Rabbit IL22RA1 Polyclonal Antibody | anti-IL22RA1 antibody
IL22RA1 Polyclonal Antibody
Gene Names
IL22RA1; IL22R; CRF2-9; IL22R1
Reactivity
Human, Mouse, Rat
Applications
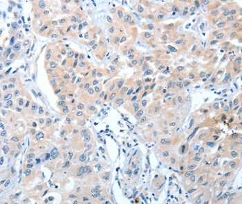
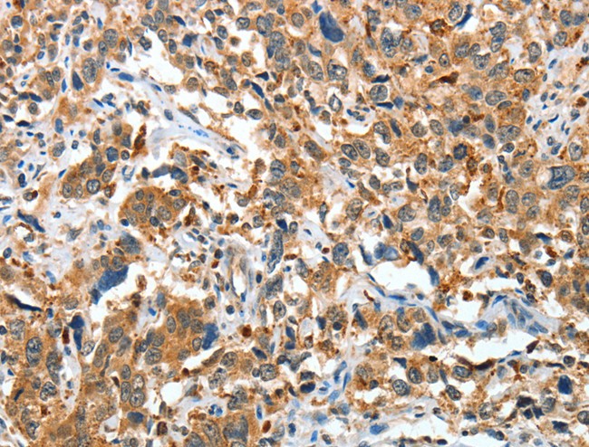
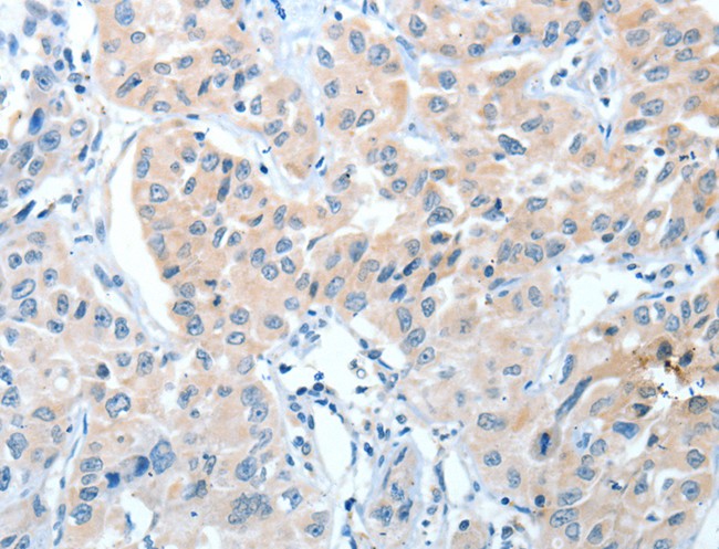
Immunohistochemistry, ELISA
Purity
Antigen affinity purification
Synonyms
IL22RA1, Antibody; IL22RA1 Polyclonal Antibody; IL22R; CRF2-9; IL22R1; anti-IL22RA1 antibody
Host
Rabbit
Reactivity
Human, Mouse, Rat
Clonality
Polyclonal
Isotype
IgG
Purity/Purification
Antigen affinity purification
Concentration
0.7mg/mL (varies by lot)
Sequence Length
574
Applicable Applications for anti-IL22RA1 antibody
IHC (Immunohistochemistry), ELISA
Immunogen
Recombinant protein of human IL22RA1
Buffer
PBS with 0.05% sodium azide, 50% glycerol, pH7.3
Preparation and Storage
Store at -20 degree C (regular) and -80 degree C (long term). Avoid freeze / thaw cycles.
Related Product Information for anti-IL22RA1 antibody
The protein encoded by this gene belongs to the class II cytokine receptor family, and has been shown to be a receptor for interleukin 22 (IL22). IL22 receptor is a protein complex that consists of this protein and interleukin 10 receptor, beta (IL10BR/CRFB4), a subunit also shared by the receptor complex for interleukin 10 (IL10). This gene and interleukin 28 receptor, alpha (IL28RA) form a cytokine receptor gene cluster in the chromosomal region 1p36.
NCBI and Uniprot Product Information
NCBI GI #
NCBI GeneID
Molecular Weight
63,077 Da
NCBI Official Full Name
Interleukin-22 receptor subunit alpha-1
NCBI Official Synonym Full Names
interleukin 22 receptor, alpha 1
NCBI Official Symbol
IL22RA1
NCBI Official Synonym Symbols
IL22R; CRF2-9; IL22R1
NCBI Protein Information
interleukin-22 receptor subunit alpha-1; IL-22 receptor subunit alpha-1; IL-22R-alpha-1; IL-22RA1; cytokine receptor class-II member 9; cytokine receptor family 2 member 9; zcytoR11
UniProt Protein Name
Interleukin-22 receptor subunit alpha-1
UniProt Gene Name
IL22RA1
UniProt Synonym Gene Names
IL22R; IL-22 receptor subunit alpha-1; IL-22R-alpha-1; IL-22RA1; CRF2-9
UniProt Entry Name
I22R1_HUMAN
Customer Reviews
Loading reviews...
Share Your Experience
Similar Products
Product Notes
The IL22RA1 il22ra1 (Catalog #AAA168066) is an Antibody produced from Rabbit and is intended for research purposes only. The product is available for immediate purchase. The IL22RA1 Polyclonal Antibody reacts with Human, Mouse, Rat and may cross-react with other species as described in the data sheet. AAA Biotech's IL22RA1 can be used in a range of immunoassay formats including, but not limited to, IHC (Immunohistochemistry), ELISA. Researchers should empirically determine the suitability of the IL22RA1 il22ra1 for an application not listed in the data sheet. Researchers commonly develop new applications and it is an integral, important part of the investigative research process. It is sometimes possible for the material contained within the vial of "IL22RA1, Polyclonal Antibody" to become dispersed throughout the inside of the vial, particularly around the seal of said vial, during shipment and storage. We always suggest centrifuging these vials to consolidate all of the liquid away from the lid and to the bottom of the vial prior to opening. Please be advised that certain products may require dry ice for shipping and that, if this is the case, an additional dry ice fee may also be required.Precautions
All products in the AAA Biotech catalog are strictly for research-use only, and are absolutely not suitable for use in any sort of medical, therapeutic, prophylactic, in-vivo, or diagnostic capacity. By purchasing a product from AAA Biotech, you are explicitly certifying that said products will be properly tested and used in line with industry standard. AAA Biotech and its authorized distribution partners reserve the right to refuse to fulfill any order if we have any indication that a purchaser may be intending to use a product outside of our accepted criteria.Disclaimer
Though we do strive to guarantee the information represented in this datasheet, AAA Biotech cannot be held responsible for any oversights or imprecisions. AAA Biotech reserves the right to adjust any aspect of this datasheet at any time and without notice. It is the responsibility of the customer to inform AAA Biotech of any product performance issues observed or experienced within 30 days of receipt of said product. To see additional details on this or any of our other policies, please see our Terms & Conditions page.Item has been added to Shopping Cart
If you are ready to order, navigate to Shopping Cart and get ready to checkout.
