Rabbit anti-Human Interleukin-12 subunit beta Polyclonal Antibody | anti-IL12B antibody
Rabbit anti-human Interleukin-12 subunit beta polyclonal Antibody
WB (Western Blot)
(Western BlotPositive WB detected in: mouse brainAll lanes: IL12 antibody at 4ug/mlSecondaryGoat polyclonal to rabbit IgG at 1/50000 dilutionPredicted band size: 37 kDaObserved band size: 37 kDa)
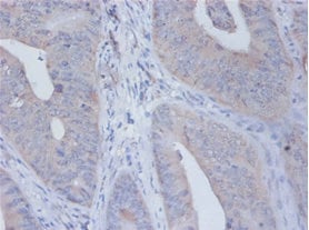
IHC (Immunohistochemisry)
(Immunohistochemistry of paraffin-embeded human colorectal carcinoma using AAA230591 at dilution of 1:100)
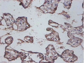
IHC (Immunohiostchemistry)
(Immunohistochemistry of paraffin-embeded human placenta using AAA230591 at dilution of 1:100)
WB (Western Blot)
(Western blotAll lanes: Interleukin-12 subunit beta antibody at 2ug/mlLane 1: EC109 whole cell lysateLane 2: 293T whole cell lysateSecondaryGoat polyclonal to Rabbit IgG at 1/15000 dilutionPredicted band size: 72 kDaObserved band size: 72 kDa)
This gene encodes a subunit of interleukin 12, a cytokine that acts on T and natural killer cells, and has a broad array of biological activities. Interleukin 12 is a disulfide-linked heterodimer composed of the 40 kD cytokine receptor like subunit encoded by this gene, and a 35 kD subunit encoded by IL12A. This cytokine is expressed by activated macrophages that serve as an essential inducer of Th1 cells development. This cytokine has been found to be important for sustaining a sufficient number of memory/effector Th1 cells to mediate long-term protection to an intracellular pathogen. Overexpression of this gene was observed in the central nervous system of patients with multiple sclerosis (MS), suggesting a role of this cytokine in the pathogenesis of the disease. The promoter polymorphism of this gene has been reported to be associated with the severity of atopic and non-atopic asthma in children.
NCBI and Uniprot Product Information
Customer Reviews
Loading reviews...
Share Your Experience
Similar Products
Product Notes
The IL12B il12b (Catalog #AAA230591) is an Antibody produced from Rabbit and is intended for research purposes only. The product is available for immediate purchase. The Rabbit anti-human Interleukin-12 subunit beta polyclonal Antibody reacts with Human and may cross-react with other species as described in the data sheet. AAA Biotech's Interleukin-12 subunit beta can be used in a range of immunoassay formats including, but not limited to, IHC (Immunohistochemistry), WB (Western Blot), ELISA. Researchers should empirically determine the suitability of the IL12B il12b for an application not listed in the data sheet. Researchers commonly develop new applications and it is an integral, important part of the investigative research process. It is sometimes possible for the material contained within the vial of "Interleukin-12 subunit beta, Polyclonal Antibody" to become dispersed throughout the inside of the vial, particularly around the seal of said vial, during shipment and storage. We always suggest centrifuging these vials to consolidate all of the liquid away from the lid and to the bottom of the vial prior to opening. Please be advised that certain products may require dry ice for shipping and that, if this is the case, an additional dry ice fee may also be required.Precautions
All products in the AAA Biotech catalog are strictly for research-use only, and are absolutely not suitable for use in any sort of medical, therapeutic, prophylactic, in-vivo, or diagnostic capacity. By purchasing a product from AAA Biotech, you are explicitly certifying that said products will be properly tested and used in line with industry standard. AAA Biotech and its authorized distribution partners reserve the right to refuse to fulfill any order if we have any indication that a purchaser may be intending to use a product outside of our accepted criteria.Disclaimer
Though we do strive to guarantee the information represented in this datasheet, AAA Biotech cannot be held responsible for any oversights or imprecisions. AAA Biotech reserves the right to adjust any aspect of this datasheet at any time and without notice. It is the responsibility of the customer to inform AAA Biotech of any product performance issues observed or experienced within 30 days of receipt of said product. To see additional details on this or any of our other policies, please see our Terms & Conditions page.Item has been added to Shopping Cart
If you are ready to order, navigate to Shopping Cart and get ready to checkout.
