Rabbit IL-20 Polyclonal Antibody | anti-IL-20 antibody
IL-20 Polyclonal Antibody
Gene Names
IL20; IL-20; IL10D; ZCYTO10
Reactivity
Human, Mouse, Rat
Applications
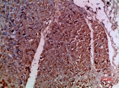
Immunohistochemistry
Synonyms
IL-20, Antibody; IL-20 Polyclonal Antibody; Interleukin-20 (IL-20)(Cytokine Zcyto10); anti-IL-20 antibody
Host
Rabbit
Reactivity
Human, Mouse, Rat
Clonality
Polyclonal
Applicable Applications for anti-IL-20 antibody
IHC (Immunohistochemistry)
Preparation and Storage
Maintain refrigerated at 2-8 degree C for up to 2 weeks. For long term storage store at -20 degree C in small aliquots to prevent freeze-thaw cycles.
Related Product Information for anti-IL-20 antibody
Proinflammatory and angiogenic cytokine that may be involved in epidermal function and psoriasis. Angiogenic and proliferative activities are antagonized by IL10. May act through STAT3.
NCBI and Uniprot Product Information
NCBI GI #
NCBI GeneID
NCBI Accession #
NCBI GenBank Nucleotide #
Molecular Weight
20,072 Da
NCBI Official Full Name
interleukin-20
NCBI Official Synonym Full Names
interleukin 20
NCBI Official Symbol
IL20
NCBI Official Synonym Symbols
IL-20; IL10D; ZCYTO10
NCBI Protein Information
interleukin-20; cytokine Zcyto10; four alpha helix cytokine
UniProt Protein Name
Interleukin-20
UniProt Gene Name
IL20
UniProt Synonym Gene Names
ZCYTO10; IL-20
UniProt Entry Name
IL20_HUMAN
Customer Reviews
Loading reviews...
Share Your Experience
Similar Products
Product Notes
The IL-20 il20 (Catalog #AAA296585) is an Antibody produced from Rabbit and is intended for research purposes only. The product is available for immediate purchase. The IL-20 Polyclonal Antibody reacts with Human, Mouse, Rat and may cross-react with other species as described in the data sheet. AAA Biotech's IL-20 can be used in a range of immunoassay formats including, but not limited to, IHC (Immunohistochemistry). Researchers should empirically determine the suitability of the IL-20 il20 for an application not listed in the data sheet. Researchers commonly develop new applications and it is an integral, important part of the investigative research process. It is sometimes possible for the material contained within the vial of "IL-20, Polyclonal Antibody" to become dispersed throughout the inside of the vial, particularly around the seal of said vial, during shipment and storage. We always suggest centrifuging these vials to consolidate all of the liquid away from the lid and to the bottom of the vial prior to opening. Please be advised that certain products may require dry ice for shipping and that, if this is the case, an additional dry ice fee may also be required.Precautions
All products in the AAA Biotech catalog are strictly for research-use only, and are absolutely not suitable for use in any sort of medical, therapeutic, prophylactic, in-vivo, or diagnostic capacity. By purchasing a product from AAA Biotech, you are explicitly certifying that said products will be properly tested and used in line with industry standard. AAA Biotech and its authorized distribution partners reserve the right to refuse to fulfill any order if we have any indication that a purchaser may be intending to use a product outside of our accepted criteria.Disclaimer
Though we do strive to guarantee the information represented in this datasheet, AAA Biotech cannot be held responsible for any oversights or imprecisions. AAA Biotech reserves the right to adjust any aspect of this datasheet at any time and without notice. It is the responsibility of the customer to inform AAA Biotech of any product performance issues observed or experienced within 30 days of receipt of said product. To see additional details on this or any of our other policies, please see our Terms & Conditions page.Item has been added to Shopping Cart
If you are ready to order, navigate to Shopping Cart and get ready to checkout.
