Host
Rabbit
Reactivity
Human
Clonality
Polyclonal
Specificity
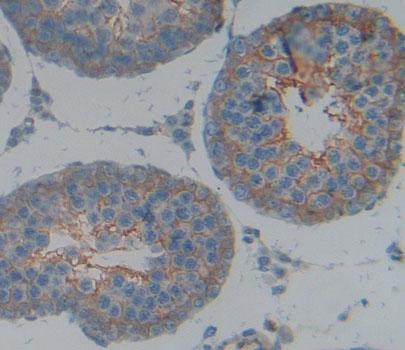
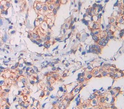
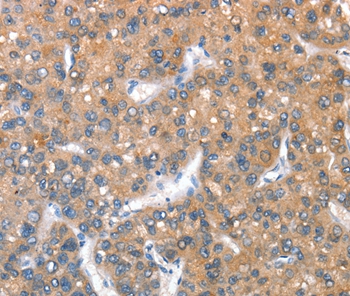
The antibody detects endogenous levels of total KEL protein.
Purity/Purification
Antigen affinity purification.
Form/Format
Rabbit IgG in pH7.3 PBS, 0.05% NaN3, 50% Glycerol.
Concentration
1.8 mg/ml (varies by lot)
Sequence Length
732
Applicable Applications for anti-KEL antibody
IHC (Immunohistochemistry)
Immunogen Type
Recombinant Protein
Immunogen Description
Fusion protein corresponding to residues near the C terminal of human Kell blood group, metallo-endopeptidase
Target Name
KEL
Preparation and Storage
Store at -20 degree C
Related Product Information for anti-KEL antibody
This gene encodes a type II transmembrane glycoprotein that is the highly polymorphic Kell blood group antigen. The Kell glycoprotein links via a single disulfide bond to the XK membrane protein that carries the Kx antigen. The encoded protein contains sequence and structural similarity to members of the neprilysin (M13) family of zinc endopeptidases.
Product Categories/Family for anti-KEL antibody
NCBI and Uniprot Product Information
NCBI GI #
NCBI GeneID
NCBI Accession #
NCBI GenBank Nucleotide #
Molecular Weight
82,824 Da
NCBI Official Full Name
kell blood group glycoprotein
NCBI Official Synonym Full Names
Kell blood group, metallo-endopeptidase
NCBI Official Symbol
KEL
NCBI Official Synonym Symbols
ECE3; CD238
NCBI Protein Information
kell blood group glycoprotein
UniProt Protein Name
Kell blood group glycoprotein
UniProt Gene Name
KEL
UniProt Entry Name
KELL_HUMAN
Customer Reviews
Loading reviews...
Share Your Experience
Similar Products
Product Notes
The KEL kel (Catalog #AAA304227) is an Antibody produced from Rabbit and is intended for research purposes only. The product is available for immediate purchase. The KEL Antibody reacts with Human and may cross-react with other species as described in the data sheet. AAA Biotech's KEL can be used in a range of immunoassay formats including, but not limited to, IHC (Immunohistochemistry). Researchers should empirically determine the suitability of the KEL kel for an application not listed in the data sheet. Researchers commonly develop new applications and it is an integral, important part of the investigative research process. It is sometimes possible for the material contained within the vial of "KEL, Polyclonal Antibody" to become dispersed throughout the inside of the vial, particularly around the seal of said vial, during shipment and storage. We always suggest centrifuging these vials to consolidate all of the liquid away from the lid and to the bottom of the vial prior to opening. Please be advised that certain products may require dry ice for shipping and that, if this is the case, an additional dry ice fee may also be required.Precautions
All products in the AAA Biotech catalog are strictly for research-use only, and are absolutely not suitable for use in any sort of medical, therapeutic, prophylactic, in-vivo, or diagnostic capacity. By purchasing a product from AAA Biotech, you are explicitly certifying that said products will be properly tested and used in line with industry standard. AAA Biotech and its authorized distribution partners reserve the right to refuse to fulfill any order if we have any indication that a purchaser may be intending to use a product outside of our accepted criteria.Disclaimer
Though we do strive to guarantee the information represented in this datasheet, AAA Biotech cannot be held responsible for any oversights or imprecisions. AAA Biotech reserves the right to adjust any aspect of this datasheet at any time and without notice. It is the responsibility of the customer to inform AAA Biotech of any product performance issues observed or experienced within 30 days of receipt of said product. To see additional details on this or any of our other policies, please see our Terms & Conditions page.Item has been added to Shopping Cart
If you are ready to order, navigate to Shopping Cart and get ready to checkout.
