Rabbit anti-Human KLF15 Polyclonal Antibody | anti-KLF15 antibody
KLF15 Antibody
Gene Names
KLF15; KKLF
Reactivity
Human
Applications
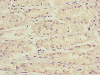
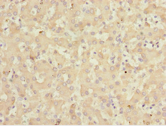
Immunohistochemistry, ELISA
Purity
Antigen Affinity Purified
Synonyms
KLF15, Antibody; KLF15 Antibody; Krueppel-like factor 15; Kidney-enriched krueppel-like factor; KLF15; KKLF; anti-KLF15 antibody
Host
Rabbit
Reactivity
Human
Clonality
Polyclonal
Isotype
IgG
Purity/Purification
Antigen Affinity Purified
Form/Format
Liquid
Sequence Length
416
Applicable Applications for anti-KLF15 antibody
IHC (Immunohistochemistry), ELISA
Species
Human
Immunogen
Recombinant human Krueppel-like factor 15 protein (N-260AA)
Conjugate
Non-conjugated
Buffer
PBS with 0.02% sodium azide, 50% glycerol, pH7.3.
Santa Cruz Alternative
Potential replacement for Santa Cruz Biotechnology antibody catalog# sc-34827 / sc-34826 / sc-34827 / sc-34826
Preparation and Storage
Shipped at 4 degree C. Upon delivery aliquot and store at -20 degree C or -80 degree C. Avoid repeated freeze.
Related Product Information for anti-KLF15 antibody
Transcriptional regulator that binds to the GA element of the CLCNKA promoter. Binds to the KCNIP2 promoter and regulates KCNIP2 circadian expression in the heart (By similarity). Is a repressor of CTGF expression, involved in the control of cardiac fibrosis. It is also involved in the control of cardiac hypertrophy acting through the inhibition of MEF2A and GATA4 (By similarity). Involved in podocyte differentiation (By similarity). Inhibits MYOCD activity. Is a negative regulator of TP53 acetylation. Inhibits NF-kappa-B activation through repression of EP300-dependent RELA acetylation.
NCBI and Uniprot Product Information
NCBI GI #
NCBI GeneID
NCBI Accession #
NCBI GenBank Nucleotide #
UniProt Accession #
Molecular Weight
43,992 Da
NCBI Official Full Name
Krueppel-like factor 15
NCBI Official Synonym Full Names
Kruppel like factor 15
NCBI Official Symbol
KLF15
NCBI Official Synonym Symbols
KKLF
NCBI Protein Information
Krueppel-like factor 15
UniProt Protein Name
Krueppel-like factor 15
UniProt Gene Name
KLF15
UniProt Synonym Gene Names
KKLF
UniProt Entry Name
KLF15_HUMAN
Customer Reviews
Loading reviews...
Share Your Experience
Similar Products
Product Notes
The KLF15 klf15 (Catalog #AAA231160) is an Antibody produced from Rabbit and is intended for research purposes only. The product is available for immediate purchase. The KLF15 Antibody reacts with Human and may cross-react with other species as described in the data sheet. AAA Biotech's KLF15 can be used in a range of immunoassay formats including, but not limited to, IHC (Immunohistochemistry), ELISA. Researchers should empirically determine the suitability of the KLF15 klf15 for an application not listed in the data sheet. Researchers commonly develop new applications and it is an integral, important part of the investigative research process. It is sometimes possible for the material contained within the vial of "KLF15, Polyclonal Antibody" to become dispersed throughout the inside of the vial, particularly around the seal of said vial, during shipment and storage. We always suggest centrifuging these vials to consolidate all of the liquid away from the lid and to the bottom of the vial prior to opening. Please be advised that certain products may require dry ice for shipping and that, if this is the case, an additional dry ice fee may also be required.Precautions
All products in the AAA Biotech catalog are strictly for research-use only, and are absolutely not suitable for use in any sort of medical, therapeutic, prophylactic, in-vivo, or diagnostic capacity. By purchasing a product from AAA Biotech, you are explicitly certifying that said products will be properly tested and used in line with industry standard. AAA Biotech and its authorized distribution partners reserve the right to refuse to fulfill any order if we have any indication that a purchaser may be intending to use a product outside of our accepted criteria.Disclaimer
Though we do strive to guarantee the information represented in this datasheet, AAA Biotech cannot be held responsible for any oversights or imprecisions. AAA Biotech reserves the right to adjust any aspect of this datasheet at any time and without notice. It is the responsibility of the customer to inform AAA Biotech of any product performance issues observed or experienced within 30 days of receipt of said product. To see additional details on this or any of our other policies, please see our Terms & Conditions page.Item has been added to Shopping Cart
If you are ready to order, navigate to Shopping Cart and get ready to checkout.
