Rabbit IRE1 Polyclonal Antibody | anti-IRE1 antibody
Phospho-IRE1 (Tyr628) Antibody
Predicted: Pig, Bovine, Horse, Sheep, Rabbit, Dog, Chicken, Xenopus
Predicted: Pig, Bovine, Horse, Sheep, Rabbit, Dog, Chicken, Xenopus
WB (Western Blot)
(Western blot analysis of extracts of rat brain tissue sample,using Phospho-IRE1 (phospho Y628) Antibody.)
IHC (Immunohistochemisry)
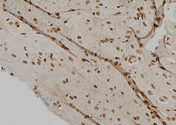
(At 1/100 staining mouse brain tissue sections by IHC-P. The tissue was formaldehyde fixed and a heat mediated antigen retrieval step in citrate buffer was performed. The tissue was then blocked and incubated with the antibody for 1.5 hours at 22 degree C. An HRP conjugated goat anti-rabbit antibody was used as the secondary)
IHC (Immunohiostchemistry)
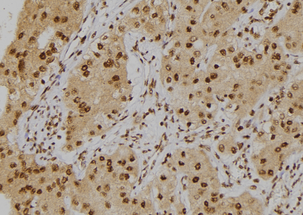
(At 1/100 staining rat spleen tissue sections by IHC-P. The tissue was formaldehyde fixed and a heat mediated antigen retrieval step in citrate buffer was performed. The tissue was then blocked and incubated with the antibody for 1.5 hours at 22 degree C. An HRP conjugated goat anti-rabbit antibody was used as the secondary)
IHC (Immunohistochemistry)
(At 1/100 staining human kidney tissue sections by IHC-P. The tissue was formaldehyde fixed and a heat mediated antigen retrieval step in citrate buffer was performed. The tissue was then blocked and incubated with the antibody for 1.5 hours at 22 degree C. An HRP conjugated goat anti-rabbit antibody was used as the secondary)
Post Translational Modifications: Autophosphorylated following homodimerization. Autophosphorylation promotes activation of the endoribonuclease domain. ADP-ribosylated by PARP16 upon ER stress, which increases both kinase and endonuclease activities.
Subunit Structure: Monomer (PubMed:29198525, PubMed:16973740). Homodimer; disulfide-linked; homodimerization takes place in response to endoplasmic reticulum stress and promotes activation of the kinase and endoribonuclease activities (PubMed:12637535, PubMed:24508390, PubMed:16973740, PubMed:21317875). Dimer formation is driven by hydrophobic interactions within the N-terminal luminal domains and stabilized by disulfide bridges (PubMed:12637535). Interacts (via the luminal region) with DNAJB9/ERdj4; interaction takes place in unstressed cells and promotes recruitment of HSPA5/BiP (PubMed:29198525). Interacts (via the luminal region) with HSPA5/BiP; HSPA5/BiP is a negative regulator of the unfolded protein response (UPR) that prevents homodimerization of ERN1/IRE1 and subsequent activation of the protein (PubMed:12637535, PubMed:29198525). Interacts with PDIA6, a negative regulator of the UPR; the interaction is direct and disrupts homodimerization (PubMed:24508390). Interacts with DAB2IP (via PH domain); the interaction occurs in a endoplasmic reticulum stress-induced dependent manner and is required for subsequent recruitment of TRAF2 to ERN1/IRE1 (By similarity). Interacts with TAOK3 and TRAF2 (PubMed:11278723).
Similarity: Belongs to the protein kinase superfamily. Ser/Thr protein kinase family.
NCBI and Uniprot Product Information
Predicted: 110 kDa
Customer Reviews
Loading reviews...
Share Your Experience
Similar Products
Product Notes
The IRE1 ern1 (Catalog #AAA328324) is an Antibody produced from Rabbit and is intended for research purposes only. The product is available for immediate purchase. The Phospho-IRE1 (Tyr628) Antibody reacts with Human, Mouse, Rat Predicted: Pig, Bovine, Horse, Sheep, Rabbit, Dog, Chicken, Xenopus and may cross-react with other species as described in the data sheet. AAA Biotech's IRE1 can be used in a range of immunoassay formats including, but not limited to, ELISA (Peptide ELISA), IHC (Immunohistochemistry), WB (Western Blot). Researchers should empirically determine the suitability of the IRE1 ern1 for an application not listed in the data sheet. Researchers commonly develop new applications and it is an integral, important part of the investigative research process. It is sometimes possible for the material contained within the vial of "IRE1, Polyclonal Antibody" to become dispersed throughout the inside of the vial, particularly around the seal of said vial, during shipment and storage. We always suggest centrifuging these vials to consolidate all of the liquid away from the lid and to the bottom of the vial prior to opening. Please be advised that certain products may require dry ice for shipping and that, if this is the case, an additional dry ice fee may also be required.Precautions
All products in the AAA Biotech catalog are strictly for research-use only, and are absolutely not suitable for use in any sort of medical, therapeutic, prophylactic, in-vivo, or diagnostic capacity. By purchasing a product from AAA Biotech, you are explicitly certifying that said products will be properly tested and used in line with industry standard. AAA Biotech and its authorized distribution partners reserve the right to refuse to fulfill any order if we have any indication that a purchaser may be intending to use a product outside of our accepted criteria.Disclaimer
Though we do strive to guarantee the information represented in this datasheet, AAA Biotech cannot be held responsible for any oversights or imprecisions. AAA Biotech reserves the right to adjust any aspect of this datasheet at any time and without notice. It is the responsibility of the customer to inform AAA Biotech of any product performance issues observed or experienced within 30 days of receipt of said product. To see additional details on this or any of our other policies, please see our Terms & Conditions page.Item has been added to Shopping Cart
If you are ready to order, navigate to Shopping Cart and get ready to checkout.
