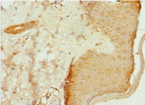
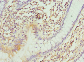
Rabbit anti-Human ITGB3BP Polyclonal Antibody | anti-ITGB3BP antibody
ITGB3BP Antibody
Gene Names
ITGB3BP; CENPR; NRIF3; TAP20; CENP-R; HSU37139
Reactivity
Human
Applications
Immunohistochemistry, ELISA
Purity
Antigen Affinity Purified
Synonyms
ITGB3BP, Antibody; ITGB3BP Antibody; Centromere protein R; CENP-R; Beta-3-endonexin; Integrin beta-3-binding protein; Nuclear receptor-interacting factor 3; ITGB3BP; CENPR; NRIF3; anti-ITGB3BP antibody
Host
Rabbit
Reactivity
Human
Clonality
Polyclonal
Isotype
IgG
Purity/Purification
Antigen Affinity Purified
Form/Format
Liquid
Sequence Length
216
Applicable Applications for anti-ITGB3BP antibody
IHC (Immunohistochemistry), ELISA
Species
Human
Immunogen
Recombinant human Centromere protein R protein (1-177AA)
Conjugate
Non-conjugated
Buffer
PBS with 0.02% sodium azide, 50% glycerol, pH7.3.
Santa Cruz Alternative
Potential replacement for Santa Cruz Biotechnology antibody catalog# sc-69249 / sc-69251
Preparation and Storage
Shipped at 4 degree C. Upon delivery aliquot and store at -20 degree C or -80 degree C. Avoid repeated freeze.
Related Product Information for anti-ITGB3BP antibody
Transcription coregulator that can have both coactivator and corepressor functions. Isoform 1, but not other isoforms, is involved in the coactivation of nuclear receptors for retinoid X (RXRs) and thyroid hormone (TRs) in a ligand-dependent fashion. In contrast, it does not coactivate nuclear receptors for retinoic acid, vitamin D, progesterone receptor, nor glucocorticoid. Acts as a coactivator for estrogen receptor alpha. Acts as a transcriptional corepressor via its interaction with the NFKB1 NF-kappa-B subunit, possibly by interfering with the transactivation domain of NFKB1. Induces apoptosis in breast cancer cells, but not in other cancer cells, via a caspase-2 mediated pathway that involves mitochondrial membrane permeabilization but does not require other caspases. May also act as an inhibitor of cyclin A-associated kinase. Also acts a component of the CENPA-CAD (nucleosome distal) complex, a complex recruited to centromeres which is involved in assembly of kinetochore proteins, mitotic progression and chromosome segregation. May be involved in incorporation of newly synthesized CENPA into centromeres via its interaction with the CENPA-NAC complex.
NCBI and Uniprot Product Information
NCBI GI #
NCBI GeneID
NCBI Accession #
NCBI GenBank Nucleotide #
Molecular Weight
24,729 Da
NCBI Official Full Name
centromere protein R isoform 1
NCBI Official Synonym Full Names
integrin subunit beta 3 binding protein
NCBI Official Symbol
ITGB3BP
NCBI Official Synonym Symbols
CENPR; NRIF3; TAP20; CENP-R; HSU37139
NCBI Protein Information
centromere protein R
UniProt Protein Name
Centromere protein R
UniProt Gene Name
ITGB3BP
UniProt Synonym Gene Names
CENPR; NRIF3; CENP-R
UniProt Entry Name
CENPR_HUMAN
Customer Reviews
Loading reviews...
Share Your Experience
Similar Products
Product Notes
The ITGB3BP itgb3bp (Catalog #AAA231601) is an Antibody produced from Rabbit and is intended for research purposes only. The product is available for immediate purchase. The ITGB3BP Antibody reacts with Human and may cross-react with other species as described in the data sheet. AAA Biotech's ITGB3BP can be used in a range of immunoassay formats including, but not limited to, IHC (Immunohistochemistry), ELISA. Researchers should empirically determine the suitability of the ITGB3BP itgb3bp for an application not listed in the data sheet. Researchers commonly develop new applications and it is an integral, important part of the investigative research process. It is sometimes possible for the material contained within the vial of "ITGB3BP, Polyclonal Antibody" to become dispersed throughout the inside of the vial, particularly around the seal of said vial, during shipment and storage. We always suggest centrifuging these vials to consolidate all of the liquid away from the lid and to the bottom of the vial prior to opening. Please be advised that certain products may require dry ice for shipping and that, if this is the case, an additional dry ice fee may also be required.Precautions
All products in the AAA Biotech catalog are strictly for research-use only, and are absolutely not suitable for use in any sort of medical, therapeutic, prophylactic, in-vivo, or diagnostic capacity. By purchasing a product from AAA Biotech, you are explicitly certifying that said products will be properly tested and used in line with industry standard. AAA Biotech and its authorized distribution partners reserve the right to refuse to fulfill any order if we have any indication that a purchaser may be intending to use a product outside of our accepted criteria.Disclaimer
Though we do strive to guarantee the information represented in this datasheet, AAA Biotech cannot be held responsible for any oversights or imprecisions. AAA Biotech reserves the right to adjust any aspect of this datasheet at any time and without notice. It is the responsibility of the customer to inform AAA Biotech of any product performance issues observed or experienced within 30 days of receipt of said product. To see additional details on this or any of our other policies, please see our Terms & Conditions page.Item has been added to Shopping Cart
If you are ready to order, navigate to Shopping Cart and get ready to checkout.
