Rabbit anti-Human KIR2DS2 Polyclonal Antibody | anti-KIR2DS2 antibody
KIR2DS2 Antibody (Center)
FCM/FACS (Flow Cytometry)
(KIR2DS2 Antibody (Center) flow cytometric analysis of A2058 cells (right histogram) compared to a negative control cell (left histogram).FITC-conjugated goat-anti-rabbit secondary antibodies were used for the analysis.)
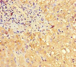
IHC (Immunohiostchemistry)
(KIR2DS2 Antibody (Center) immunohistochemistry analysis in formalin fixed and paraffin embedded human skin carcinoma followed by peroxidase conjugation of the secondary antibody and DAB staining. This data demonstrates the use of the KIR2DS2 Antibody (Center) for immunohistochemistry. Clinical relevance has not been evaluated.)
WB (Western Blot)
(KIR2DS2 Antibody (Center) western blot analysis in A2058 cell line lysates (35ug/lane).This demonstrates the KIR2DS2 antibody detected the KIR2DS2 protein (arrow).)
transmembrane glycoproteins expressed by natural killer cells and
subsets of T cells. The KIR genes are polymorphic and highly
homologous and they are found in a cluster on chromosome 19q13.4
within the 1 Mb leukocyte receptor complex (LRC). The gene content
of the KIR gene cluster varies among haplotypes, although several
'framework' genes are found in all haplotypes (KIR3DL3, KIR3DP1,
KIR3DL4, KIR3DL2). The KIR proteins are classified by the number of
extracellular immunoglobulin domains (2D or 3D) and by whether they
have a long (L) or short (S) cytoplasmic domain. KIR proteins with
the long cytoplasmic domain transduce inhibitory signals upon
ligand binding via an immune tyrosine-based inhibitory motif
(ITIM), while KIR proteins with the short cytoplasmic domain lack
the ITIM motif and instead associate with the TYRO protein tyrosine
kinase binding protein to transduce activating signals. The ligands
for several KIR proteins are subsets of HLA class I molecules;
thus, KIR proteins are thought to play an important role in
regulation of the immune response.
Dohring, C., et al. Immunogenetics 44(3):227-230(1996)
Wagtmann, N., et al. Immunity 2(5):439-449(1995)
Colonna, M., et al. Science 268(5209):405-408(1995)
NCBI and Uniprot Product Information
Customer Reviews
Loading reviews...
Share Your Experience
Similar Products
Product Notes
The KIR2DS2 kir2ds2 (Catalog #AAA289111) is an Antibody produced from Rabbit and is intended for research purposes only. The product is available for immediate purchase. The immunogen sequence is 39-65. The KIR2DS2 Antibody (Center) reacts with Human and may cross-react with other species as described in the data sheet. AAA Biotech's KIR2DS2 can be used in a range of immunoassay formats including, but not limited to, FCM/FACS (Flow Cytometry), IHC (Immunohistochemistry), ELISA, WB (Western Blot). Researchers should empirically determine the suitability of the KIR2DS2 kir2ds2 for an application not listed in the data sheet. Researchers commonly develop new applications and it is an integral, important part of the investigative research process. It is sometimes possible for the material contained within the vial of "KIR2DS2, Polyclonal Antibody" to become dispersed throughout the inside of the vial, particularly around the seal of said vial, during shipment and storage. We always suggest centrifuging these vials to consolidate all of the liquid away from the lid and to the bottom of the vial prior to opening. Please be advised that certain products may require dry ice for shipping and that, if this is the case, an additional dry ice fee may also be required.Precautions
All products in the AAA Biotech catalog are strictly for research-use only, and are absolutely not suitable for use in any sort of medical, therapeutic, prophylactic, in-vivo, or diagnostic capacity. By purchasing a product from AAA Biotech, you are explicitly certifying that said products will be properly tested and used in line with industry standard. AAA Biotech and its authorized distribution partners reserve the right to refuse to fulfill any order if we have any indication that a purchaser may be intending to use a product outside of our accepted criteria.Disclaimer
Though we do strive to guarantee the information represented in this datasheet, AAA Biotech cannot be held responsible for any oversights or imprecisions. AAA Biotech reserves the right to adjust any aspect of this datasheet at any time and without notice. It is the responsibility of the customer to inform AAA Biotech of any product performance issues observed or experienced within 30 days of receipt of said product. To see additional details on this or any of our other policies, please see our Terms & Conditions page.Item has been added to Shopping Cart
If you are ready to order, navigate to Shopping Cart and get ready to checkout.
