Rabbit JPH3 Polyclonal Antibody | anti-JPH3 antibody
JPH3 Antibody
Gene Names
JPH3; JP3; HDL2; JP-3; TNRC22; CAGL237
Reactivity
Human, Mouse, Rat
Applications
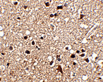
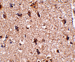
Immunohistochemistry, Western Blot, ELISA
Purity
Affinity chromatography purified via peptide column
Synonyms
JPH3, Antibody; JPH3 Antibody; Junctophilin 3, JP3, JP-3, TNRC22, HDL2; anti-JPH3 antibody
Host
Rabbit
Reactivity
Human, Mouse, Rat
Clonality
Polyclonal
Purity/Purification
Affinity chromatography purified via peptide column
Form/Format
Supplied in PBS containing 0.02% sodium azide.
Sequence Length
748
Applicable Applications for anti-JPH3 antibody
IHC (Immunohistochemistry), WB (Western Blot), ELISA
Immunogen Type
Peptide
Immunogen Description
Raised against a 18 amino acid peptide near the carboxy terminus of human JPH3.
Target Name
JPH3
Preparation and Storage
Can be stored at -20 degree C, stable for one year. As with all antibodies care should be taken to avoid repeated freeze thaw cycles. Antibodies should not be exposed to prolonged high temperatures.
Related Product Information for anti-JPH3 antibody
Junctional complexes between the plasma membrane (PM) and endoplasmic/sarcoplasmic reticulum (ER/SR) are a common feature of all excitable cell types and mediate cross talk between cell surface and intracellular ion channels. Junctophilins (JPs) are important components of the junctional complexes. JPs are composed of a carboxy-terminal hydrophobic segment spanning the ER/SR membrane and a remaining cytoplasmic domain that shows specific affinity for the PM. Four JPs have been identified as tissue-specific subtypes derived from different genes: JPH1 is expressed in skeletal muscle, JPH2 is detected throughout all muscle cell types, and JPH3 and JPH4 are predominantly expressed in the brain. In the CNS, both JPH3 and JPH4 are expressed throughout neural sites and contribute to the subsurface cistern formation in neurons. Mice lacking both JPH3 and JPH4 subtypes exhibit serious symptoms such as impaired learning and memory and are accompanied by abnormal nervous functions. A repeat expansion in JPH3 is associated with Huntington disease-like 2. At least two isoforms of JPH3 are known to exist.
Product Categories/Family for anti-JPH3 antibody
NCBI and Uniprot Product Information
NCBI GI #
NCBI GeneID
NCBI Accession #
NCBI GenBank Nucleotide #
Molecular Weight
19,766 Da
NCBI Official Full Name
junctophilin-3 isoform 1
NCBI Official Synonym Full Names
junctophilin 3
NCBI Official Symbol
JPH3
NCBI Official Synonym Symbols
JP3; HDL2; JP-3; TNRC22; CAGL237
NCBI Protein Information
junctophilin-3
UniProt Protein Name
Junctophilin-3
UniProt Gene Name
JPH3
UniProt Synonym Gene Names
JP3; TNRC22; JP-3
UniProt Entry Name
JPH3_HUMAN
Customer Reviews
Loading reviews...
Share Your Experience
Similar Products
Product Notes
The JPH3 jph3 (Catalog #AAA306849) is an Antibody produced from Rabbit and is intended for research purposes only. The product is available for immediate purchase. The JPH3 Antibody reacts with Human, Mouse, Rat and may cross-react with other species as described in the data sheet. AAA Biotech's JPH3 can be used in a range of immunoassay formats including, but not limited to, IHC (Immunohistochemistry), WB (Western Blot), ELISA. Researchers should empirically determine the suitability of the JPH3 jph3 for an application not listed in the data sheet. Researchers commonly develop new applications and it is an integral, important part of the investigative research process. It is sometimes possible for the material contained within the vial of "JPH3, Polyclonal Antibody" to become dispersed throughout the inside of the vial, particularly around the seal of said vial, during shipment and storage. We always suggest centrifuging these vials to consolidate all of the liquid away from the lid and to the bottom of the vial prior to opening. Please be advised that certain products may require dry ice for shipping and that, if this is the case, an additional dry ice fee may also be required.Precautions
All products in the AAA Biotech catalog are strictly for research-use only, and are absolutely not suitable for use in any sort of medical, therapeutic, prophylactic, in-vivo, or diagnostic capacity. By purchasing a product from AAA Biotech, you are explicitly certifying that said products will be properly tested and used in line with industry standard. AAA Biotech and its authorized distribution partners reserve the right to refuse to fulfill any order if we have any indication that a purchaser may be intending to use a product outside of our accepted criteria.Disclaimer
Though we do strive to guarantee the information represented in this datasheet, AAA Biotech cannot be held responsible for any oversights or imprecisions. AAA Biotech reserves the right to adjust any aspect of this datasheet at any time and without notice. It is the responsibility of the customer to inform AAA Biotech of any product performance issues observed or experienced within 30 days of receipt of said product. To see additional details on this or any of our other policies, please see our Terms & Conditions page.Item has been added to Shopping Cart
If you are ready to order, navigate to Shopping Cart and get ready to checkout.
