Rabbit JAK1 Polyclonal Antibody | anti-JAK1 antibody
JAK1 Antibody
Phosphate buffered saline, pH 7.4, 150mM NaCl, 0.02% sodium azide and 50% glycerol.
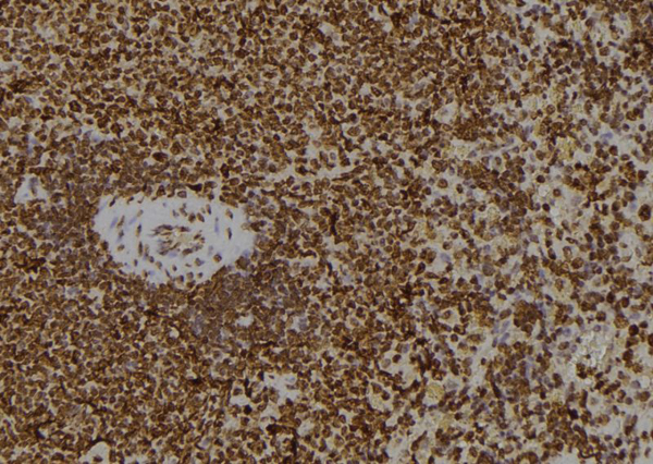
IHC (Immunohistochemistry)
(AAA321790 at 1/100 staining Rat spleen tissue by IHC-P. The sample was formaldehyde fixed and a heat mediated antigen retrieval step in citrate buffer was performed. The sample was then blocked and incubated with the antibody for 1.5 hours at 22 degree C. An HRP conjugated goat anti-rabbit antibody was used as the secondary.)
WB (Western Blot)
(Western blot analysis of JAK1 expression in EGF treated MCF7 whole cell lysates, The lane on the left is treated with the antigen-specific peptide.)
IHC (Immunohistochemisry)
(AAA321790 at 1/100 staining human breast carcinoma tissues sections by IHC-P. The tissue was formaldehyde fixed and a heat mediated antigen retrieval step in citrate buffer was performed. The tissue was then blocked and incubated with the antibody for 1.5 ho)
IF (Immunofluorescence)
(AAA321790 staining lovo cells by ICC/IF. Cells were fixed with PFA and permeabilized in 0.1% saponin prior to blocking in 10% serum for 45 minutes at 37 degree C. The primary antibody was diluted 1/400 and incubated with the sample for 1 hour at 37 degree C. A Alexa Fluor 594 conjugated goat polyclonal to rabbit IgG (H+L), diluted 1/600 was used as secondry antibody)
IF (Immunofluorescence)
(AAA321790 staining MCF7 by IF/ICC. The sample were fixed with PFA and permeabilized in 0.1% Triton X-100, then blocked in 10% serum for 45 minutes at 25 degree C. The primary antibody was diluted at 1/200 and incubated with the sample for 1 hour at 37 degree C. An Alexa Fluor 594 conjugated goat anti-rabbit IgG (H+L) Ab, diluted at 1/600, was used as the secondary antibody.)
Function: Tyrosine kinase of the non-receptor type, involved in the IFN-alpha/beta/gamma signal pathway (PubMed:7615558). Kinase partner for the interleukin (IL)-2 receptor (PubMed:11909529).
Subunit Structure: Interacts with IL31RA (PubMed:15194700). Interacts with IFNAR2 (PubMed:7759950). Interacts with IFNGR1 (PubMed:7615558). Interacts with JAKMIP1 (PubMed:15277531). Interacts with SHB (PubMed:12200137). Interacts with FER (By similarity).
Post-translational Modifications: Autophosphorylated (PubMed:7615558). Phosphorylated on tyrosine residues in response to interferon gamma signaling (PubMed:7615558). Dephosphorylation of Tyr-1034 and Tyr-1035 by PTPN2 negatively regulates cytokine-mediated signaling (PubMed:11909529). Ubiquitinated by RNF125; leading to its degradation by the proteasome.
Similarity: Possesses two phosphotransferase domains. The second one probably contains the catalytic domain, while the presence of slight differences suggest a different role for domain 1.The FERM domain mediates interaction with JAKMIP1. Belongs to the protein kinase superfamily. Tyr protein kinase family. JAK subfamily.
NCBI and Uniprot Product Information
Predicted: 134 kDa
Customer Reviews
Loading reviews...
Share Your Experience
Similar Products
Product Notes
The JAK1 jak1 (Catalog #AAA321790) is an Antibody produced from Rabbit and is intended for research purposes only. The product is available for immediate purchase. The JAK1 Antibody reacts with Human, Mouse, Rat and may cross-react with other species as described in the data sheet. AAA Biotech's JAK1 can be used in a range of immunoassay formats including, but not limited to, ELISA, ICC (Immunocytochemistry), IF (Immunofluorescence), IHC (Immunohistochemistry), WB (Western Blot). Researchers should empirically determine the suitability of the JAK1 jak1 for an application not listed in the data sheet. Researchers commonly develop new applications and it is an integral, important part of the investigative research process. It is sometimes possible for the material contained within the vial of "JAK1, Polyclonal Antibody" to become dispersed throughout the inside of the vial, particularly around the seal of said vial, during shipment and storage. We always suggest centrifuging these vials to consolidate all of the liquid away from the lid and to the bottom of the vial prior to opening. Please be advised that certain products may require dry ice for shipping and that, if this is the case, an additional dry ice fee may also be required.Precautions
All products in the AAA Biotech catalog are strictly for research-use only, and are absolutely not suitable for use in any sort of medical, therapeutic, prophylactic, in-vivo, or diagnostic capacity. By purchasing a product from AAA Biotech, you are explicitly certifying that said products will be properly tested and used in line with industry standard. AAA Biotech and its authorized distribution partners reserve the right to refuse to fulfill any order if we have any indication that a purchaser may be intending to use a product outside of our accepted criteria.Disclaimer
Though we do strive to guarantee the information represented in this datasheet, AAA Biotech cannot be held responsible for any oversights or imprecisions. AAA Biotech reserves the right to adjust any aspect of this datasheet at any time and without notice. It is the responsibility of the customer to inform AAA Biotech of any product performance issues observed or experienced within 30 days of receipt of said product. To see additional details on this or any of our other policies, please see our Terms & Conditions page.Item has been added to Shopping Cart
If you are ready to order, navigate to Shopping Cart and get ready to checkout.
