Rabbit anti-Human Integrin beta 4 Polyclonal Antibody | anti-ITGB4 antibody
Anti-Integrin beta 4 antibody
WB (Western Blot)
(Anti-Integrin beta 4 Picoband antibody, AAA45677-3.jpgAll lanes: Anti-ITGB4(AAA45677) at 0.5ug/mlWB: Recombinant Human Integrin beta4 Protein 0.5ngPredicted bind size: 40KDObserved bind size: 40KD)
IHC (Immunohiostchemistry)
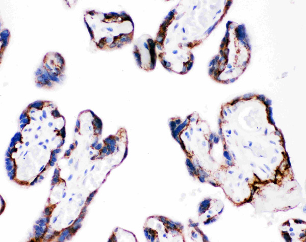
(Anti-Integrin beta 4 Picoband antibody, AAA45677-2.JPGIHC(P): Human Placenta Tissue)
IHC (Immunohistochemistry)
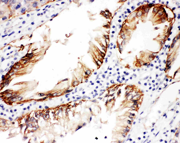
(Anti-Integrin beta 4 Picoband antibody, AAA45677-1.JPGIHC(P): Human Intestinal Cancer Tissue)
Background: ITGB4(Integrin, beta-4), also known as CD104 (Cluster of Differentiation 104), is a human gene. The gene encodes the integrin beta 4 subunits, a receptor for the laminins. This subunit tends to associate with alpha 6 subunits and is likely to play a pivotal role in the biology of invasive carcinoma. The ITGB4 gene is mapped on 17q25.1. Using expression profiling, Yang et al. found that ITGB4 was upregulated 6-fold by ZKSCAN3 in transfected human colon cancer cells compared with parental cells. They confirmed that ZKSCAN3 bound the promoter of ITGB4 in vitro and in vivo. ITGB4 knockdown by short hairpin RNA countered ZKSCAN3-augmented anchorage-independent colony formation in the colon cancer cell lines. The integrin beta-4 subunit is characterized by an unusually long cytoplasmic domain that harbors 4 fibronectin type III (FNIII) repeats, residing in 2 pairs separated by a connecting segment. Vidal et al. found compound heterozygosity for mutations in the ITGB4 gene in an infant with junctional epidermolysis bullosa associated with pyloric atresia.
NCBI and Uniprot Product Information
Customer Reviews
Loading reviews...
Share Your Experience
Similar Products
Product Notes
The ITGB4 itgb4 (Catalog #AAA45677) is an Antibody produced from Rabbit and is intended for research purposes only. The product is available for immediate purchase. The Anti-Integrin beta 4 antibody reacts with Human and may cross-react with other species as described in the data sheet. AAA Biotech's Integrin beta 4 can be used in a range of immunoassay formats including, but not limited to, IHC (Immunohistochemistry), WB (Western Blot). Researchers should empirically determine the suitability of the ITGB4 itgb4 for an application not listed in the data sheet. Researchers commonly develop new applications and it is an integral, important part of the investigative research process. It is sometimes possible for the material contained within the vial of "Integrin beta 4, Polyclonal Antibody" to become dispersed throughout the inside of the vial, particularly around the seal of said vial, during shipment and storage. We always suggest centrifuging these vials to consolidate all of the liquid away from the lid and to the bottom of the vial prior to opening. Please be advised that certain products may require dry ice for shipping and that, if this is the case, an additional dry ice fee may also be required.Precautions
All products in the AAA Biotech catalog are strictly for research-use only, and are absolutely not suitable for use in any sort of medical, therapeutic, prophylactic, in-vivo, or diagnostic capacity. By purchasing a product from AAA Biotech, you are explicitly certifying that said products will be properly tested and used in line with industry standard. AAA Biotech and its authorized distribution partners reserve the right to refuse to fulfill any order if we have any indication that a purchaser may be intending to use a product outside of our accepted criteria.Disclaimer
Though we do strive to guarantee the information represented in this datasheet, AAA Biotech cannot be held responsible for any oversights or imprecisions. AAA Biotech reserves the right to adjust any aspect of this datasheet at any time and without notice. It is the responsibility of the customer to inform AAA Biotech of any product performance issues observed or experienced within 30 days of receipt of said product. To see additional details on this or any of our other policies, please see our Terms & Conditions page.Item has been added to Shopping Cart
If you are ready to order, navigate to Shopping Cart and get ready to checkout.
