Rabbit ITLN1 Polyclonal Antibody | anti-ITLN1 antibody
Anti-ITLN1 Antibody
No cross reactivity with other proteins.
No cross reactivity with other proteins.
IHC (Immunohiostchemistry)
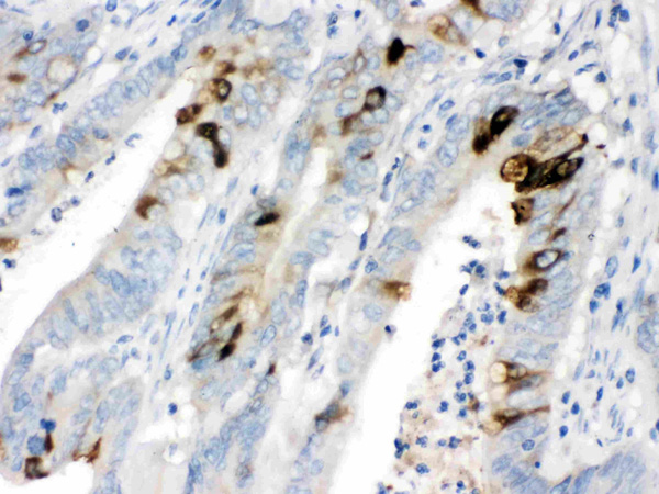
(ITLN1 was detected in paraffin-embedded sections of human intestinal cancer tissues using rabbit anti- ITLN1 Antigen Affinity purified polyclonal antibody at 1ug/mL. The immunohistochemical section was developed using SABC method.)
WB (Western Blot)
(Western blot analysis of ITLN1 expression in SW620 whole cell lysates (lane 1). ITLN1 at 43KD was detected using rabbit anti- ITLN1 Antigen Affinity purified polyclonal antibody at 0.5 ug/mL. The blot was developed using chemiluminescence (ECL) method.)
Background: Intelectin-1, also known as omentin, is an intelectin encoded in humans by the ITLN1 gene. This gene is mapped to chromosome 1q21.3-q22 by genomic sequence analysis. It is expressed on multiple cell types and appears to participate in insulin signaling and microbe recognition. Intelectin-1 functions both as a receptor for bacterial arabinogalactans and for lactoferrin. Having conserved ligand binding site residues, both human and mouse intelectin-1 bind the exocyclic vicinal diol of carbohydrate ligands such as galactofuranose.
2. Lee JK, Schnee J, Pang M, Wolfert M, Baum LG, Moremen KW, Pierce M (Feb 2001). "Human homologs of the Xenopus oocyte cortical granule lectin XL35". Glycobiology 11 (1): 65-73.
3. Tsuji S, Uehori J, Matsumoto M, Suzuki Y, Matsuhisa A, Toyoshima K, Seya T (Jun 2001). "Human intelectin is a novel soluble lectin that recognizes galactofuranose in carbohydrate chains of bacterial cell wall". J Biol Chem 276 (26): 23456-63.
NCBI and Uniprot Product Information
Customer Reviews
Loading reviews...
Share Your Experience
Similar Products
Product Notes
The ITLN1 itln1 (Catalog #AAA46648) is an Antibody produced from Rabbit and is intended for research purposes only. The product is available for immediate purchase. The Anti-ITLN1 Antibody reacts with Human No cross reactivity with other proteins. and may cross-react with other species as described in the data sheet. AAA Biotech's ITLN1 can be used in a range of immunoassay formats including, but not limited to, IHC (Immunohistochemistry), WB (Western Blot). Researchers should empirically determine the suitability of the ITLN1 itln1 for an application not listed in the data sheet. Researchers commonly develop new applications and it is an integral, important part of the investigative research process. It is sometimes possible for the material contained within the vial of "ITLN1, Polyclonal Antibody" to become dispersed throughout the inside of the vial, particularly around the seal of said vial, during shipment and storage. We always suggest centrifuging these vials to consolidate all of the liquid away from the lid and to the bottom of the vial prior to opening. Please be advised that certain products may require dry ice for shipping and that, if this is the case, an additional dry ice fee may also be required.Precautions
All products in the AAA Biotech catalog are strictly for research-use only, and are absolutely not suitable for use in any sort of medical, therapeutic, prophylactic, in-vivo, or diagnostic capacity. By purchasing a product from AAA Biotech, you are explicitly certifying that said products will be properly tested and used in line with industry standard. AAA Biotech and its authorized distribution partners reserve the right to refuse to fulfill any order if we have any indication that a purchaser may be intending to use a product outside of our accepted criteria.Disclaimer
Though we do strive to guarantee the information represented in this datasheet, AAA Biotech cannot be held responsible for any oversights or imprecisions. AAA Biotech reserves the right to adjust any aspect of this datasheet at any time and without notice. It is the responsibility of the customer to inform AAA Biotech of any product performance issues observed or experienced within 30 days of receipt of said product. To see additional details on this or any of our other policies, please see our Terms & Conditions page.Item has been added to Shopping Cart
If you are ready to order, navigate to Shopping Cart and get ready to checkout.
