Rabbit KLK7 Polyclonal Antibody | anti-KLK7 antibody
KLK7 Polyclonal Antibody
Gene Names
KLK7; hK7; SCCE; PRSS6
Reactivity
Human, Mouse, Rat
Applications
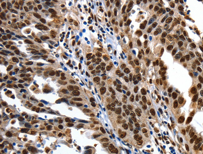
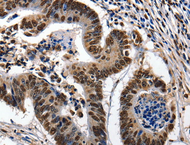
Immunohistochemistry, ELISA
Purity
Antigen affinity purification
Synonyms
KLK7, Antibody; KLK7 Polyclonal Antibody; hK7, SCCE, PRSS6; anti-KLK7 antibody
Host
Rabbit
Reactivity
Human, Mouse, Rat
Clonality
Polyclonal
Isotype
IgG
Purity/Purification
Antigen affinity purification
Concentration
1.6mg/mL (varies by lot)
Sequence Length
246
Applicable Applications for anti-KLK7 antibody
IHC (Immunohistochemistry), ELISA
Immunogen
Recombinant protein of human KLK7
Buffer
PBS with 0.05% sodium azide, 50% glycerol, pH7.3
Preparation and Storage
Store at -20 degree C (regular) and -80 degree C (long term). Avoid freeze / thaw cycles.
Related Product Information for anti-KLK7 antibody
This gene encodes a member of the kallikrein subfamily of serine proteases. These enzymes have diverse physiological functions and many kallikrein genes are biomarkers for cancer. The encoded protein has chymotrypsin-like activity and plays a role in the proteolysis of intercellular cohesive structures that precedes desquamation, the shedding of the outermost layer of the epidermis. The encoded protein may play a role in cancer invasion and metastasis, and increased expression of this gene is associated with unfavorable prognosis and progression of several types of cancer. Polymorphisms in this gene may play a role in the development of atopic dermatitis. Alternatively spliced transcript variants encoding multiple isoforms have been observed for this gene, which is one of fifteen kallikrein subfamily members located in a gene cluster on chromosome 19.
Product Categories/Family for anti-KLK7 antibody
NCBI and Uniprot Product Information
NCBI GI #
NCBI GeneID
NCBI Accession #
NCBI GenBank Nucleotide #
Molecular Weight
19,887 Da
NCBI Official Full Name
kallikrein-7 isoform 3
NCBI Official Synonym Full Names
kallikrein-related peptidase 7
NCBI Official Symbol
KLK7
NCBI Official Synonym Symbols
hK7; SCCE; PRSS6
NCBI Protein Information
kallikrein-7; kallikrein 7 (chymotryptic, stratum corneum); serine protease 6; signal protein; stratum corneum chymotryptic enzyme
UniProt Protein Name
Kallikrein-7
UniProt Gene Name
KLK7
UniProt Synonym Gene Names
PRSS6; SCCE; hK7; hSCCE
UniProt Entry Name
KLK7_HUMAN
Customer Reviews
Loading reviews...
Share Your Experience
Similar Products
Product Notes
The KLK7 klk7 (Catalog #AAA170336) is an Antibody produced from Rabbit and is intended for research purposes only. The product is available for immediate purchase. The KLK7 Polyclonal Antibody reacts with Human, Mouse, Rat and may cross-react with other species as described in the data sheet. AAA Biotech's KLK7 can be used in a range of immunoassay formats including, but not limited to, IHC (Immunohistochemistry), ELISA. Researchers should empirically determine the suitability of the KLK7 klk7 for an application not listed in the data sheet. Researchers commonly develop new applications and it is an integral, important part of the investigative research process. It is sometimes possible for the material contained within the vial of "KLK7, Polyclonal Antibody" to become dispersed throughout the inside of the vial, particularly around the seal of said vial, during shipment and storage. We always suggest centrifuging these vials to consolidate all of the liquid away from the lid and to the bottom of the vial prior to opening. Please be advised that certain products may require dry ice for shipping and that, if this is the case, an additional dry ice fee may also be required.Precautions
All products in the AAA Biotech catalog are strictly for research-use only, and are absolutely not suitable for use in any sort of medical, therapeutic, prophylactic, in-vivo, or diagnostic capacity. By purchasing a product from AAA Biotech, you are explicitly certifying that said products will be properly tested and used in line with industry standard. AAA Biotech and its authorized distribution partners reserve the right to refuse to fulfill any order if we have any indication that a purchaser may be intending to use a product outside of our accepted criteria.Disclaimer
Though we do strive to guarantee the information represented in this datasheet, AAA Biotech cannot be held responsible for any oversights or imprecisions. AAA Biotech reserves the right to adjust any aspect of this datasheet at any time and without notice. It is the responsibility of the customer to inform AAA Biotech of any product performance issues observed or experienced within 30 days of receipt of said product. To see additional details on this or any of our other policies, please see our Terms & Conditions page.Item has been added to Shopping Cart
If you are ready to order, navigate to Shopping Cart and get ready to checkout.
