Rabbit anti-Mouse, Rat KLRA2 Polyclonal Antibody | anti-KLRA2 antibody
KLRA2 Antibody
Reactivity
Mouse, Rat
Applications
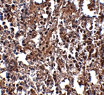
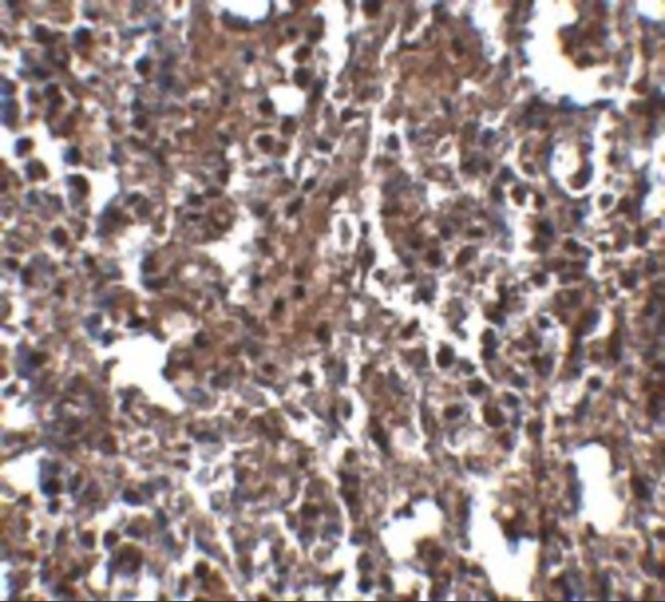
Immunohistochemistry, Western Blot, ELISA
Purity
Affinity chromatography purified via peptide column
Synonyms
KLRA2, Antibody; KLRA2 Antibody; Killer cell lectin-like receptor subfamily A member 2, Ly49B; anti-KLRA2 antibody
Host
Rabbit
Reactivity
Mouse, Rat
Clonality
Polyclonal
Purity/Purification
Affinity chromatography purified via peptide column
Form/Format
Supplied in PBS containing 0.02% sodium azide.
Sequence Length
288
Applicable Applications for anti-KLRA2 antibody
IHC (Immunohistochemistry), WB (Western Blot), ELISA
Immunogen Type
Peptide
Immunogen Description
Raised against a 14 amino acid peptide near the carboxy terminus of mouse KLRA2.
Target Name
KLRA2
Preparation and Storage
Can be stored at -20 degree C, stable for one year. As with all antibodies care should be taken to avoid repeated freeze thaw cycles. Antibodies should not be exposed to prolonged high temperatures.
Related Product Information for anti-KLRA2 antibody
KLRA2 (also known as Ly49B) is a member of the LY49 family of receptors in Natural Killer (NK) cells that bind to major histocompatibility complex (MHC) class 1. These proteins are classified as either activating or inhibitory receptors based on whether they possess an immunoreceptor tyrosine-based inhibitory motif (ITIM) in their cytoplasmic region (for inhibitory receptors), or an immunoreceptor tyrosine-based activation motif (ITAM) that transmits activating signals resulting in phosphorylation of several substrates. KLRA2 is thought to be an inhibitory receptor and associates with the protein tyrosine phosphatases SHP1, SHP2, and SHIP in transfected cells. This antibody is predicted to not cross-react with other LY49 receptors.
Product Categories/Family for anti-KLRA2 antibody
NCBI and Uniprot Product Information
Customer Reviews
Loading reviews...
Share Your Experience
Similar Products
Product Notes
The KLRA2 klra2 (Catalog #AAA308293) is an Antibody produced from Rabbit and is intended for research purposes only. The product is available for immediate purchase. The KLRA2 Antibody reacts with Mouse, Rat and may cross-react with other species as described in the data sheet. AAA Biotech's KLRA2 can be used in a range of immunoassay formats including, but not limited to, IHC (Immunohistochemistry), WB (Western Blot), ELISA. Researchers should empirically determine the suitability of the KLRA2 klra2 for an application not listed in the data sheet. Researchers commonly develop new applications and it is an integral, important part of the investigative research process. It is sometimes possible for the material contained within the vial of "KLRA2, Polyclonal Antibody" to become dispersed throughout the inside of the vial, particularly around the seal of said vial, during shipment and storage. We always suggest centrifuging these vials to consolidate all of the liquid away from the lid and to the bottom of the vial prior to opening. Please be advised that certain products may require dry ice for shipping and that, if this is the case, an additional dry ice fee may also be required.Precautions
All products in the AAA Biotech catalog are strictly for research-use only, and are absolutely not suitable for use in any sort of medical, therapeutic, prophylactic, in-vivo, or diagnostic capacity. By purchasing a product from AAA Biotech, you are explicitly certifying that said products will be properly tested and used in line with industry standard. AAA Biotech and its authorized distribution partners reserve the right to refuse to fulfill any order if we have any indication that a purchaser may be intending to use a product outside of our accepted criteria.Disclaimer
Though we do strive to guarantee the information represented in this datasheet, AAA Biotech cannot be held responsible for any oversights or imprecisions. AAA Biotech reserves the right to adjust any aspect of this datasheet at any time and without notice. It is the responsibility of the customer to inform AAA Biotech of any product performance issues observed or experienced within 30 days of receipt of said product. To see additional details on this or any of our other policies, please see our Terms & Conditions page.Item has been added to Shopping Cart
If you are ready to order, navigate to Shopping Cart and get ready to checkout.
