Rabbit Integrin beta3 Polyclonal Antibody | anti-ITGB3 antibody
Phospho-Integrin beta3 (Tyr773) Antibody
Phosphate buffered saline, pH 7.4, 150mM NaCl, 0.02% sodium azide and 50% glycerol.
WB (Western Blot)
(Western blot analysis of Integrin beta3 phosphorylation expression in H2O2 treated 293 whole cell lysates, The lane on the left is treated with the antigen-specific peptide.)
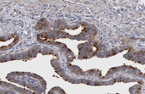
IHC (Immunohiostchemistry)
(AAA321474 at 1/200 staining human Fallopian tube sections by IHC-P. The tissue was formaldehyde fixed and a heat mediated antigen retrieval step in citrate buffer was performed. The tissue was then blocked and incubated with the antibody for 1.5 hours at 22 degree C. An HRP conjugated goat anti-rabbit antibody was used as the secondary.)
IF (Immunofluorescence)
(AAA321474 staining HepG2 by IF/ICC. The sample were fixed with PFA and permeabilized in 0.1% Triton X-100, then blocked in 10% serum for 45 minutes at 25 degree C. The primary antibody was diluted at 1/200 and incubated with the sample for 1 hour at 37 degree C. An Alexa Fluor 594 conjugated goat anti-rabbit IgG (H+L) Ab, diluted at 1/600, was used as the secondary antibody.)
Function: Integrin alpha-V/beta-3 (ITGAV:ITGB3) is a receptor for cytotactin, fibronectin, laminin, matrix metalloproteinase-2, osteopontin, osteomodulin, prothrombin, thrombospondin, vitronectin and von Willebrand factor. Integrin alpha-IIb/beta-3 (ITGA2B:ITGB3) is a receptor for fibronectin, fibrinogen, plasminogen, prothrombin, thrombospondin and vitronectin. Integrins alpha-IIb/beta-3 and alpha-V/beta-3 recognize the sequence R-G-D in a wide array of ligands. Integrin alpha-IIb/beta-3 recognizes the sequence H-H-L-G-G-G-A-K-Q-A-G-D-V in fibrinogen gamma chain. Following activation integrin alpha-IIb/beta-3 brings about platelet/platelet interaction through binding of soluble fibrinogen. This step leads to rapid platelet aggregation which physically plugs ruptured endothelial surface. Fibrinogen binding enhances SELP expression in activated platelets (By similarity). ITGAV:ITGB3 binds to fractalkine (CX3CL1) and acts as its coreceptor in CX3CR1-dependent fractalkine signaling (PubMed:23125415, PubMed:24789099). ITGAV:ITGB3 binds to NRG1 (via EGF domain) and this binding is essential for NRG1-ERBB signaling (PubMed:20682778). ITGAV:ITGB3 binds to FGF1 and this binding is essential for FGF1 signaling (PubMed:18441324). ITGAV:ITGB3 binds to FGF2 and this binding is essential for FGF2 signaling (PubMed:28302677). ITGAV:ITGB3 binds to IGF1 and this binding is essential for IGF1 signaling (PubMed:19578119). ITGAV:ITGB3 binds to IGF2 and this binding is essential for IGF2 signaling (PubMed:28873464). ITGAV:ITGB3 binds to IL1B and this binding is essential for IL1B signaling (PubMed:29030430). ITGAV:ITGB3 binds to PLA2G2A via a site (site 2) which is distinct from the classical ligand-binding site (site 1) and this induces integrin conformational changes and enhanced ligand binding to site 1 (PubMed:18635536, PubMed:25398877). ITGAV:ITGB3 acts as a receptor for fibrillin-1 (FBN1) and mediates R-G-D-dependent cell adhesion to FBN1 (PubMed:12807887).
