Rabbit anti-Human IPO13 Polyclonal Antibody | anti-IPO13 antibody
IPO13 Antibody
Gene Names
IPO13; LGL2; IMP13; KAP13; RANBP13
Reactivity
Human
Applications
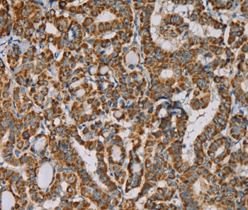
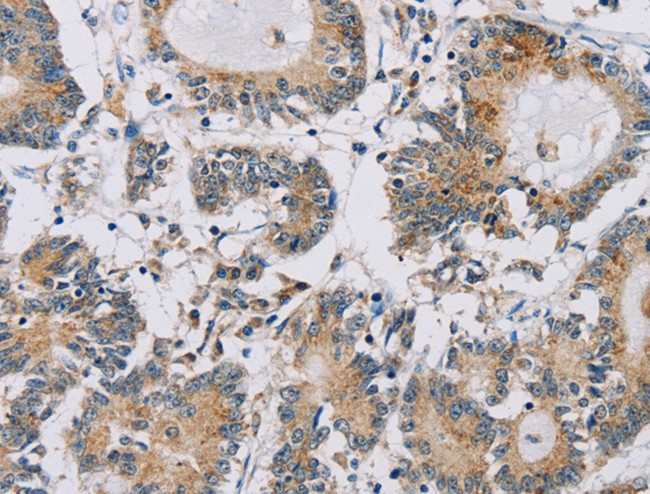
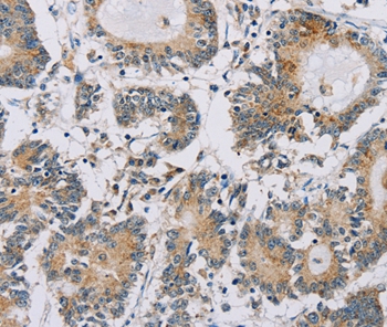
Immunohistochemistry
Purity
Antigen affinity purification.
Synonyms
IPO13, Antibody; IPO13 Antibody; LGL2; IMP13; KAP13; RANBP13; anti-IPO13 antibody
Host
Rabbit
Reactivity
Human
Clonality
Polyclonal
Specificity
The antibody detects endogenous levels of total IPO13 protein.
Purity/Purification
Antigen affinity purification.
Form/Format
Rabbit IgG in pH7.3 PBS, 0.05% NaN3, 50% Glycerol.
Concentration
1.4 mg/ml (varies by lot)
Sequence Length
963
Applicable Applications for anti-IPO13 antibody
IHC (Immunohistochemistry)
Immunogen Type
Recombinant Protein
Immunogen Description
Fusion protein corresponding to residues near the C terminal of human importin 13
Target Name
IPO13
Preparation and Storage
Store at -20 degree C
Related Product Information for anti-IPO13 antibody
This gene encodes a member of the importin-beta family of nuclear transport proteins. The encoded protein mediates the import of specific cargo proteins from the cytoplasm to the nucleus and is dependent on the Ras-related nuclear protein-GTPase system. The encoded protein is also involved in nuclear export of the eukaryotic translation initiation factor 1A.
Product Categories/Family for anti-IPO13 antibody
NCBI and Uniprot Product Information
NCBI GI #
NCBI GeneID
NCBI Accession #
NCBI GenBank Nucleotide #
Molecular Weight
108,195 Da
NCBI Official Full Name
importin-13
NCBI Official Synonym Full Names
importin 13
NCBI Official Symbol
IPO13
NCBI Official Synonym Symbols
LGL2; IMP13; KAP13; RANBP13
NCBI Protein Information
importin-13
UniProt Protein Name
Importin-13
UniProt Gene Name
IPO13
UniProt Synonym Gene Names
KIAA0724; RANBP13; Imp13; Kap13; RanBP13
UniProt Entry Name
IPO13_HUMAN
Customer Reviews
Loading reviews...
Share Your Experience
Similar Products
Product Notes
The IPO13 ipo13 (Catalog #AAA303602) is an Antibody produced from Rabbit and is intended for research purposes only. The product is available for immediate purchase. The IPO13 Antibody reacts with Human and may cross-react with other species as described in the data sheet. AAA Biotech's IPO13 can be used in a range of immunoassay formats including, but not limited to, IHC (Immunohistochemistry). Researchers should empirically determine the suitability of the IPO13 ipo13 for an application not listed in the data sheet. Researchers commonly develop new applications and it is an integral, important part of the investigative research process. It is sometimes possible for the material contained within the vial of "IPO13, Polyclonal Antibody" to become dispersed throughout the inside of the vial, particularly around the seal of said vial, during shipment and storage. We always suggest centrifuging these vials to consolidate all of the liquid away from the lid and to the bottom of the vial prior to opening. Please be advised that certain products may require dry ice for shipping and that, if this is the case, an additional dry ice fee may also be required.Precautions
All products in the AAA Biotech catalog are strictly for research-use only, and are absolutely not suitable for use in any sort of medical, therapeutic, prophylactic, in-vivo, or diagnostic capacity. By purchasing a product from AAA Biotech, you are explicitly certifying that said products will be properly tested and used in line with industry standard. AAA Biotech and its authorized distribution partners reserve the right to refuse to fulfill any order if we have any indication that a purchaser may be intending to use a product outside of our accepted criteria.Disclaimer
Though we do strive to guarantee the information represented in this datasheet, AAA Biotech cannot be held responsible for any oversights or imprecisions. AAA Biotech reserves the right to adjust any aspect of this datasheet at any time and without notice. It is the responsibility of the customer to inform AAA Biotech of any product performance issues observed or experienced within 30 days of receipt of said product. To see additional details on this or any of our other policies, please see our Terms & Conditions page.Item has been added to Shopping Cart
If you are ready to order, navigate to Shopping Cart and get ready to checkout.
