Rabbit anti-Human IQCJ Polyclonal Antibody | anti-IQCJ antibody
IQCJ Antibody
Reactivity
Human
Applications
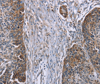
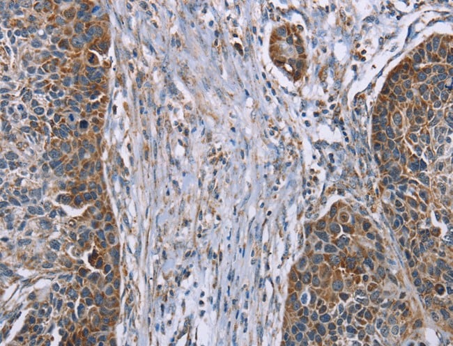
Immunohistochemistry
Purity
Antigen affinity purification.
Synonyms
IQCJ, Antibody; IQCJ Antibody; calmodulin binding protein; IQ domain-containing protein J; IQ motif containing J; IQCJ; anti-IQCJ antibody
Host
Rabbit
Reactivity
Human
Clonality
Polyclonal
Specificity
The antibody detects endogenous levels of total IQCJ protein.
Purity/Purification
Antigen affinity purification.
Form/Format
Rabbit IgG in pH7.3 PBS, 0.05% NaN3, 50% Glycerol.
Concentration
2.4 mg/ml (varies by lot)
Sequence Length
159
Applicable Applications for anti-IQCJ antibody
IHC (Immunohistochemistry)
Immunogen Type
Peptide
Immunogen Description
Synthetic peptide corresponding to a region derived from internal residues of human IQ motif containing J
Target Name
IQCJ
Preparation and Storage
Store at -20 degree C
Related Product Information for anti-IQCJ antibody
IQCJ (IQ domain-containing protein J) is a 159 amino acid protein that contains one IQ domain. Existing as four alternatively spliced isoforms, the gene encoding IQCJ maps to human chromosome 3q25.32. Chromosome 3 houses over 1,100 genes, including a chemokine receptor (CKR) gene cluster and a variety of human cancer-related gene loci. Key tumor suppressing genes on chromosome 3 include those that encode the apoptosis mediator RASSF1, the cell migration regulator HYAL1 and the angiogenesis suppressor SEMA3B.
Product Categories/Family for anti-IQCJ antibody
NCBI and Uniprot Product Information
NCBI GI #
NCBI GeneID
NCBI Accession #
NCBI GenBank Nucleotide #
Molecular Weight
62,248 Da
NCBI Official Full Name
IQ domain-containing protein J isoform CaMBPv1
NCBI Official Synonym Full Names
IQ motif containing J
NCBI Official Symbol
IQCJ
NCBI Protein Information
IQ domain-containing protein J
UniProt Protein Name
IQ domain-containing protein J
UniProt Gene Name
IQCJ
UniProt Entry Name
IQCJ_HUMAN
Customer Reviews
Loading reviews...
Share Your Experience
Similar Products
Product Notes
The IQCJ iqcj (Catalog #AAA303004) is an Antibody produced from Rabbit and is intended for research purposes only. The product is available for immediate purchase. The IQCJ Antibody reacts with Human and may cross-react with other species as described in the data sheet. AAA Biotech's IQCJ can be used in a range of immunoassay formats including, but not limited to, IHC (Immunohistochemistry). Researchers should empirically determine the suitability of the IQCJ iqcj for an application not listed in the data sheet. Researchers commonly develop new applications and it is an integral, important part of the investigative research process. It is sometimes possible for the material contained within the vial of "IQCJ, Polyclonal Antibody" to become dispersed throughout the inside of the vial, particularly around the seal of said vial, during shipment and storage. We always suggest centrifuging these vials to consolidate all of the liquid away from the lid and to the bottom of the vial prior to opening. Please be advised that certain products may require dry ice for shipping and that, if this is the case, an additional dry ice fee may also be required.Precautions
All products in the AAA Biotech catalog are strictly for research-use only, and are absolutely not suitable for use in any sort of medical, therapeutic, prophylactic, in-vivo, or diagnostic capacity. By purchasing a product from AAA Biotech, you are explicitly certifying that said products will be properly tested and used in line with industry standard. AAA Biotech and its authorized distribution partners reserve the right to refuse to fulfill any order if we have any indication that a purchaser may be intending to use a product outside of our accepted criteria.Disclaimer
Though we do strive to guarantee the information represented in this datasheet, AAA Biotech cannot be held responsible for any oversights or imprecisions. AAA Biotech reserves the right to adjust any aspect of this datasheet at any time and without notice. It is the responsibility of the customer to inform AAA Biotech of any product performance issues observed or experienced within 30 days of receipt of said product. To see additional details on this or any of our other policies, please see our Terms & Conditions page.Item has been added to Shopping Cart
If you are ready to order, navigate to Shopping Cart and get ready to checkout.
