Rabbit Kinesin 5A Polyclonal Antibody | anti-KIF5A antibody
Kinesin 5A Antibody
Predicted Reactivity: Pig(100%), Horse(88%), Sheep(100%), Rabbit(88%), Dog(100%)
Predicted Reactivity: Pig(100%), Horse(88%), Sheep(100%), Rabbit(88%), Dog(100%)
IHC (Immunohistochemistry)
(AAA329037 at 1/100 staining Mouse heart tissue by IHC-P. The sample was formaldehyde fixed and a heat mediated antigen retrieval step in citrate buffer was performed. The sample was then blocked and incubated with the primary antibody at 4°C overnight. An HRP conjugated anti-Rabbit antibody was used as the secondary antibody.)
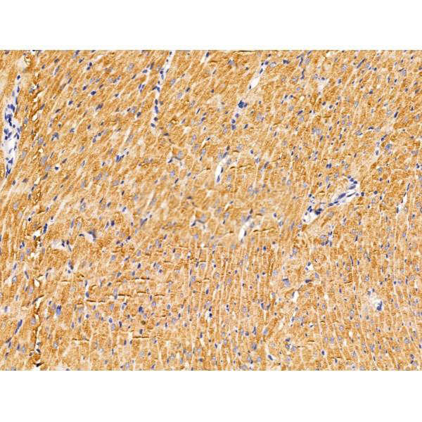
IHC (Immunohistochemistry)
(AAA329037 at 1/100 staining Mouse muscle tissue by IHC-P. The sample was formaldehyde fixed and a heat mediated antigen retrieval step in citrate buffer was performed. The sample was then blocked and incubated with the primary antibody at 4°C overnight. An HRP conjugated anti-Rabbit antibody was used as the secondary antibody.)
IHC (Immunohistochemisry)
(AAA329037 at 1/100 staining Rat heart tissue by IHC-P. The sample was formaldehyde fixed and a heat mediated antigen retrieval step in citrate buffer was performed. The sample was then blocked and incubated with the primary antibody at 4°C overnight. An HRP conjugated anti-Rabbit antibody was used as the secondary antibody.)
IHC (Immunohiostchemistry)
(AAA329037 at 1/100 staining Rat heart tissue by IHC-P. The sample was formaldehyde fixed and a heat mediated antigen retrieval step in citrate buffer was performed. The sample was then blocked and incubated with the primary antibody at 4°C overnight. An HRP conjugated anti-Rabbit antibody was used as the secondary antibody.)
WB (Western Blot)
(Western blot analysis of extracts from various samples, using Kinesin 5A Antibody.Lane 1: K562, treated with blocking peptide;Lane 2: K562;Lane 3: 3T3.Observed bands: 160 kDa.)
Subcellular Location: Cytoplasm>Perinuclear region. Cytoplasm>Cytoskeleton. Perikaryon. Note: Concentrated in the cell body of the neurons, particularly in the perinuclear region.
Tissue Specificity: Distributed throughout the CNS but is highly enriched in subsets of neurons.
Subunit Structure: Oligomer composed of two heavy chains and two light chains. Interacts with GRIP1. Interacts with FMR1 (via C-terminus); this interaction is increased in a mGluR-dependent manner. Interacts with ZFYVE27. Interacts with VAPA, VAPB, SURF4, RAB11A (GDP-bound form), RAB11B (GDP-bound form) and RTN3 in a ZFYVE27-dependent manner (By similarity). Interacts with BORCS5 (PubMed:25898167). Interacts with BICD2 (PubMed:20386726).
Similarity: Composed of three structural domains: a large globular N-terminal domain which is responsible for the motor activity of kinesin (it hydrolyzes ATP and binds microtubule), a central alpha-helical coiled coil domain that mediates the heavy chain dimerization; and a small globular C-terminal domain which interacts with other proteins (such as the kinesin light chains), vesicles and membranous organelles.Belongs to the TRAFAC class myosin-kinesin ATPase superfamily. Kinesin family. Kinesin subfamily.
NCBI and Uniprot Product Information
Predicted Molecular Weight: (Calculated)117kDa.
Customer Reviews
Loading reviews...
Share Your Experience
Similar Products
Product Notes
The KIF5A kif5a (Catalog #AAA329037) is an Antibody produced from Rabbit and is intended for research purposes only. The product is available for immediate purchase. The Kinesin 5A Antibody reacts with Human, Mouse, Rat Predicted Reactivity: Pig(100%), Horse(88%), Sheep(100%), Rabbit(88%), Dog(100%) and may cross-react with other species as described in the data sheet. AAA Biotech's Kinesin 5A can be used in a range of immunoassay formats including, but not limited to, ELISA. Researchers should empirically determine the suitability of the KIF5A kif5a for an application not listed in the data sheet. Researchers commonly develop new applications and it is an integral, important part of the investigative research process. It is sometimes possible for the material contained within the vial of "Kinesin 5A, Polyclonal Antibody" to become dispersed throughout the inside of the vial, particularly around the seal of said vial, during shipment and storage. We always suggest centrifuging these vials to consolidate all of the liquid away from the lid and to the bottom of the vial prior to opening. Please be advised that certain products may require dry ice for shipping and that, if this is the case, an additional dry ice fee may also be required.Precautions
All products in the AAA Biotech catalog are strictly for research-use only, and are absolutely not suitable for use in any sort of medical, therapeutic, prophylactic, in-vivo, or diagnostic capacity. By purchasing a product from AAA Biotech, you are explicitly certifying that said products will be properly tested and used in line with industry standard. AAA Biotech and its authorized distribution partners reserve the right to refuse to fulfill any order if we have any indication that a purchaser may be intending to use a product outside of our accepted criteria.Disclaimer
Though we do strive to guarantee the information represented in this datasheet, AAA Biotech cannot be held responsible for any oversights or imprecisions. AAA Biotech reserves the right to adjust any aspect of this datasheet at any time and without notice. It is the responsibility of the customer to inform AAA Biotech of any product performance issues observed or experienced within 30 days of receipt of said product. To see additional details on this or any of our other policies, please see our Terms & Conditions page.Item has been added to Shopping Cart
If you are ready to order, navigate to Shopping Cart and get ready to checkout.
