Rabbit KCTD13 Polyclonal Antibody | anti-KCTD13 antibody
KCTD13 antibody - N-terminal region
Gene Names
KCTD13; PDIP1; FKSG86; BACURD1; POLDIP1; hBACURD1
Reactivity
Cow, Dog, Human, Mouse, Rabbit, Rat
Applications
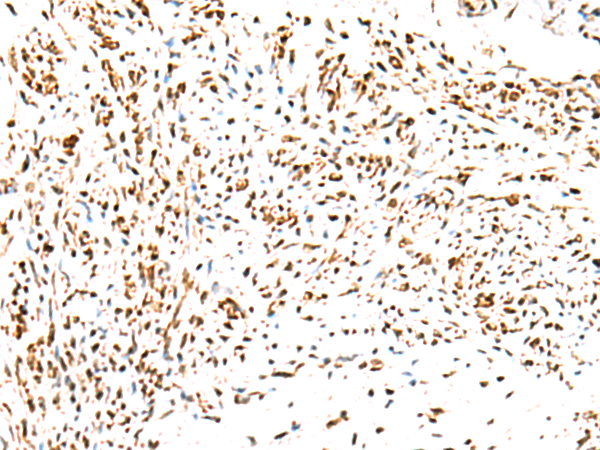
Western Blot, Immunohistochemistry
Purity
Affinity Purified
Synonyms
KCTD13, Antibody; KCTD13 antibody - N-terminal region; anti-KCTD13 antibody
Host
Rabbit
Reactivity
Cow, Dog, Human, Mouse, Rabbit, Rat
Clonality
Polyclonal
Purity/Purification
Affinity Purified
Form/Format
Liquid. Purified antibody supplied in 1x PBS buffer with 0.09% (w/v) sodium azide and 2% sucrose.
Sequence
Synthetic peptide located within the following region: PGPAAYGLKPLTPNSKYVKLNVGGSLHYTTLRTLTGQDTMLKAMFSGRVE
Sequence Length
329
Applicable Applications for anti-KCTD13 antibody
WB (Western Blot), IHC (Immunohistochemistry)
Homology
Cow: 93%; Dog: 100%; Human: 100%; Mouse: 93%; Rabbit: 100%; Rat: 93%
Immunogen
The immunogen is a synthetic peptide directed towards the N terminal region of human KCTD13
Preparation and Storage
For short term use, store at 2-8 degree C up to 1 week. For long term storage, store at -20 degree C in small aliquots to prevent freeze-thaw cycles.
Related Product Information for anti-KCTD13 antibody
This is a rabbit polyclonal antibody against KCTD13. It was validated on Western Blot and immunohistochemistry
Target Description: KCTD13 mRNA is expressed in 3T3-L1 adipocytes and THP-1 macrophages. It is suggested that this gene provides a link between cytokine activation and DNA replication in liver as well as in other tissues.
Target Description: KCTD13 mRNA is expressed in 3T3-L1 adipocytes and THP-1 macrophages. It is suggested that this gene provides a link between cytokine activation and DNA replication in liver as well as in other tissues.
Product Categories/Family for anti-KCTD13 antibody
NCBI and Uniprot Product Information
NCBI GI #
NCBI GeneID
NCBI Accession #
NCBI GenBank Nucleotide #
UniProt Accession #
Molecular Weight
36kDa
NCBI Official Full Name
BTB/POZ domain-containing adapter for CUL3-mediated RhoA degradation protein 1
NCBI Official Synonym Full Names
potassium channel tetramerization domain containing 13
NCBI Official Symbol
KCTD13
NCBI Official Synonym Symbols
PDIP1; FKSG86; BACURD1; POLDIP1; hBACURD1
NCBI Protein Information
BTB/POZ domain-containing adapter for CUL3-mediated RhoA degradation protein 1
UniProt Protein Name
BTB/POZ domain-containing adapter for CUL3-mediated RhoA degradation protein 1
UniProt Gene Name
KCTD13
UniProt Synonym Gene Names
BACURD1; PDIP1; POLDIP1; FKSG86; PP6832; hBACURD1
UniProt Entry Name
BACD1_HUMAN
Customer Reviews
Loading reviews...
Share Your Experience
Similar Products
Product Notes
The KCTD13 kctd13 (Catalog #AAA197990) is an Antibody produced from Rabbit and is intended for research purposes only. The product is available for immediate purchase. The KCTD13 antibody - N-terminal region reacts with Cow, Dog, Human, Mouse, Rabbit, Rat and may cross-react with other species as described in the data sheet. AAA Biotech's KCTD13 can be used in a range of immunoassay formats including, but not limited to, WB (Western Blot), IHC (Immunohistochemistry). Researchers should empirically determine the suitability of the KCTD13 kctd13 for an application not listed in the data sheet. Researchers commonly develop new applications and it is an integral, important part of the investigative research process. The amino acid sequence is listed below: Synthetic peptide located within the following region: PGPAAYGLKP LTPNSKYVKL NVGGSLHYTT LRTLTGQDTM LKAMFSGRVE. It is sometimes possible for the material contained within the vial of "KCTD13, Polyclonal Antibody" to become dispersed throughout the inside of the vial, particularly around the seal of said vial, during shipment and storage. We always suggest centrifuging these vials to consolidate all of the liquid away from the lid and to the bottom of the vial prior to opening. Please be advised that certain products may require dry ice for shipping and that, if this is the case, an additional dry ice fee may also be required.Precautions
All products in the AAA Biotech catalog are strictly for research-use only, and are absolutely not suitable for use in any sort of medical, therapeutic, prophylactic, in-vivo, or diagnostic capacity. By purchasing a product from AAA Biotech, you are explicitly certifying that said products will be properly tested and used in line with industry standard. AAA Biotech and its authorized distribution partners reserve the right to refuse to fulfill any order if we have any indication that a purchaser may be intending to use a product outside of our accepted criteria.Disclaimer
Though we do strive to guarantee the information represented in this datasheet, AAA Biotech cannot be held responsible for any oversights or imprecisions. AAA Biotech reserves the right to adjust any aspect of this datasheet at any time and without notice. It is the responsibility of the customer to inform AAA Biotech of any product performance issues observed or experienced within 30 days of receipt of said product. To see additional details on this or any of our other policies, please see our Terms & Conditions page.Item has been added to Shopping Cart
If you are ready to order, navigate to Shopping Cart and get ready to checkout.
