Rabbit anti-Human, Mouse IL22 Polyclonal Antibody | anti-IL22 antibody
IL22
Gene Names
IL22; TIFa; IL-21; IL-22; ILTIF; IL-TIF; IL-D110; zcyto18; TIFIL-23
Reactivity
Human, Mouse
Applications
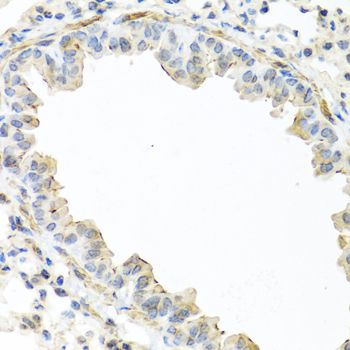
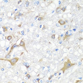
Immunohistochemistry
Purity
Affinity purification
Synonyms
IL22, Antibody; IL22; IL-21; IL-22; IL-D110; IL-TIF; ILTIF; TIFIL-23; TIFa; zcyto18; interleukin-22; anti-IL22 antibody
Host
Rabbit
Reactivity
Human, Mouse
Clonality
Polyclonal
Isotype
IgG
Purity/Purification
Affinity purification
Form/Format
PBS with 0.02% sodium azide, 50% glycerol, pH7.3.
Sequence Length
179
Applicable Applications for anti-IL22 antibody
IHC (Immunohistochemistry)
Immunogen
Recombinant fusion protein containing a sequence corresponding to amino acids 34-179 of human IL22 (NP_065386.1).
Preparation and Storage
Store at -20°C. Avoid freeze / thaw cycles.
Product Categories/Family for anti-IL22 antibody
NCBI and Uniprot Product Information
NCBI GI #
NCBI GeneID
UniProt Accession #
Molecular Weight
Calculated MW: 20kDa
Observed MW: Refer to figures
Observed MW: Refer to figures
NCBI Official Full Name
Interleukin-22
NCBI Official Synonym Full Names
interleukin 22
NCBI Official Symbol
IL22
NCBI Official Synonym Symbols
TIFa; IL-21; IL-22; ILTIF; IL-TIF; IL-D110; zcyto18; TIFIL-23
NCBI Protein Information
interleukin-22; cytokine Zcyto18; IL-10-related T-cell-derived inducible factor; IL-10-related T-cell-derived-inducible factor
UniProt Protein Name
Interleukin-22
UniProt Gene Name
IL22
UniProt Synonym Gene Names
ILTIF; ZCYTO18; IL-22; IL-TIF
UniProt Entry Name
IL22_HUMAN
Customer Reviews
Loading reviews...
Share Your Experience
Similar Products
Product Notes
The IL22 il22 (Catalog #AAA279869) is an Antibody produced from Rabbit and is intended for research purposes only. The product is available for immediate purchase. The IL22 reacts with Human, Mouse and may cross-react with other species as described in the data sheet. AAA Biotech's IL22 can be used in a range of immunoassay formats including, but not limited to, IHC (Immunohistochemistry). Researchers should empirically determine the suitability of the IL22 il22 for an application not listed in the data sheet. Researchers commonly develop new applications and it is an integral, important part of the investigative research process. It is sometimes possible for the material contained within the vial of "IL22, Polyclonal Antibody" to become dispersed throughout the inside of the vial, particularly around the seal of said vial, during shipment and storage. We always suggest centrifuging these vials to consolidate all of the liquid away from the lid and to the bottom of the vial prior to opening. Please be advised that certain products may require dry ice for shipping and that, if this is the case, an additional dry ice fee may also be required.Precautions
All products in the AAA Biotech catalog are strictly for research-use only, and are absolutely not suitable for use in any sort of medical, therapeutic, prophylactic, in-vivo, or diagnostic capacity. By purchasing a product from AAA Biotech, you are explicitly certifying that said products will be properly tested and used in line with industry standard. AAA Biotech and its authorized distribution partners reserve the right to refuse to fulfill any order if we have any indication that a purchaser may be intending to use a product outside of our accepted criteria.Disclaimer
Though we do strive to guarantee the information represented in this datasheet, AAA Biotech cannot be held responsible for any oversights or imprecisions. AAA Biotech reserves the right to adjust any aspect of this datasheet at any time and without notice. It is the responsibility of the customer to inform AAA Biotech of any product performance issues observed or experienced within 30 days of receipt of said product. To see additional details on this or any of our other policies, please see our Terms & Conditions page.Item has been added to Shopping Cart
If you are ready to order, navigate to Shopping Cart and get ready to checkout.
