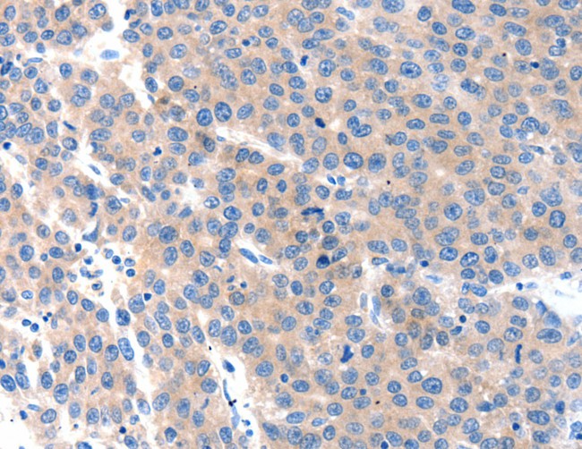
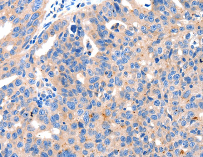
Rabbit KLK2 Polyclonal Antibody | anti-KLK2 antibody
KLK2 Polyclonal Antibody
Gene Names
KLK2; hK2; hGK-1; KLK2A2
Reactivity
Human, Mouse, Rat
Applications
Immunohistochemistry, ELISA
Purity
Antigen affinity purification
Synonyms
KLK2, Antibody; KLK2 Polyclonal Antibody; hK2, hGK-1, KLK2A2; anti-KLK2 antibody
Host
Rabbit
Reactivity
Human, Mouse, Rat
Clonality
Polyclonal
Isotype
IgG
Purity/Purification
Antigen affinity purification
Concentration
3.8mg/mL (varies by lot)
Sequence Length
159
Applicable Applications for anti-KLK2 antibody
IHC (Immunohistochemistry), ELISA
Immunogen
Synthetic peptide of human KLK2
Buffer
PBS with 0.05% sodium azide, 50% glycerol, pH7.3
Preparation and Storage
Store at -20 degree C (regular) and -80 degree C (long term). Avoid freeze / thaw cycles.
Related Product Information for anti-KLK2 antibody
This gene encodes a member of the grandular kallikrein protein family. Kallikreins are a subgroup of serine proteases that are clustered on chromosome 19. Members of this family are involved in a diverse array of biological functions. The protein encoded by this gene is a highly active trypsin-like serine protease that selectively cleaves at arginine residues. This protein is primarily expressed in prostatic tissue and is responsible for cleaving pro-prostate-specific antigen into its enzymatically active form. This gene is highly expressed in prostate tumor cells and may be a prognostic maker for prostate cancer risk. Alternate splicing results in both coding and non-coding transcript variants.
Product Categories/Family for anti-KLK2 antibody
NCBI and Uniprot Product Information
NCBI GI #
NCBI GeneID
NCBI Accession #
NCBI GenBank Nucleotide #
Molecular Weight
17,301 Da
NCBI Official Full Name
kallikrein-2 isoform 3
NCBI Official Synonym Full Names
kallikrein-related peptidase 2
NCBI Official Symbol
KLK2
NCBI Official Synonym Symbols
hK2; hGK-1; KLK2A2
NCBI Protein Information
kallikrein-2; glandular kallikrein 2; glandular kallikrein-1; kallikrein 2, prostatic; tissue kallikrein-2
UniProt Protein Name
Kallikrein-2
UniProt Gene Name
KLK2
UniProt Synonym Gene Names
hGK-1
UniProt Entry Name
KLK2_HUMAN
Customer Reviews
Loading reviews...
Share Your Experience
Similar Products
Product Notes
The KLK2 klk2 (Catalog #AAA169608) is an Antibody produced from Rabbit and is intended for research purposes only. The product is available for immediate purchase. The KLK2 Polyclonal Antibody reacts with Human, Mouse, Rat and may cross-react with other species as described in the data sheet. AAA Biotech's KLK2 can be used in a range of immunoassay formats including, but not limited to, IHC (Immunohistochemistry), ELISA. Researchers should empirically determine the suitability of the KLK2 klk2 for an application not listed in the data sheet. Researchers commonly develop new applications and it is an integral, important part of the investigative research process. It is sometimes possible for the material contained within the vial of "KLK2, Polyclonal Antibody" to become dispersed throughout the inside of the vial, particularly around the seal of said vial, during shipment and storage. We always suggest centrifuging these vials to consolidate all of the liquid away from the lid and to the bottom of the vial prior to opening. Please be advised that certain products may require dry ice for shipping and that, if this is the case, an additional dry ice fee may also be required.Precautions
All products in the AAA Biotech catalog are strictly for research-use only, and are absolutely not suitable for use in any sort of medical, therapeutic, prophylactic, in-vivo, or diagnostic capacity. By purchasing a product from AAA Biotech, you are explicitly certifying that said products will be properly tested and used in line with industry standard. AAA Biotech and its authorized distribution partners reserve the right to refuse to fulfill any order if we have any indication that a purchaser may be intending to use a product outside of our accepted criteria.Disclaimer
Though we do strive to guarantee the information represented in this datasheet, AAA Biotech cannot be held responsible for any oversights or imprecisions. AAA Biotech reserves the right to adjust any aspect of this datasheet at any time and without notice. It is the responsibility of the customer to inform AAA Biotech of any product performance issues observed or experienced within 30 days of receipt of said product. To see additional details on this or any of our other policies, please see our Terms & Conditions page.Item has been added to Shopping Cart
If you are ready to order, navigate to Shopping Cart and get ready to checkout.
