Rabbit anti-Human KLHL38 Polyclonal Antibody | anti-KLHL38 antibody
KLHL38 Antibody
Gene Names
KLHL38; C8ORFK36
Reactivity
Human
Applications
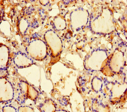
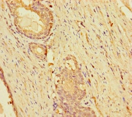
Immunohistochemistry, ELISA
Purity
>95%,Protein G purified
Synonyms
KLHL38, Antibody; KLHL38 Antibody; Kelch-like protein 38; KLHL38; C8orfK36; anti-KLHL38 antibody
Host
Rabbit
Reactivity
Human
Clonality
Polyclonal
Isotype
IgG
Purity/Purification
>95%,Protein G purified
Form/Format
Liquid
Sequence Length
581
Applicable Applications for anti-KLHL38 antibody
IHC (Immunohistochemistry), ELISA
Immunogen
Recombinant human Kelch-like protein 38 protein
Conjugation
Non-conjugated
Storage Buffer
Preservative: 0.03% Proclin 300 Constituents: 50% Glycerol, 0.01M PBS, PH 7.4
Preparation and Storage
Shipped at 4 degree C. Upon delivery, aliquot and store at -20 degree C or -80 degree C.
Related Product Information for anti-KLHL38 antibody
Cul3-RING ubiquitin ligase complex, protein ubiquitination
NCBI and Uniprot Product Information
NCBI GI #
NCBI GeneID
NCBI Accession #
NCBI GenBank Nucleotide #
Molecular Weight
65,541 Da
NCBI Official Full Name
kelch-like protein 38
NCBI Official Synonym Full Names
kelch like family member 38
NCBI Official Symbol
KLHL38
NCBI Official Synonym Symbols
C8ORFK36
NCBI Protein Information
kelch-like protein 38
UniProt Protein Name
Kelch-like protein 38
UniProt Gene Name
KLHL38
UniProt Synonym Gene Names
C8orfK36
UniProt Entry Name
KLH38_HUMAN
Customer Reviews
Loading reviews...
Share Your Experience
Similar Products
Product Notes
The KLHL38 klhl38 (Catalog #AAA229643) is an Antibody produced from Rabbit and is intended for research purposes only. The product is available for immediate purchase. The KLHL38 Antibody reacts with Human and may cross-react with other species as described in the data sheet. AAA Biotech's KLHL38 can be used in a range of immunoassay formats including, but not limited to, IHC (Immunohistochemistry), ELISA. Researchers should empirically determine the suitability of the KLHL38 klhl38 for an application not listed in the data sheet. Researchers commonly develop new applications and it is an integral, important part of the investigative research process. It is sometimes possible for the material contained within the vial of "KLHL38, Polyclonal Antibody" to become dispersed throughout the inside of the vial, particularly around the seal of said vial, during shipment and storage. We always suggest centrifuging these vials to consolidate all of the liquid away from the lid and to the bottom of the vial prior to opening. Please be advised that certain products may require dry ice for shipping and that, if this is the case, an additional dry ice fee may also be required.Precautions
All products in the AAA Biotech catalog are strictly for research-use only, and are absolutely not suitable for use in any sort of medical, therapeutic, prophylactic, in-vivo, or diagnostic capacity. By purchasing a product from AAA Biotech, you are explicitly certifying that said products will be properly tested and used in line with industry standard. AAA Biotech and its authorized distribution partners reserve the right to refuse to fulfill any order if we have any indication that a purchaser may be intending to use a product outside of our accepted criteria.Disclaimer
Though we do strive to guarantee the information represented in this datasheet, AAA Biotech cannot be held responsible for any oversights or imprecisions. AAA Biotech reserves the right to adjust any aspect of this datasheet at any time and without notice. It is the responsibility of the customer to inform AAA Biotech of any product performance issues observed or experienced within 30 days of receipt of said product. To see additional details on this or any of our other policies, please see our Terms & Conditions page.Item has been added to Shopping Cart
If you are ready to order, navigate to Shopping Cart and get ready to checkout.
