Rabbit anti-Mouse Kallikrein 1 Polyclonal Antibody | anti-KLK1 antibody
Anti-Kallikrein 1 antibody
WB (Western Blot)
(Anti-Kallikrein 1 antibody, AAA45500,Western blottingAll lanes: Anti Kallikrein 1 (AAA45500) at 0.5ug/mlWB: Mouse Testis Tissue Lysate at 50ugPredicted bind size: 29KDObserved bind size: 29KD)
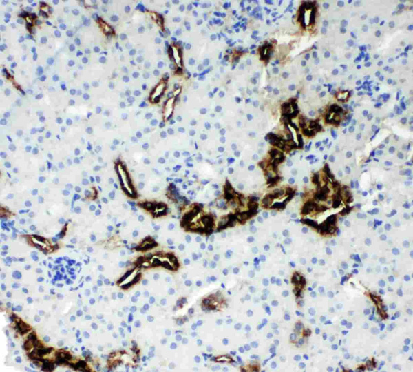
IHC (Immunohistochemistry)
(Anti-Kallikrein 1 antibody, AAA45500, IHC(P)IHC(P): Mouse Kidney Tissue)
Background: KLK1(KALLIKREIN 1), also called KLKR, is a protein that in humans is encoded by the KLK1 gene. KLK1 is a member of the peptidase S1 family. KLK1 is a serine protease that generates Lys-bradykinin by specific proteolysis of kininogen-1. The KLK1 gene is one of the fifteen kallikrein subfamily members located in a cluster on chromosome 19 and its exact cytogenetic location is 19q13.33. The KLK1 gene contains 5 coding exons. And KLK1 is the most centromeric gene in the cluster. Mice lacking tissue kallikrein are unable to generate significant levels of kinins in most tissues and develop cardiovascular abnormalities early in adulthood despite normal blood pressure. The protein is functionally conserved in its capacity to release the vasoactive peptide, Lys-bradykinin, from low molecular weight kininogen.
NCBI and Uniprot Product Information
Customer Reviews
Loading reviews...
Share Your Experience
Similar Products
Product Notes
The KLK1 klk1 (Catalog #AAA45500) is an Antibody produced from Rabbit and is intended for research purposes only. The product is available for immediate purchase. The Anti-Kallikrein 1 antibody reacts with Mouse and may cross-react with other species as described in the data sheet. AAA Biotech's Kallikrein 1 can be used in a range of immunoassay formats including, but not limited to, IHC (Immunohistochemistry), WB (Western Blot). Researchers should empirically determine the suitability of the KLK1 klk1 for an application not listed in the data sheet. Researchers commonly develop new applications and it is an integral, important part of the investigative research process. It is sometimes possible for the material contained within the vial of "Kallikrein 1, Polyclonal Antibody" to become dispersed throughout the inside of the vial, particularly around the seal of said vial, during shipment and storage. We always suggest centrifuging these vials to consolidate all of the liquid away from the lid and to the bottom of the vial prior to opening. Please be advised that certain products may require dry ice for shipping and that, if this is the case, an additional dry ice fee may also be required.Precautions
All products in the AAA Biotech catalog are strictly for research-use only, and are absolutely not suitable for use in any sort of medical, therapeutic, prophylactic, in-vivo, or diagnostic capacity. By purchasing a product from AAA Biotech, you are explicitly certifying that said products will be properly tested and used in line with industry standard. AAA Biotech and its authorized distribution partners reserve the right to refuse to fulfill any order if we have any indication that a purchaser may be intending to use a product outside of our accepted criteria.Disclaimer
Though we do strive to guarantee the information represented in this datasheet, AAA Biotech cannot be held responsible for any oversights or imprecisions. AAA Biotech reserves the right to adjust any aspect of this datasheet at any time and without notice. It is the responsibility of the customer to inform AAA Biotech of any product performance issues observed or experienced within 30 days of receipt of said product. To see additional details on this or any of our other policies, please see our Terms & Conditions page.Item has been added to Shopping Cart
If you are ready to order, navigate to Shopping Cart and get ready to checkout.
