Rabbit KIDINS220 Polyclonal Antibody | anti-KIDINS220 antibody
KIDINS220 Antibody
Phosphate buffered saline, pH 7.4, 150mM NaCl, 0.02% sodium azide and 50% glycerol.
IHC (Immunohiostchemistry)
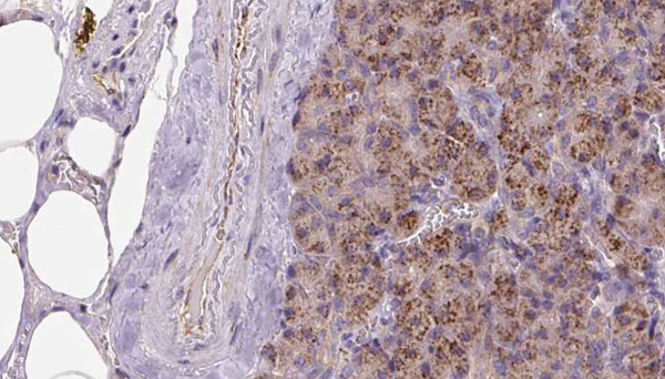
(AAA323239 at 1/100 staining Human pancreas cancer tissue by IHC-P. The sample was formaldehyde fixed and a heat mediated antigen retrieval step in citrate buffer was performed. The sample was then blocked and incubated with the antibody for 1.5 hours at 22 degree C. An HRP conjugated goat anti-rabbit antibody was used as the secondary.)
Subunit Structure: Found in a complex, at least composed of KIDINS220, MAGI2, NTRK1 and RAPGEF2; the complex is mainly formed at late endosomes in a nerve growth factor (NGF)-dependent manner. Interacts with RAPGEF2; the interaction is strengthened after NGF stimulation. Isoform 2 interacts (via C-terminal domain) with MAGI2 isoform 1 (via PDZ domain). Interacts with NTRK1, NTRK2, NTRK3, ERKL and NGFR. Can form a ternary complex with NGFR and NTRK1 and this complex is affected by the expression levels of KIDINS220/ARMS. An increase in KIDINS220/ARMS expression leads to a decreased association of NGFR and NTRK1. Interacts (via PDZ-binding motif) with SNTA1 and SNTB2 (via PDZ domains). Interacts with EPHA4 and PRKD1.
Post-translational Modifications: Tyrosine phosphorylated by NTRK1, NTRK2, EPHB2 and EPHA4. Phosphorylation at Ser-918 is induced by phorbol ester treatment. Phosphorylation by NTRK2 is induced by brain-derived neurotrophic factor (BDNF) and neurotrophin-4/5. Phosphorylation by NTRK1 is induced by nerve growth factor (NGF) (By similarity).
Similarity: The transmembrane domain mediates interaction with NTRK1.
NCBI and Uniprot Product Information
Predicted: 197 kDa
Customer Reviews
Loading reviews...
Share Your Experience
Similar Products
Product Notes
The KIDINS220 kidins220 (Catalog #AAA323239) is an Antibody produced from Rabbit and is intended for research purposes only. The product is available for immediate purchase. The KIDINS220 Antibody reacts with Human, Mouse, Rat and may cross-react with other species as described in the data sheet. AAA Biotech's KIDINS220 can be used in a range of immunoassay formats including, but not limited to, IHC (Immunohistochemistry), WB (Western Blot). Researchers should empirically determine the suitability of the KIDINS220 kidins220 for an application not listed in the data sheet. Researchers commonly develop new applications and it is an integral, important part of the investigative research process. It is sometimes possible for the material contained within the vial of "KIDINS220, Polyclonal Antibody" to become dispersed throughout the inside of the vial, particularly around the seal of said vial, during shipment and storage. We always suggest centrifuging these vials to consolidate all of the liquid away from the lid and to the bottom of the vial prior to opening. Please be advised that certain products may require dry ice for shipping and that, if this is the case, an additional dry ice fee may also be required.Precautions
All products in the AAA Biotech catalog are strictly for research-use only, and are absolutely not suitable for use in any sort of medical, therapeutic, prophylactic, in-vivo, or diagnostic capacity. By purchasing a product from AAA Biotech, you are explicitly certifying that said products will be properly tested and used in line with industry standard. AAA Biotech and its authorized distribution partners reserve the right to refuse to fulfill any order if we have any indication that a purchaser may be intending to use a product outside of our accepted criteria.Disclaimer
Though we do strive to guarantee the information represented in this datasheet, AAA Biotech cannot be held responsible for any oversights or imprecisions. AAA Biotech reserves the right to adjust any aspect of this datasheet at any time and without notice. It is the responsibility of the customer to inform AAA Biotech of any product performance issues observed or experienced within 30 days of receipt of said product. To see additional details on this or any of our other policies, please see our Terms & Conditions page.Item has been added to Shopping Cart
If you are ready to order, navigate to Shopping Cart and get ready to checkout.
