Rabbit anti-Human IL20RA Polyclonal Antibody | anti-IL20RA antibody
IL20RA Antibody
Gene Names
IL20RA; CRF2-8; IL-20R1; IL-20RA; IL-20R-alpha
Reactivity
Human
Applications
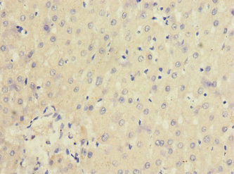
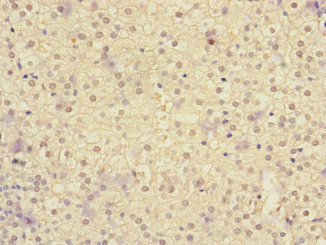
Immunohistochemistry, ELISA
Purity
Antigen Affinity Purified
Synonyms
IL20RA, Antibody; IL20RA Antibody; Interleukin-20 receptor subunit alpha; IL-20 receptor subunit alpha; IL-20R-alpha; IL-20RA; Cytokine receptor class-II member 8; Cytokine receptor family 2 member 8; CRF2-8; IL-20R1; ZcytoR7; IL20RA; UNQ681/PRO1315; anti-IL20RA antibody
Host
Rabbit
Reactivity
Human
Clonality
Polyclonal
Isotype
IgG
Purity/Purification
Antigen Affinity Purified
Form/Format
Liquid
Sequence Length
504
Applicable Applications for anti-IL20RA antibody
IHC (Immunohistochemistry), ELISA
Species
Human
Immunogen
Recombinant human Interleukin-20 receptor subunit alpha protein (30-250AA)
Conjugate
Non-conjugated
Buffer
PBS with 0.02% sodium azide, 50% glycerol, pH7.3.
Santa Cruz Alternative
Potential replacement for Santa Cruz Biotechnology antibody catalog# sc-34061 / sc-34099 / sc-34100
Preparation and Storage
Shipped at 4 degree C. Upon delivery aliquot and store at -20 degree C or -80 degree C. Avoid repeated freeze.
Related Product Information for anti-IL20RA antibody
The IL20RA/IL20RB dimer is a receptor for IL19, IL20 and IL24. The IL20RA/IL10RB dimer is a receptor for IL26.
NCBI and Uniprot Product Information
NCBI GI #
NCBI GeneID
NCBI Accession #
NCBI GenBank Nucleotide #
Molecular Weight
57,366 Da
NCBI Official Full Name
interleukin-20 receptor subunit alpha isoform 2
NCBI Official Synonym Full Names
interleukin 20 receptor subunit alpha
NCBI Official Symbol
IL20RA
NCBI Official Synonym Symbols
CRF2-8; IL-20R1; IL-20RA; IL-20R-alpha
NCBI Protein Information
interleukin-20 receptor subunit alpha
UniProt Protein Name
Interleukin-20 receptor subunit alpha
UniProt Gene Name
IL20RA
UniProt Synonym Gene Names
IL-20 receptor subunit alpha; IL-20R-alpha; IL-20RA; CRF2-8
UniProt Entry Name
I20RA_HUMAN
Customer Reviews
Loading reviews...
Share Your Experience
Similar Products
Product Notes
The IL20RA il20ra (Catalog #AAA231227) is an Antibody produced from Rabbit and is intended for research purposes only. The product is available for immediate purchase. The IL20RA Antibody reacts with Human and may cross-react with other species as described in the data sheet. AAA Biotech's IL20RA can be used in a range of immunoassay formats including, but not limited to, IHC (Immunohistochemistry), ELISA. Researchers should empirically determine the suitability of the IL20RA il20ra for an application not listed in the data sheet. Researchers commonly develop new applications and it is an integral, important part of the investigative research process. It is sometimes possible for the material contained within the vial of "IL20RA, Polyclonal Antibody" to become dispersed throughout the inside of the vial, particularly around the seal of said vial, during shipment and storage. We always suggest centrifuging these vials to consolidate all of the liquid away from the lid and to the bottom of the vial prior to opening. Please be advised that certain products may require dry ice for shipping and that, if this is the case, an additional dry ice fee may also be required.Precautions
All products in the AAA Biotech catalog are strictly for research-use only, and are absolutely not suitable for use in any sort of medical, therapeutic, prophylactic, in-vivo, or diagnostic capacity. By purchasing a product from AAA Biotech, you are explicitly certifying that said products will be properly tested and used in line with industry standard. AAA Biotech and its authorized distribution partners reserve the right to refuse to fulfill any order if we have any indication that a purchaser may be intending to use a product outside of our accepted criteria.Disclaimer
Though we do strive to guarantee the information represented in this datasheet, AAA Biotech cannot be held responsible for any oversights or imprecisions. AAA Biotech reserves the right to adjust any aspect of this datasheet at any time and without notice. It is the responsibility of the customer to inform AAA Biotech of any product performance issues observed or experienced within 30 days of receipt of said product. To see additional details on this or any of our other policies, please see our Terms & Conditions page.Item has been added to Shopping Cart
If you are ready to order, navigate to Shopping Cart and get ready to checkout.
