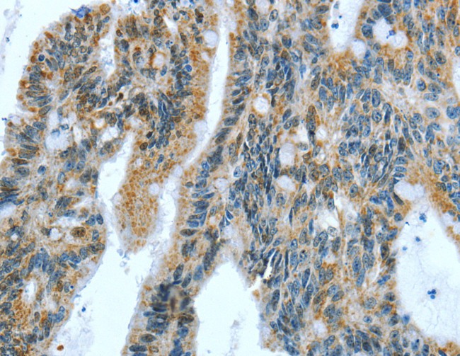
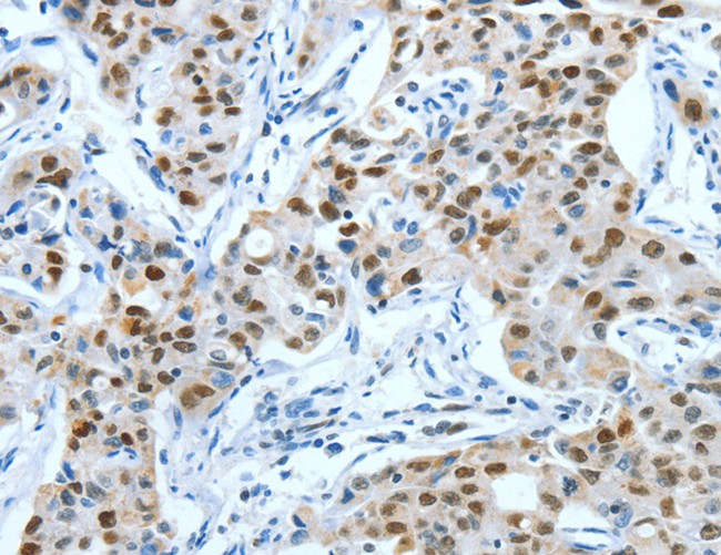
Rabbit JUN Polyclonal Antibody | anti-JUN antibody
JUN Polyclonal Antibody
Gene Names
JUN; AP1; AP-1; c-Jun
Reactivity
Human, Mouse, Rat
Applications
Immunohistochemistry, ELISA
Purity
Antigen affinity purification
Synonyms
JUN, Antibody; JUN Polyclonal Antibody; AP1; AP-1; c-Jun; anti-JUN antibody
Host
Rabbit
Reactivity
Human, Mouse, Rat
Clonality
Polyclonal
Isotype
IgG
Purity/Purification
Antigen affinity purification
Concentration
1.1mg/mL (varies by lot)
Sequence Length
331
Applicable Applications for anti-JUN antibody
IHC (Immunohistochemistry), ELISA
Immunogen
Recombinant protein of human JUN
Buffer
PBS with 0.05% sodium azide, 50% glycerol, pH7.3
Preparation and Storage
Store at -20 degree C (regular) and -80 degree C (long term). Avoid freeze / thaw cycles.
Related Product Information for anti-JUN antibody
This gene is the putative transforming gene of avian sarcoma virus 17. It encodes a protein which is highly similar to the viral protein, and which interacts directly with specific target DNA sequences to regulate gene expression. This gene is intronless and is mapped to 1p32-p31, a chromosomal region involved in both translocations and deletions in human malignancies.
Product Categories/Family for anti-JUN antibody
NCBI and Uniprot Product Information
NCBI GI #
NCBI GeneID
Molecular Weight
35,676 Da
NCBI Official Full Name
JUN
NCBI Official Synonym Full Names
jun proto-oncogene
NCBI Official Symbol
JUN
NCBI Official Synonym Symbols
AP1; AP-1; c-Jun
NCBI Protein Information
transcription factor AP-1; Jun activation domain binding protein; activator protein 1; enhancer-binding protein AP1; jun oncogene; p39; proto-oncogene c-Jun; v-jun avian sarcoma virus 17 oncogene homolog; v-jun sarcoma virus 17 oncogene homolog
UniProt Protein Name
Transcription factor AP-1
UniProt Gene Name
JUN
UniProt Synonym Gene Names
AP1
UniProt Entry Name
JUN_HUMAN
Similar Products
Product Notes
The JUN jun (Catalog #AAA170504) is an Antibody produced from Rabbit and is intended for research purposes only. The product is available for immediate purchase. The JUN Polyclonal Antibody reacts with Human, Mouse, Rat and may cross-react with other species as described in the data sheet. AAA Biotech's JUN can be used in a range of immunoassay formats including, but not limited to, IHC (Immunohistochemistry), ELISA. Researchers should empirically determine the suitability of the JUN jun for an application not listed in the data sheet. Researchers commonly develop new applications and it is an integral, important part of the investigative research process. It is sometimes possible for the material contained within the vial of "JUN, Polyclonal Antibody" to become dispersed throughout the inside of the vial, particularly around the seal of said vial, during shipment and storage. We always suggest centrifuging these vials to consolidate all of the liquid away from the lid and to the bottom of the vial prior to opening. Please be advised that certain products may require dry ice for shipping and that, if this is the case, an additional dry ice fee may also be required.Precautions
All products in the AAA Biotech catalog are strictly for research-use only, and are absolutely not suitable for use in any sort of medical, therapeutic, prophylactic, in-vivo, or diagnostic capacity. By purchasing a product from AAA Biotech, you are explicitly certifying that said products will be properly tested and used in line with industry standard. AAA Biotech and its authorized distribution partners reserve the right to refuse to fulfill any order if we have any indication that a purchaser may be intending to use a product outside of our accepted criteria.Disclaimer
Though we do strive to guarantee the information represented in this datasheet, AAA Biotech cannot be held responsible for any oversights or imprecisions. AAA Biotech reserves the right to adjust any aspect of this datasheet at any time and without notice. It is the responsibility of the customer to inform AAA Biotech of any product performance issues observed or experienced within 30 days of receipt of said product. To see additional details on this or any of our other policies, please see our Terms & Conditions page.Item has been added to Shopping Cart
If you are ready to order, navigate to Shopping Cart and get ready to checkout.
