p65. Part of a complex composed of NCOA2, NCOA3, CHUK/IKKA, IKBKB, IKBKG and CREBBP. Interacts with COPS3, CYLD, NALP2, TRPC4AP and LRDD. Interacts with ATM; the complex is exported from the nucleus. Interacts with TRAF6. Interacts with HTLV-1 Tax oncoprotein; the interaction activates IKBKG. Interacts with IKBKE. Interacts with TANK; the interaction is enhanced by IKBKE and TBK1. Part of a ternary complex consisting of TANK, IKBKB and IKBKG. Interacts with ZFAND5. Interacts with RIPK2. Interacts with TNIP1 and TNFAIP3; TNIP1 facilitates the TNFAIP3-mediated de-ubiquitination of IKBKG. Interacts with TNFAIP3; the interaction is induced by TNF stimulation and by polyubiquitin. Binds polyubiquitin; the interaction is mediated by two domains; reports about the binding to 'Lys-63'-linked and/or linear polyubiquitin, respective binding affinities and stoichiometry are conflicting. Interacts with Shigella flexneri ipah9.8; the interaction promotes TNIP1-dependent 'Lys-27'-linked polyubiquitination of IKBKG which perturbs NF-kappa-B activation during bacterial infection. Interacts with NLRP10. Interacts with TANK; this interaction increases in response to DNA damage (PubMed:25861989). Interacts with USP10; this interaction increases in response to DNA damage (PubMed:25861989). Interacts with ZC3H12A; this interaction increases in response to DNA damage (PubMed:25861989). Interacts with IFIT5; the interaction synergizes the recruitment of IKK to MAP3K7 and enhances IKK phosphorylation (PubMed:26334375). Interacts with TRIM29; this interaction induces IKBKG/NEMO ubiquitination and proteolytic degradation (PubMed:27695001). Interacts with TRIM13; this interaction leads to IKBKG/NEMO ubiquitination (PubMed:25152375).
Post-translational Modifications: Phosphorylation at Ser-68 attenuates aminoterminal homodimerization. Polyubiquitinated on Lys-285 through 'Lys-63'; the ubiquitination is mediated by NOD2 and RIPK2 and probably plays a role in signaling by facilitating interactions with ubiquitin domain-containing proteins and activates the NF-kappa-B pathway. Polyubiquitinated on Lys-399 through 'Lys-63'; the ubiquitination is mediated by BCL10, MALT1 and TRAF6 and probably plays a role in signaling by facilitating interactions with ubiquitin domain-containing proteins and activates the NF-kappa-B pathway. Monoubiquitinated on Lys-277 and Lys-309; promotes nuclear export. Polyubiquitinated through 'Lys-27' by TRIM23; involved in antiviral innate and inflammatory responses. Linear polyubiquitinated on Lys-111, Lys-143, Lys-226, Lys-246, Lys-264, Lys-277, Lys-285, Lys-292, Lys-302, Lys-309 and Lys-326; the head-to-tail polyubiquitination is mediated by the LUBAC complex and plays a key role in NF-kappa-B activation. Polyubiquitinated on Lys-309 and Lys-321 via 'Lys-27'-linked ubiquitin by Shigella flexneri E3 ubiquitin-protein ligase ipah9.8, leading to its degradation by the proteasome. Deubiquitinated by USP10 in a TANK-dependent and-independent manner, leading to the negative regulation of NF-kappaB signaling upon DNA damage (PubMed:25861989). Sumoylated on Lys-277 and Lys-309 with SUMO1; the modification results in phosphorylation of Ser-85 by ATM leading to a replacement of the sumoylation by mono-ubiquitination on these residues. Neddylated by TRIM40, resulting in stabilization of NFKBIA and down-regulation of NF-kappa-B activity.
Similarity: The leucine-zipper domain and the CCHC NOA-type zinc-finger are essential for polyubiquitin binding and for the activation of IRF3.
NCBI and Uniprot Product Information
Predicted: 49 kDa
Customer Reviews
Loading reviews...
Share Your Experience
Similar Products
Product Notes
The IKBKG ikbkg (Catalog #AAA321783) is an Antibody produced from Rabbit and is intended for research purposes only. The product is available for immediate purchase. The Phospho-IKK gamma (Ser31) Antibody reacts with Human and may cross-react with other species as described in the data sheet. AAA Biotech's IKK gamma can be used in a range of immunoassay formats including, but not limited to, ELISA, ICC (Immunocytochemistry), IF (Immunofluorescence), IHC (Immunohistochemistry), WB (Western Blot). Researchers should empirically determine the suitability of the IKBKG ikbkg for an application not listed in the data sheet. Researchers commonly develop new applications and it is an integral, important part of the investigative research process. It is sometimes possible for the material contained within the vial of "IKK gamma, Polyclonal Antibody" to become dispersed throughout the inside of the vial, particularly around the seal of said vial, during shipment and storage. We always suggest centrifuging these vials to consolidate all of the liquid away from the lid and to the bottom of the vial prior to opening. Please be advised that certain products may require dry ice for shipping and that, if this is the case, an additional dry ice fee may also be required.Precautions
All products in the AAA Biotech catalog are strictly for research-use only, and are absolutely not suitable for use in any sort of medical, therapeutic, prophylactic, in-vivo, or diagnostic capacity. By purchasing a product from AAA Biotech, you are explicitly certifying that said products will be properly tested and used in line with industry standard. AAA Biotech and its authorized distribution partners reserve the right to refuse to fulfill any order if we have any indication that a purchaser may be intending to use a product outside of our accepted criteria.Disclaimer
Though we do strive to guarantee the information represented in this datasheet, AAA Biotech cannot be held responsible for any oversights or imprecisions. AAA Biotech reserves the right to adjust any aspect of this datasheet at any time and without notice. It is the responsibility of the customer to inform AAA Biotech of any product performance issues observed or experienced within 30 days of receipt of said product. To see additional details on this or any of our other policies, please see our Terms & Conditions page.Item has been added to Shopping Cart
If you are ready to order, navigate to Shopping Cart and get ready to checkout.
