Rabbit anti-Human IL23R Polyclonal Antibody | anti-IL23R antibody
IL23R Rabbit anti-Human Polyclonal Antibody
Reactivity
Human
Applications
Immunohistochemistry
Purity
Immunoaffinity purified
Synonyms
IL23R, Antibody; IL23R Rabbit anti-Human Polyclonal Antibody; PathPlus IL23R Antibody; IL23R; IL-23 receptor; Interleukin 23 receptor; IBD17; IL-23R; Interleukin-23 receptor; anti-IL23R antibody
Host
Rabbit
Reactivity
Human
Clonality
Polyclonal
Purity/Purification
Immunoaffinity purified
Form/Format
PBS, 0.1% Sodium Azide
Concentration
1mg/ml (varies by lot)
Applicable Applications for anti-IL23R antibody
IHC (Immunohistochemistry)
Target
Human IL23R
Immunogen
LP-10998, synthetic peptide
Conjugation
Unconjugated
Family
Interleukin
Preparation and Storage
Aliquot and store undiluted at -20 degree C or below for up to 1 year. Can be stored undiluted at 4 degree C for up to 1 month. Avoid freeze-thaw cycles.
Related Product Information for anti-IL23R antibody
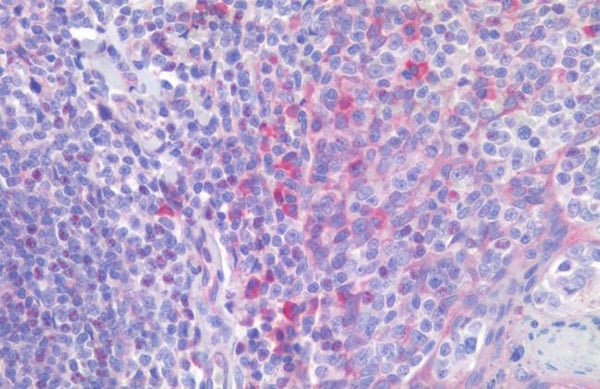
IL23R antibody is an unconjugated rabbit polyclonal antibody to IL23R from human. Validated for IHC.
IL23R forms the interleukin-23 receptor together with IL12RB1. It binds IL23 and is present on subsets of T cells, some B cells and innate lymphoid cells. IL23R functions in innate and adaptive immunity, inflammatory response and acute response to infection in peripheral tissues. Polymorphisms in IL23R are associated with inflammatory bowel disease, psoriasis and ankylosing spondylitis, and some mutations are also correlated with risk for rectal cancer. In immunohistochemistry, IL23R has low levels of positivity on populations of immune cells and in the adrenal gland, gastrointestinal tract and reproductive tissues.
IL23R forms the interleukin-23 receptor together with IL12RB1. It binds IL23 and is present on subsets of T cells, some B cells and innate lymphoid cells. IL23R functions in innate and adaptive immunity, inflammatory response and acute response to infection in peripheral tissues. Polymorphisms in IL23R are associated with inflammatory bowel disease, psoriasis and ankylosing spondylitis, and some mutations are also correlated with risk for rectal cancer. In immunohistochemistry, IL23R has low levels of positivity on populations of immune cells and in the adrenal gland, gastrointestinal tract and reproductive tissues.
References
The UniProt Consortium. Nucleic Acids Res. 47: D506-515 (2019); Nucleic Acids Res. 2016 Jan 4;44(D1):D733-45, PMID:26553804; Hum Immunol. 2007 Nov;68(11):934-7, PMID: 18082575; Cancer Epidemiol. 2012 Apr;36(2):e104-10, PMID: 22154103; PLoS One. 2014; 9(2): e89092, PMID: 24586521
NCBI and Uniprot Product Information
NCBI GI #
NCBI GeneID
NCBI Accession #
NCBI GenBank Nucleotide #
UniProt Accession #
Molecular Weight
25,551 Da
NCBI Official Full Name
interleukin-23 receptor
NCBI Official Synonym Full Names
interleukin 23 receptor
NCBI Official Symbol
IL23R
NCBI Protein Information
interleukin-23 receptor
UniProt Protein Name
Interleukin-23 receptor
UniProt Gene Name
IL23R
UniProt Synonym Gene Names
IL-23 receptor; IL-23R
UniProt Entry Name
IL23R_HUMAN
Customer Reviews
Loading reviews...
Share Your Experience
Similar Products
Product Notes
The IL23R il23r (Catalog #AAA163019) is an Antibody produced from Rabbit and is intended for research purposes only. The product is available for immediate purchase. The IL23R Rabbit anti-Human Polyclonal Antibody reacts with Human and may cross-react with other species as described in the data sheet. AAA Biotech's IL23R can be used in a range of immunoassay formats including, but not limited to, IHC (Immunohistochemistry). Researchers should empirically determine the suitability of the IL23R il23r for an application not listed in the data sheet. Researchers commonly develop new applications and it is an integral, important part of the investigative research process. It is sometimes possible for the material contained within the vial of "IL23R, Polyclonal Antibody" to become dispersed throughout the inside of the vial, particularly around the seal of said vial, during shipment and storage. We always suggest centrifuging these vials to consolidate all of the liquid away from the lid and to the bottom of the vial prior to opening. Please be advised that certain products may require dry ice for shipping and that, if this is the case, an additional dry ice fee may also be required.Precautions
All products in the AAA Biotech catalog are strictly for research-use only, and are absolutely not suitable for use in any sort of medical, therapeutic, prophylactic, in-vivo, or diagnostic capacity. By purchasing a product from AAA Biotech, you are explicitly certifying that said products will be properly tested and used in line with industry standard. AAA Biotech and its authorized distribution partners reserve the right to refuse to fulfill any order if we have any indication that a purchaser may be intending to use a product outside of our accepted criteria.Disclaimer
Though we do strive to guarantee the information represented in this datasheet, AAA Biotech cannot be held responsible for any oversights or imprecisions. AAA Biotech reserves the right to adjust any aspect of this datasheet at any time and without notice. It is the responsibility of the customer to inform AAA Biotech of any product performance issues observed or experienced within 30 days of receipt of said product. To see additional details on this or any of our other policies, please see our Terms & Conditions page.Item has been added to Shopping Cart
If you are ready to order, navigate to Shopping Cart and get ready to checkout.
