Rabbit JunB Polyclonal Antibody | anti-JunB antibody
JunB Antibody
Gene Names
RNASEH2A; AGS4; JUNB; RNHL; RNHIA; THSD8; RNASEHI
Applications
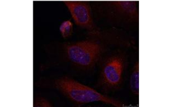
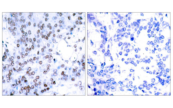
Immunofluorescence, Immunohistochemistry
Purity
Affinity Chromatography
Synonyms
JunB, Antibody; JunB Antibody; Rabbit Polyclonal JunB Antibody; Polyclonal JunB antibody; Anti-JunB antibody; activator protein 1 antibody; AP-1 antibody; jun B proto-oncogene antibody; JUNB antibody; Transcription factor jun-B antibody; anti-JunB antibody
Host
Rabbit
Clonality
Polyclonal
Isotype
IgG
Specificity
JunB antibody detects endogenous levels of total JunB protein
Purity/Purification
Affinity Chromatography
Form/Format
Supplied in PBS buffer (without Mg2+ and Ca2+), pH 7.4, 150mM NaCl, 0.02% Sodium Azide and 50% Glycerol
Concentration
1 mg/ml (varies by lot)
Sequence Length
299
Applicable Applications for anti-JunB antibody
IF (Immunofluorescence), IHC (Immunohistochemistry)
Immunogen
JunB antibody was raised in Rabbit using a synthesized non-phosphopeptide derived from human JunB around the phosphorylation site of serine 79 (G-A-SP-L-K) as the immunogen.
Cross-Reactivity
Mouse, Rat
Preparation and Storage
Store at -20 degree C in small aliquots. Avoid repeat freeze/thaw cycles.
Related Product Information for anti-JunB antibody
JunB is a basic region, leucine zipper (bZIP) transcription factor belonging to the Jun family that includes c-Jun and JunD. Jun family members homodimerize or heterodimerize with Fos and ATF proteins to form a functional transcription factor AP-1 (activator protein 1), whose activity is regulated by a variety of physiological and pathological stimuli such as growth factors, infections, and stress signals.
Product Categories/Family for anti-JunB antibody
NCBI and Uniprot Product Information
Customer Reviews
Loading reviews...
Share Your Experience
Similar Products
Product Notes
The JunB (Catalog #AAA226154) is an Antibody produced from Rabbit and is intended for research purposes only. The product is available for immediate purchase. AAA Biotech's JunB can be used in a range of immunoassay formats including, but not limited to, IF (Immunofluorescence), IHC (Immunohistochemistry). Researchers should empirically determine the suitability of the JunB for an application not listed in the data sheet. Researchers commonly develop new applications and it is an integral, important part of the investigative research process. It is sometimes possible for the material contained within the vial of "JunB, Polyclonal Antibody" to become dispersed throughout the inside of the vial, particularly around the seal of said vial, during shipment and storage. We always suggest centrifuging these vials to consolidate all of the liquid away from the lid and to the bottom of the vial prior to opening. Please be advised that certain products may require dry ice for shipping and that, if this is the case, an additional dry ice fee may also be required.Precautions
All products in the AAA Biotech catalog are strictly for research-use only, and are absolutely not suitable for use in any sort of medical, therapeutic, prophylactic, in-vivo, or diagnostic capacity. By purchasing a product from AAA Biotech, you are explicitly certifying that said products will be properly tested and used in line with industry standard. AAA Biotech and its authorized distribution partners reserve the right to refuse to fulfill any order if we have any indication that a purchaser may be intending to use a product outside of our accepted criteria.Disclaimer
Though we do strive to guarantee the information represented in this datasheet, AAA Biotech cannot be held responsible for any oversights or imprecisions. AAA Biotech reserves the right to adjust any aspect of this datasheet at any time and without notice. It is the responsibility of the customer to inform AAA Biotech of any product performance issues observed or experienced within 30 days of receipt of said product. To see additional details on this or any of our other policies, please see our Terms & Conditions page.Item has been added to Shopping Cart
If you are ready to order, navigate to Shopping Cart and get ready to checkout.