Subunit Structure: Heterodimer of an alpha and a beta subunit. Beta-3 (ITGB3) associates with either alpha-IIb (ITGA2B) or alpha-V (ITGAV). Isoform Beta-3C interacts with FLNB. Interacts with COMP. Interacts with PDIA6 following platelet stimulation. Interacts with SYK; upon activation by ITGB3 promotes platelet adhesion. Interacts with MYO10. Interacts with DAB2. Interacts with FERMT2. Interacts with EMP2; regulates the levels of the heterodimer ITGA5:ITGB3 integrin expression on the plasma membrane (PubMed:16216233). Integrin ITGAV:ITGB3 interacts with FBLN5 (via N-terminus) (By similarity). ITGAV:ITGB3 interacts with NOV (PubMed:12695522). ITGAV:ITGB3 is found in a ternary complex with CX3CR1 and CX3CL1 (PubMed:23125415). ITGAV:ITGB3 is found in a ternary complex with NRG1 and ERBB3 (PubMed:20682778). ITGAV:ITGB3 is found in a ternary complex with FGF1 and FGFR1 (PubMed:18441324). ITGAV:ITGB3 interacts with FGF2; it is likely that FGF2 can simultaneously bind ITGAV:ITGB3 and FGF receptors (PubMed:28302677). ITGAV:ITGB3 binds to IL1B (PubMed:29030430). ITGAV:ITGB3 is found in a ternary complex with IGF1 and IGF1R (PubMed:19578119). ITGAV:ITGB3 interacts with IGF2 (PubMed:28873464). ITGAV:ITGB3 interacts with FBN1 (PubMed:12807887). ITGAV:ITGB3 interacts with CD9, CD81 and CD151 (via second extracellular domain) (PubMed:27993971). Interacts (via the allosteric site (site 2)) with CXCL12 in a CXCR4-independent manner (PubMed:29301984).
Post-translational Modifications: Phosphorylated on tyrosine residues in response to thrombin-induced platelet aggregation. Probably involved in outside-in signaling. A peptide (AA 740-762) is capable of binding GRB2 only when both Tyr-773 and Tyr-785 are phosphorylated. Phosphorylation of Thr-779 inhibits SHC binding.
Similarity: Belongs to the integrin beta chain family.
NCBI and Uniprot Product Information
Predicted: 88 kDa
Customer Reviews
Loading reviews...
Share Your Experience
Similar Products
Product Notes
The ITGB3 itgb3 (Catalog #AAA321474) is an Antibody produced from Rabbit and is intended for research purposes only. The product is available for immediate purchase. The Phospho-Integrin beta3 (Tyr773) Antibody reacts with Human, Mouse, Rat and may cross-react with other species as described in the data sheet. AAA Biotech's Integrin beta3 can be used in a range of immunoassay formats including, but not limited to, ELISA, ICC (Immunocytochemistry), IF (Immunofluorescence), IHC (Immunohistochemistry), WB (Western Blot). Researchers should empirically determine the suitability of the ITGB3 itgb3 for an application not listed in the data sheet. Researchers commonly develop new applications and it is an integral, important part of the investigative research process. It is sometimes possible for the material contained within the vial of "Integrin beta3, Polyclonal Antibody" to become dispersed throughout the inside of the vial, particularly around the seal of said vial, during shipment and storage. We always suggest centrifuging these vials to consolidate all of the liquid away from the lid and to the bottom of the vial prior to opening. Please be advised that certain products may require dry ice for shipping and that, if this is the case, an additional dry ice fee may also be required.Precautions
All products in the AAA Biotech catalog are strictly for research-use only, and are absolutely not suitable for use in any sort of medical, therapeutic, prophylactic, in-vivo, or diagnostic capacity. By purchasing a product from AAA Biotech, you are explicitly certifying that said products will be properly tested and used in line with industry standard. AAA Biotech and its authorized distribution partners reserve the right to refuse to fulfill any order if we have any indication that a purchaser may be intending to use a product outside of our accepted criteria.Disclaimer
Though we do strive to guarantee the information represented in this datasheet, AAA Biotech cannot be held responsible for any oversights or imprecisions. AAA Biotech reserves the right to adjust any aspect of this datasheet at any time and without notice. It is the responsibility of the customer to inform AAA Biotech of any product performance issues observed or experienced within 30 days of receipt of said product. To see additional details on this or any of our other policies, please see our Terms & Conditions page.Item has been added to Shopping Cart
If you are ready to order, navigate to Shopping Cart and get ready to checkout.
