Rabbit anti-Human KHDRBS3 Polyclonal Antibody | anti-KHDRBS3 antibody
KHDRBS3 Antibody
Gene Names
KHDRBS3; Etle; SALP; SLM2; SLM-2; TSTAR; T-STAR; etoile
Reactivity
Human
Applications
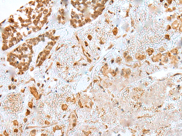
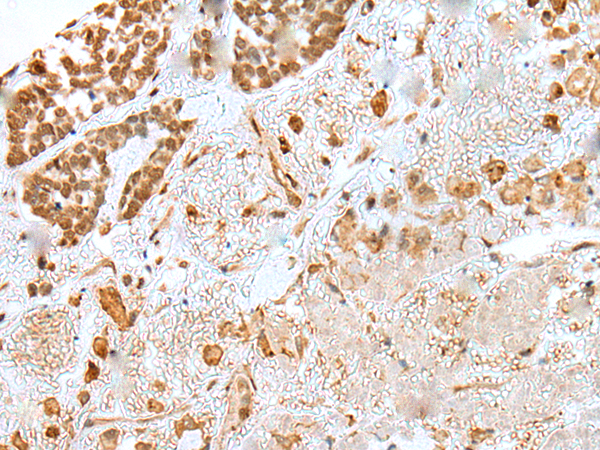
Immunohistochemistry
Purity
Antigen Affinity Purification
Synonyms
KHDRBS3, Antibody; KHDRBS3 Antibody; Etle; SALP; SLM2; SLM-2; TSTAR; T-STAR; etoile; anti-KHDRBS3 antibody
Host
Rabbit
Reactivity
Human
Clonality
Polyclonal
Specificity
The antibody detects endogenous levels of total KHDRBS3 protein.
Purity/Purification
Antigen Affinity Purification
Form/Format
Rabbit IgG in pH7.4 PBS, 0.05% NaN3, 40% Glycerol.
Concentration
0.8 mg/ml (varies by lot)
Sequence Length
346
Applicable Applications for anti-KHDRBS3 antibody
IHC (Immunohistochemistry)
Immunogen
Full length fusion protein of human KHDRBS3
Immunogen Type
Protein
Preparation and Storage
Store at -20 degree C
Related Product Information for anti-KHDRBS3 antibody
RNA-binding protein that plays a role in the regulation of alternative splicing and influences mRNA splice site selection and exon inclusion. May play a role as a negative regulator of cell growth. Inhibits cell proliferation. Involved in splice site selection of vascular endothelial growth factor.Induces an increased concentration-dependent incorporation of exon in CD44 pre-mRNA by direct binding to purine-rich exonic enhancer. RNA-binding abilities are down-regulated by tyrosine kinase PTK6. Involved in post-transcriptional regulation of HIV-1 gene expression. Binds preferentially to the 5'-[AU]UAAA-3' motif in vitro.
Product Categories/Family for anti-KHDRBS3 antibody
NCBI and Uniprot Product Information
NCBI GI #
NCBI GeneID
NCBI Accession #
NCBI GenBank Nucleotide #
Molecular Weight
30,250 Da
NCBI Official Full Name
KH domain-containing, RNA-binding, signal transduction-associated protein 3
NCBI Official Synonym Full Names
KH domain containing, RNA binding, signal transduction associated 3
NCBI Official Symbol
KHDRBS3
NCBI Official Synonym Symbols
Etle; SALP; SLM2; SLM-2; TSTAR; T-STAR; etoile
NCBI Protein Information
KH domain-containing, RNA-binding, signal transduction-associated protein 3
UniProt Protein Name
KH domain-containing, RNA-binding, signal transduction-associated protein 3
UniProt Gene Name
KHDRBS3
UniProt Synonym Gene Names
SALP; SLM2; SLM-2
UniProt Entry Name
KHDR3_HUMAN
Customer Reviews
Loading reviews...
Share Your Experience
Similar Products
Product Notes
The KHDRBS3 khdrbs3 (Catalog #AAA309123) is an Antibody produced from Rabbit and is intended for research purposes only. The product is available for immediate purchase. The KHDRBS3 Antibody reacts with Human and may cross-react with other species as described in the data sheet. AAA Biotech's KHDRBS3 can be used in a range of immunoassay formats including, but not limited to, IHC (Immunohistochemistry). Researchers should empirically determine the suitability of the KHDRBS3 khdrbs3 for an application not listed in the data sheet. Researchers commonly develop new applications and it is an integral, important part of the investigative research process. It is sometimes possible for the material contained within the vial of "KHDRBS3, Polyclonal Antibody" to become dispersed throughout the inside of the vial, particularly around the seal of said vial, during shipment and storage. We always suggest centrifuging these vials to consolidate all of the liquid away from the lid and to the bottom of the vial prior to opening. Please be advised that certain products may require dry ice for shipping and that, if this is the case, an additional dry ice fee may also be required.Precautions
All products in the AAA Biotech catalog are strictly for research-use only, and are absolutely not suitable for use in any sort of medical, therapeutic, prophylactic, in-vivo, or diagnostic capacity. By purchasing a product from AAA Biotech, you are explicitly certifying that said products will be properly tested and used in line with industry standard. AAA Biotech and its authorized distribution partners reserve the right to refuse to fulfill any order if we have any indication that a purchaser may be intending to use a product outside of our accepted criteria.Disclaimer
Though we do strive to guarantee the information represented in this datasheet, AAA Biotech cannot be held responsible for any oversights or imprecisions. AAA Biotech reserves the right to adjust any aspect of this datasheet at any time and without notice. It is the responsibility of the customer to inform AAA Biotech of any product performance issues observed or experienced within 30 days of receipt of said product. To see additional details on this or any of our other policies, please see our Terms & Conditions page.Item has been added to Shopping Cart
If you are ready to order, navigate to Shopping Cart and get ready to checkout.
