Rabbit KATNB1 Polyclonal Antibody | anti-KATNB1 antibody
KATNB1 Antibody
Gene Names
KATNB1; KAT; LIS6
Reactivity
Human, Mouse, RatPredicted: Pig, Zebrafish, Bovine, Horse, Sheep, Dog
Applications
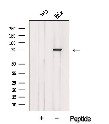
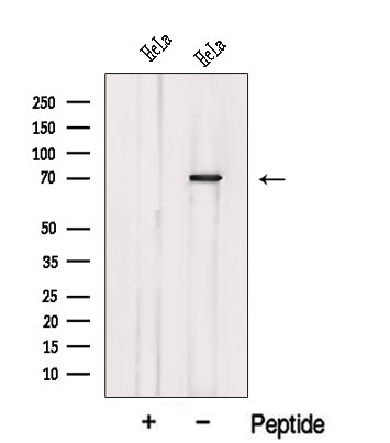
Western Blot
Purity
The antiserum was purified by peptide affinity chromatography using SulfoLink Coupling Resin (Thermo Fisher Scientific).
Synonyms
KATNB1, Antibody; KATNB1 Antibody; anti-KATNB1 antibody
Host
Rabbit
Reactivity
Human, Mouse, Rat
Predicted: Pig, Zebrafish, Bovine, Horse, Sheep, Dog
Predicted: Pig, Zebrafish, Bovine, Horse, Sheep, Dog
Clonality
Polyclonal
Isotype
IgG
Specificity
KATNB1 Antibody detects endogenous levels of KATNB1.
Purity/Purification
The antiserum was purified by peptide affinity chromatography using SulfoLink Coupling Resin (Thermo Fisher Scientific).
Form/Format
Liquid; Phosphate buffered saline, pH 7.4, 150mM NaCl, 0.02% sodium azide and 50% glycerol.
Concentration
1mg/ml (varies by lot)
Sequence Length
655
Applicable Applications for anti-KATNB1 antibody
WB (Western Blot)
Immunogen
A synthesized peptide derived from human KATNB1.
Fragment
Fab Fragment
Conjugate
Unconjugated
Subcellular Location
Cytoskeleton
Preparation and Storage
Store at -20 degree C. Stable for 12 months from date of receipt.
Related Product Information for anti-KATNB1 antibody
Description: Participates in a complex which severs microtubules in an ATP-dependent manner. May act to target the enzymatic subunit of this complex to sites of action such as the centrosome. Microtubule severing may promote rapid reorganization of cellular microtubule arrays and the release of microtubules from the centrosome following nucleation. Microtubule release from the mitotic spindle poles may allow depolymerization of the microtubule end proximal to the spindle pole, leading to poleward microtubule flux and poleward motion of chromosome. Microtubule release within the cell body of neurons may be required for their transport into neuronal processes by microtubule-dependent motor proteins. This transport is required for axonal growth.
Subunit Structure: Interacts with PAFAH1B1 (By similarity). Interacts with KATNA1 (PubMed:10751153, PubMed:26929214). This interaction enhances the microtubule binding and severing activity of KATNA1 and also targets this activity to the centrosome (PubMed:10751153). This interaction is weakly competed by KATNBL1 which has a lower affinity for it (PubMed:26929214). Interacts with ASPM; the katanin complex formation KATNA1:KATNB1 is required for the association of ASPM (By similarity). Interacts with dynein, microtubules and NDEL1 (PubMed:16203747). Interacts with KATNAL1; this interaction is weakly competed by KATNBL1 which has a lower affinity for it (PubMed:26929214). Interacts with CAMSAP2 and CAMSAP3; leading to regulate the length of CAMSAP-decorated microtubule stretches (PubMed:24486153).
Similarity: Belongs to the WD repeat KATNB1 family.
Subunit Structure: Interacts with PAFAH1B1 (By similarity). Interacts with KATNA1 (PubMed:10751153, PubMed:26929214). This interaction enhances the microtubule binding and severing activity of KATNA1 and also targets this activity to the centrosome (PubMed:10751153). This interaction is weakly competed by KATNBL1 which has a lower affinity for it (PubMed:26929214). Interacts with ASPM; the katanin complex formation KATNA1:KATNB1 is required for the association of ASPM (By similarity). Interacts with dynein, microtubules and NDEL1 (PubMed:16203747). Interacts with KATNAL1; this interaction is weakly competed by KATNBL1 which has a lower affinity for it (PubMed:26929214). Interacts with CAMSAP2 and CAMSAP3; leading to regulate the length of CAMSAP-decorated microtubule stretches (PubMed:24486153).
Similarity: Belongs to the WD repeat KATNB1 family.
NCBI and Uniprot Product Information
NCBI GI #
NCBI GeneID
NCBI Accession #
NCBI GenBank Nucleotide #
UniProt Accession #
Molecular Weight
Observed: 72 kDa
Predicted: 73 kDa
Predicted: 73 kDa
NCBI Official Full Name
katanin p80 WD40 repeat-containing subunit B1
NCBI Official Synonym Full Names
katanin regulatory subunit B1
NCBI Official Symbol
KATNB1
NCBI Official Synonym Symbols
KAT; LIS6
NCBI Protein Information
katanin p80 WD40 repeat-containing subunit B1
UniProt Protein Name
Katanin p80 WD40 repeat-containing subunit B1
UniProt Gene Name
KATNB1
UniProt Synonym Gene Names
Katanin p80 subunit B1
UniProt Entry Name
KTNB1_HUMAN
Customer Reviews
Loading reviews...
Share Your Experience
Similar Products
Product Notes
The KATNB1 katnb1 (Catalog #AAA328679) is an Antibody produced from Rabbit and is intended for research purposes only. The product is available for immediate purchase. The KATNB1 Antibody reacts with Human, Mouse, Rat Predicted: Pig, Zebrafish, Bovine, Horse, Sheep, Dog and may cross-react with other species as described in the data sheet. AAA Biotech's KATNB1 can be used in a range of immunoassay formats including, but not limited to, WB (Western Blot). Researchers should empirically determine the suitability of the KATNB1 katnb1 for an application not listed in the data sheet. Researchers commonly develop new applications and it is an integral, important part of the investigative research process. It is sometimes possible for the material contained within the vial of "KATNB1, Polyclonal Antibody" to become dispersed throughout the inside of the vial, particularly around the seal of said vial, during shipment and storage. We always suggest centrifuging these vials to consolidate all of the liquid away from the lid and to the bottom of the vial prior to opening. Please be advised that certain products may require dry ice for shipping and that, if this is the case, an additional dry ice fee may also be required.Precautions
All products in the AAA Biotech catalog are strictly for research-use only, and are absolutely not suitable for use in any sort of medical, therapeutic, prophylactic, in-vivo, or diagnostic capacity. By purchasing a product from AAA Biotech, you are explicitly certifying that said products will be properly tested and used in line with industry standard. AAA Biotech and its authorized distribution partners reserve the right to refuse to fulfill any order if we have any indication that a purchaser may be intending to use a product outside of our accepted criteria.Disclaimer
Though we do strive to guarantee the information represented in this datasheet, AAA Biotech cannot be held responsible for any oversights or imprecisions. AAA Biotech reserves the right to adjust any aspect of this datasheet at any time and without notice. It is the responsibility of the customer to inform AAA Biotech of any product performance issues observed or experienced within 30 days of receipt of said product. To see additional details on this or any of our other policies, please see our Terms & Conditions page.Item has been added to Shopping Cart
If you are ready to order, navigate to Shopping Cart and get ready to checkout.
