Rabbit KCNQ1 Polyclonal Antibody | anti-KCNQ1 antibody
KCNQ1 Antibody
Phosphate buffered saline, pH 7.4, 150mM NaCl, 0.02% sodium azide and 50% glycerol.
IHC (Immunohistochemistry)
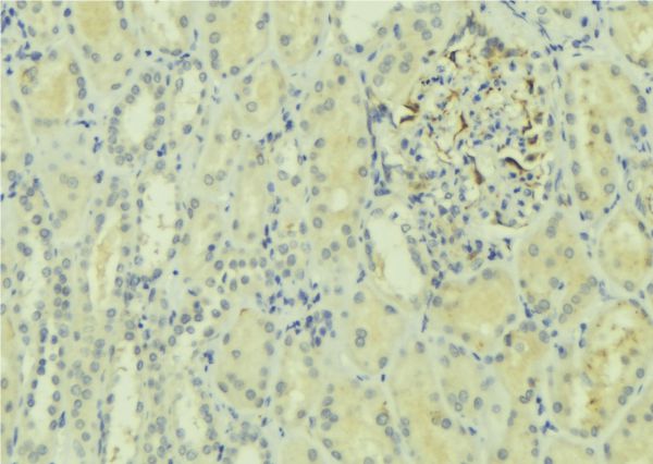
(AAA327227 at 1/100 staining Mouse kidney tissue by IHC-P. The sample was formaldehyde fixed and a heat mediated antigen retrieval step in citrate buffer was performed. The sample was then blocked and incubated with the antibody for 1.5 hours at 22 degree C. An HRP conjugated goat anti-rabbit antibody was used as the secondary.)
Subunit Structure: Tetramer (PubMed:18165683, PubMed:19693805). Heterotetramer with KCNE1; targets to the membrane raft (PubMed:25037568, PubMed:19693805, PubMed:20533308). Interacts (via C-terminus) with CALM; forms a heterotetramer in a calcium-independent manner (PubMed:18165683). Interacts with AKAP9; targets protein kinase A (PKA) catalytic and regulatory subunits and protein phosphatase 1 (PP1) to the KCNQ1-KCNE1 complex, allowing PKA-mediated phosphorylation and increase of delayed rectifier potassium channel activity (PubMed:11799244, PubMed:25037568). Interacts with KCNE2; forms a heterooligomer complex that targets to the membrane raft and leading to currents with an apparently instantaneous activation, a rapid deactivation process and a linear current-voltage relationship and decreases the amplitude of the outward current (PubMed:11101505, PubMed:20533308). Interacts with AP2M1; mediates estrogen-induced internalization via clathrin-coated vesicles (PubMed:23529131). Interacts with NEDD4L; promotes internalization and decreases I(Ks) currents (PubMed:23529131, PubMed:22024150). Interacts with USP2; counteracts the NEDD4L-specific down-regulation of I(Ks) and restore plasma membrane localization (PubMed:22024150). Heterotetramer with KCNQ5; has a voltage-gated potassium channel activity (PubMed:24855057). Interacts with KCNE3; alters membrane raft localization (PubMed:20533308). Interacts with KCNE4; impairs KCNQ1 localization in lipid rafts and inhibits voltage-gated potassium channel activity (PubMed:19687231, PubMed:20533308). Interacts with KCNE5; impairs KCNQ1 localization in lipid rafts and only conducts current upon strong and continued depolarization (PubMed:20533308, PubMed:12324418).
Post-translational Modifications: Phosphorylation at Ser-27 by PKA; increases delayed rectifier potassium channel activity of the KCNQ1-KCNE1 complex through a macromolecular complex that includes PKA, PP1, and the targeting protein AKAP9. Ubiquitinated by NEDD4L; promotes internalization (PubMed:22024150). The ubiquitinylated form is internalized through a clathrin-mediated endocytosis by interacting with AP2M1 and is recycled back to the cell membrane via RAB4A and RAB11A (PubMed:23529131).Deubiquitinated by USP2; counteracts the NEDD4L-specific down-regulation of I(Ks) and restores the membrane localization.
Similarity: The segment S4 is probably the voltage-sensor and is characterized by a series of positively charged amino acids at every third position.The coiled-coil domain mediates tetramerization.The segment S6 is involved in the inhibition of voltage-gated potassium channel activity by KCNE4.The C-terminal assembly domain promotes self-interactiona; allows functional channel. Belongs to the potassium channel family. KQT (TC 1.A.1.15) subfamily. Kv7.1/KCNQ1 sub-subfamily.
NCBI and Uniprot Product Information
Predicted: 75 kDa
Customer Reviews
Loading reviews...
Share Your Experience
Similar Products
Product Notes
The KCNQ1 kcnq1 (Catalog #AAA327227) is an Antibody produced from Rabbit and is intended for research purposes only. The product is available for immediate purchase. The KCNQ1 Antibody reacts with Human, Mouse, Rat and may cross-react with other species as described in the data sheet. AAA Biotech's KCNQ1 can be used in a range of immunoassay formats including, but not limited to, ELISA, IHC (Immunohistochemistry), WB (Western Blot). Researchers should empirically determine the suitability of the KCNQ1 kcnq1 for an application not listed in the data sheet. Researchers commonly develop new applications and it is an integral, important part of the investigative research process. It is sometimes possible for the material contained within the vial of "KCNQ1, Polyclonal Antibody" to become dispersed throughout the inside of the vial, particularly around the seal of said vial, during shipment and storage. We always suggest centrifuging these vials to consolidate all of the liquid away from the lid and to the bottom of the vial prior to opening. Please be advised that certain products may require dry ice for shipping and that, if this is the case, an additional dry ice fee may also be required.Precautions
All products in the AAA Biotech catalog are strictly for research-use only, and are absolutely not suitable for use in any sort of medical, therapeutic, prophylactic, in-vivo, or diagnostic capacity. By purchasing a product from AAA Biotech, you are explicitly certifying that said products will be properly tested and used in line with industry standard. AAA Biotech and its authorized distribution partners reserve the right to refuse to fulfill any order if we have any indication that a purchaser may be intending to use a product outside of our accepted criteria.Disclaimer
Though we do strive to guarantee the information represented in this datasheet, AAA Biotech cannot be held responsible for any oversights or imprecisions. AAA Biotech reserves the right to adjust any aspect of this datasheet at any time and without notice. It is the responsibility of the customer to inform AAA Biotech of any product performance issues observed or experienced within 30 days of receipt of said product. To see additional details on this or any of our other policies, please see our Terms & Conditions page.Item has been added to Shopping Cart
If you are ready to order, navigate to Shopping Cart and get ready to checkout.
