Rabbit Kinesin-like protein KIF2C Polyclonal Antibody | anti-KIF2C antibody
Anti-MCAK Antibody
Each vial contains 5mg BSA, 0.9mg NaCl, 0.2mg Na2HPO4, 0.05mg NaN3.
WB (Western Blot)
(Anti- MCAK antibody, AAA46072, Western blottingAll lanes: Anti MCAK (AAA46072) at 0.5ug/mlLane 1: Mouse Testis Tissue Lysate at 50ugLane 2: HELA Whole Cell Lysate at 40ugLane 3: MM231 Whole Cell Lysate at 40ugLane 4: MM453 Whole Cell Lysate at 40ugLane 5: SKOV Whole Cell Lysate at 40ugPredicted bind size: 81KDObserved bind size: 81KD)
WB (Western Blot)
(Anti- MCAK antibody, AAA46072, Western blottingAll lanes: Anti MCAK (AAA46072) at 0.5ug/mlWB: Recombinant Human MCAK Protein 0.5ngPredicted bind size: 48KDObserved bind size: 48KD)
Background: Kinesin-like protein KIF2C is a protein that in humans is encoded by the KIF2C gene. It is mapped to 1p34.1. The protein encoded by this gene is a member of kinesin-like protein family. Most proteins of this family are microtubule-dependent molecular motors that transport organelles within cells and move chromosomes during cell division. This protein acts to regulate microtubule dynamics in cells and is important for anaphase chromosome segregation and may be required to coordinate the onset of sister centromere separation. KIF2C uses microtubule depolymerizing activity to correct improper microtubule attachments at kinetochores.
NCBI and Uniprot Product Information
Customer Reviews
Loading reviews...
Share Your Experience
Similar Products
Product Notes
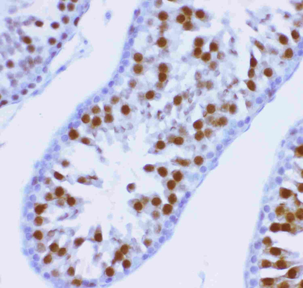
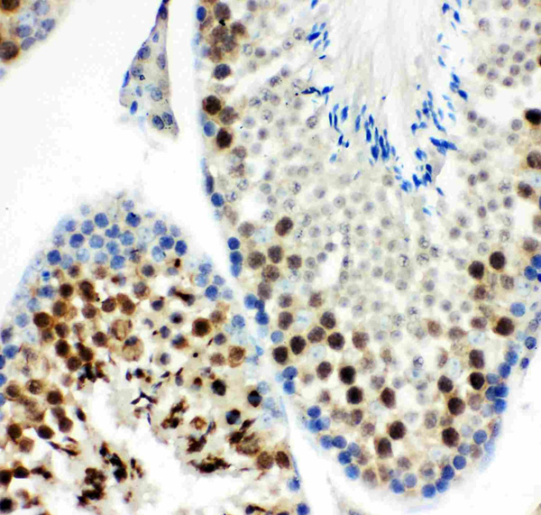
The KIF2C kif2c (Catalog #AAA46072) is an Antibody produced from Rabbit and is intended for research purposes only. The product is available for immediate purchase. The Anti-MCAK Antibody reacts with Human, Mouse, Rat. No cross reactivity with other proteins. and may cross-react with other species as described in the data sheet. AAA Biotech's Kinesin-like protein KIF2C can be used in a range of immunoassay formats including, but not limited to, IHC (Immunohistochemistry), WB (Western Blot). Researchers should empirically determine the suitability of the KIF2C kif2c for an application not listed in the data sheet. Researchers commonly develop new applications and it is an integral, important part of the investigative research process. It is sometimes possible for the material contained within the vial of "Kinesin-like protein KIF2C, Polyclonal Antibody" to become dispersed throughout the inside of the vial, particularly around the seal of said vial, during shipment and storage. We always suggest centrifuging these vials to consolidate all of the liquid away from the lid and to the bottom of the vial prior to opening. Please be advised that certain products may require dry ice for shipping and that, if this is the case, an additional dry ice fee may also be required.Precautions
All products in the AAA Biotech catalog are strictly for research-use only, and are absolutely not suitable for use in any sort of medical, therapeutic, prophylactic, in-vivo, or diagnostic capacity. By purchasing a product from AAA Biotech, you are explicitly certifying that said products will be properly tested and used in line with industry standard. AAA Biotech and its authorized distribution partners reserve the right to refuse to fulfill any order if we have any indication that a purchaser may be intending to use a product outside of our accepted criteria.Disclaimer
Though we do strive to guarantee the information represented in this datasheet, AAA Biotech cannot be held responsible for any oversights or imprecisions. AAA Biotech reserves the right to adjust any aspect of this datasheet at any time and without notice. It is the responsibility of the customer to inform AAA Biotech of any product performance issues observed or experienced within 30 days of receipt of said product. To see additional details on this or any of our other policies, please see our Terms & Conditions page.Item has been added to Shopping Cart
If you are ready to order, navigate to Shopping Cart and get ready to checkout.
