ITPR3 Polyclonal Antibody | anti-ITPR3 antibody
Anti-ITPR3 Antibody
IHC (Immunohistochemistry)
(Anti- ITPR3 Picoband antibody, AAA46275, IHC(P)IHC(P): Human Lung Cancer Tissue)
IHC (Immunohistochemisry)
(Anti- ITPR3 Picoband antibody, AAA46275, IHC(P)IHC(P): Rat Intestine Tissue)
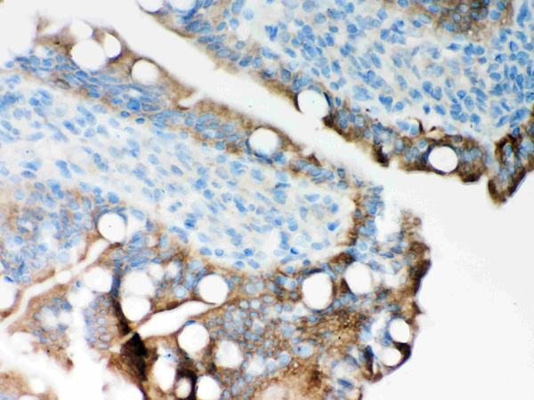
IHC (Immunohiostchemistry)
(Anti- ITPR3 Picoband antibody, AAA46275, IHC(P)IHC(P): Mouse Intestine Tissue)
WB (Western Blot)
(Anti- ITPR3 Picoband antibody, AAA46275, Western blottingAll lanes: Anti ITPR3 (AAA46275) at 0.5ug/mlLane 1: HELA Whole Cell Lysate at 40ugLane 2: SW620 Whole Cell Lysate at 40ugPredicted bind size: 304KDObserved bind size: 304KD)
Background: ITPR3 encodes a receptor for inositol 1,4,5-trisphosphate, a second messenger that mediates the release of intracellular calcium. The receptor contains a calcium channel at the C-terminus and the ligand-binding site at the N-terminus. Knockout studies in mice suggest that type 2 and type 3 inositol 1,4,5-trisphosphate receptors play a key role in exocrine secretion underlying energy metabolism and growth. ITP3 channels serve an important role in the taste transduction pathway of sweet, bitter and umami tastes the gustatory system. ITP3 channels allow the flow of Calcium out of the endoplasmic reticulum in response to IP3. Calcium cations result in the activation of TRPM5 which leads to a depolarisation generating potential and an action potential.
NCBI and Uniprot Product Information
Customer Reviews
Loading reviews...
Share Your Experience
Similar Products
Product Notes
The ITPR3 itpr3 (Catalog #AAA46275) is an Antibody and is intended for research purposes only. The product is available for immediate purchase. The Anti-ITPR3 Antibody reacts with Human, Mouse, Rat and may cross-react with other species as described in the data sheet. AAA Biotech's ITPR3 can be used in a range of immunoassay formats including, but not limited to, IHC (Immunohistochemistry), WB (Western Blot). Researchers should empirically determine the suitability of the ITPR3 itpr3 for an application not listed in the data sheet. Researchers commonly develop new applications and it is an integral, important part of the investigative research process. It is sometimes possible for the material contained within the vial of "ITPR3, Polyclonal Antibody" to become dispersed throughout the inside of the vial, particularly around the seal of said vial, during shipment and storage. We always suggest centrifuging these vials to consolidate all of the liquid away from the lid and to the bottom of the vial prior to opening. Please be advised that certain products may require dry ice for shipping and that, if this is the case, an additional dry ice fee may also be required.Precautions
All products in the AAA Biotech catalog are strictly for research-use only, and are absolutely not suitable for use in any sort of medical, therapeutic, prophylactic, in-vivo, or diagnostic capacity. By purchasing a product from AAA Biotech, you are explicitly certifying that said products will be properly tested and used in line with industry standard. AAA Biotech and its authorized distribution partners reserve the right to refuse to fulfill any order if we have any indication that a purchaser may be intending to use a product outside of our accepted criteria.Disclaimer
Though we do strive to guarantee the information represented in this datasheet, AAA Biotech cannot be held responsible for any oversights or imprecisions. AAA Biotech reserves the right to adjust any aspect of this datasheet at any time and without notice. It is the responsibility of the customer to inform AAA Biotech of any product performance issues observed or experienced within 30 days of receipt of said product. To see additional details on this or any of our other policies, please see our Terms & Conditions page.Item has been added to Shopping Cart
If you are ready to order, navigate to Shopping Cart and get ready to checkout.
