Rabbit IRF2BP2 Polyclonal Antibody | anti-IRF2BP2 antibody
IRF2BP2 Antibody
Gene Names
IRF2BP2; CVID14
Reactivity
Human, MousePredicted: Sheep, Dog, Chicken
Applications
Western Blot
Purity
The antiserum was purified by peptide affinity chromatography using SulfoLink Coupling Resin (Thermo Fisher Scientific).
Synonyms
IRF2BP2, Antibody; IRF2BP2 Antibody; I2BP2_HUMAN; Interferon regulatory factor 2 binding protein 2; Interferon regulatory factor 2-binding protein 2; IRF-2-binding protein 2; IRF-2BP2; IRF2 binding protein 2; IRF2BP2; anti-IRF2BP2 antibody
Host
Rabbit
Reactivity
Human, Mouse
Predicted: Sheep, Dog, Chicken
Predicted: Sheep, Dog, Chicken
Clonality
Polyclonal
Isotype
IgG
Specificity
IRF2BP2 Antibody detects endogenous levels of IRF2BP2.
Purity/Purification
The antiserum was purified by peptide affinity chromatography using SulfoLink Coupling Resin (Thermo Fisher Scientific).
Form/Format
Liquid; Phosphate buffered saline, pH 7.4, 150mM NaCl, 0.02% sodium azide and 50% glycerol.
Concentration
1mg/ml (varies by lot)
Sequence Length
587
Applicable Applications for anti-IRF2BP2 antibody
WB (Western Blot)
Immunogen
A synthesized peptide derived from human IRF2BP2.
Fragment
Fab Fragment
Conjugate
Unconjugated
Subcellular Location
Nucleus
Preparation and Storage
Store at -20 degree C. Stable for 12 months from date of receipt.
Related Product Information for anti-IRF2BP2 antibody
Description: Acts as a transcriptional corepressor in a IRF2-dependent manner; this repression is not mediated by histone deacetylase activities. Represses the NFAT1-dependent transactivation of NFAT-responsive promoters. Acts as a coactivator of VEGFA expression in cardiac and skeletal muscle.
Post Translational Modifications: Phosphorylation at Ser-360 is required for nuclear targeting.
Subunit Structure: Interacts with IRF2. Part of a corepressor complex containing IRF2 and IRF2BP1. Interacts with VGLL4.
Similarity: The C-terminal RING-type zinc finger domain is sufficient for interaction with IRF2. Belongs to the IRF2BP family.
Post Translational Modifications: Phosphorylation at Ser-360 is required for nuclear targeting.
Subunit Structure: Interacts with IRF2. Part of a corepressor complex containing IRF2 and IRF2BP1. Interacts with VGLL4.
Similarity: The C-terminal RING-type zinc finger domain is sufficient for interaction with IRF2. Belongs to the IRF2BP family.
NCBI and Uniprot Product Information
NCBI GI #
NCBI GeneID
UniProt Accession #
Molecular Weight
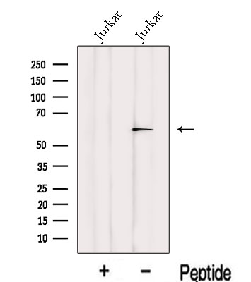
Observed: 61 kDa
Predicted: 62 kDa
Predicted: 62 kDa
NCBI Official Full Name
Interferon regulatory factor 2-binding protein 2
NCBI Official Synonym Full Names
interferon regulatory factor 2 binding protein 2
NCBI Official Symbol
IRF2BP2
NCBI Official Synonym Symbols
CVID14
NCBI Protein Information
interferon regulatory factor 2-binding protein 2
UniProt Protein Name
Interferon regulatory factor 2-binding protein 2
UniProt Gene Name
IRF2BP2
UniProt Synonym Gene Names
IRF-2-binding protein 2; IRF-2BP2
UniProt Entry Name
I2BP2_HUMAN
Customer Reviews
Loading reviews...
Share Your Experience
Similar Products
Product Notes
The IRF2BP2 irf2bp2 (Catalog #AAA328860) is an Antibody produced from Rabbit and is intended for research purposes only. The product is available for immediate purchase. The IRF2BP2 Antibody reacts with Human, Mouse Predicted: Sheep, Dog, Chicken and may cross-react with other species as described in the data sheet. AAA Biotech's IRF2BP2 can be used in a range of immunoassay formats including, but not limited to, WB (Western Blot). Researchers should empirically determine the suitability of the IRF2BP2 irf2bp2 for an application not listed in the data sheet. Researchers commonly develop new applications and it is an integral, important part of the investigative research process. It is sometimes possible for the material contained within the vial of "IRF2BP2, Polyclonal Antibody" to become dispersed throughout the inside of the vial, particularly around the seal of said vial, during shipment and storage. We always suggest centrifuging these vials to consolidate all of the liquid away from the lid and to the bottom of the vial prior to opening. Please be advised that certain products may require dry ice for shipping and that, if this is the case, an additional dry ice fee may also be required.Precautions
All products in the AAA Biotech catalog are strictly for research-use only, and are absolutely not suitable for use in any sort of medical, therapeutic, prophylactic, in-vivo, or diagnostic capacity. By purchasing a product from AAA Biotech, you are explicitly certifying that said products will be properly tested and used in line with industry standard. AAA Biotech and its authorized distribution partners reserve the right to refuse to fulfill any order if we have any indication that a purchaser may be intending to use a product outside of our accepted criteria.Disclaimer
Though we do strive to guarantee the information represented in this datasheet, AAA Biotech cannot be held responsible for any oversights or imprecisions. AAA Biotech reserves the right to adjust any aspect of this datasheet at any time and without notice. It is the responsibility of the customer to inform AAA Biotech of any product performance issues observed or experienced within 30 days of receipt of said product. To see additional details on this or any of our other policies, please see our Terms & Conditions page.Item has been added to Shopping Cart
If you are ready to order, navigate to Shopping Cart and get ready to checkout.
