Rabbit KANK2 Polyclonal Antibody | anti-KANK2 antibody
KANK2 Polyclonal Antibody
Gene Names
KANK2; SIP; MXRA3; ANKRD25
Reactivity
Human, Mouse, Rat
Applications
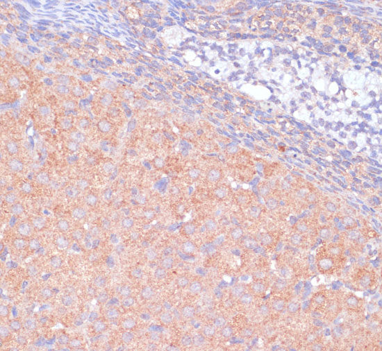
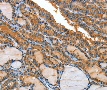
Immunohistochemistry
Purity
Affinity purification
Synonyms
KANK2, Antibody; KANK2 Polyclonal Antibody; KANK2; ANKRD25; MXRA3; PPKWH; SIP; anti-KANK2 antibody
Host
Rabbit
Reactivity
Human, Mouse, Rat
Clonality
Polyclonal
Isotype
IgG
Purity/Purification
Affinity purification
Form/Format
PBS with 0.02% sodium azide, 50% glycerol, pH7.3
Concentration
1mg/mL (varies by lot)
Applicable Applications for anti-KANK2 antibody
IHC (Immunohistochemistry)
Immunogen
Recombinant fusion protein of human KANK2 (NP_0011296631)
Conjugation
Unconjugated
Preparation and Storage
Store at -20 degree C. Avoid freeze/thaw cycles.
Related Product Information for anti-KANK2 antibody
This gene encodes a member of the KN motif and ankyrin repeat domains (KANK) family of proteins, which play a role in cytoskeletal formation by regulating actin polymerization. The encoded protein functions in the sequestration of steroid receptor coactivators and possibly other proteins. Mutations in this gene are associated with impaired kidney podocyte function and nephrotic syndrome, and keratoderma and woolly hair.
Product Categories/Family for anti-KANK2 antibody
NCBI and Uniprot Product Information
NCBI GI #
NCBI GeneID
NCBI Accession #
NCBI GenBank Nucleotide #
Molecular Weight
91,174 Da
NCBI Official Full Name
KN motif and ankyrin repeat domain-containing protein 2 isoform 2
NCBI Official Synonym Full Names
KN motif and ankyrin repeat domains 2
NCBI Official Symbol
KANK2
NCBI Official Synonym Symbols
SIP; MXRA3; ANKRD25
NCBI Protein Information
KN motif and ankyrin repeat domain-containing protein 2; SRC-interacting protein; SRC1-interacting protein; ankyrin repeat domain 25; SRC-1 interacting protein; SRC-1-interacting protein; matrix-remodelling associated 3; matrix-remodeling-associated prote
UniProt Protein Name
KN motif and ankyrin repeat domain-containing protein 2
UniProt Gene Name
KANK2
UniProt Synonym Gene Names
ANKRD25; KIAA1518; MXRA3; SIP; SIP; SRC-interacting protein
UniProt Entry Name
KANK2_HUMAN
Customer Reviews
Loading reviews...
Share Your Experience
Similar Products
Product Notes
The KANK2 kank2 (Catalog #AAA177271) is an Antibody produced from Rabbit and is intended for research purposes only. The product is available for immediate purchase. The KANK2 Polyclonal Antibody reacts with Human, Mouse, Rat and may cross-react with other species as described in the data sheet. AAA Biotech's KANK2 can be used in a range of immunoassay formats including, but not limited to, IHC (Immunohistochemistry). Researchers should empirically determine the suitability of the KANK2 kank2 for an application not listed in the data sheet. Researchers commonly develop new applications and it is an integral, important part of the investigative research process. It is sometimes possible for the material contained within the vial of "KANK2, Polyclonal Antibody" to become dispersed throughout the inside of the vial, particularly around the seal of said vial, during shipment and storage. We always suggest centrifuging these vials to consolidate all of the liquid away from the lid and to the bottom of the vial prior to opening. Please be advised that certain products may require dry ice for shipping and that, if this is the case, an additional dry ice fee may also be required.Precautions
All products in the AAA Biotech catalog are strictly for research-use only, and are absolutely not suitable for use in any sort of medical, therapeutic, prophylactic, in-vivo, or diagnostic capacity. By purchasing a product from AAA Biotech, you are explicitly certifying that said products will be properly tested and used in line with industry standard. AAA Biotech and its authorized distribution partners reserve the right to refuse to fulfill any order if we have any indication that a purchaser may be intending to use a product outside of our accepted criteria.Disclaimer
Though we do strive to guarantee the information represented in this datasheet, AAA Biotech cannot be held responsible for any oversights or imprecisions. AAA Biotech reserves the right to adjust any aspect of this datasheet at any time and without notice. It is the responsibility of the customer to inform AAA Biotech of any product performance issues observed or experienced within 30 days of receipt of said product. To see additional details on this or any of our other policies, please see our Terms & Conditions page.Item has been added to Shopping Cart
If you are ready to order, navigate to Shopping Cart and get ready to checkout.
