Rabbit KPNA2 Polyclonal Antibody | anti-KPNA2 antibody
KPNA2 Antibody
Phosphate buffered saline, pH 7.4, 150mM NaCl, 0.02% sodium azide and 50% glycerol.
WB (Western Blot)
(Western blot analysis of HeLa whole cell lysate, using KPNA2 Antibody. The lane on the left is treated with the antigen-specific peptide.)
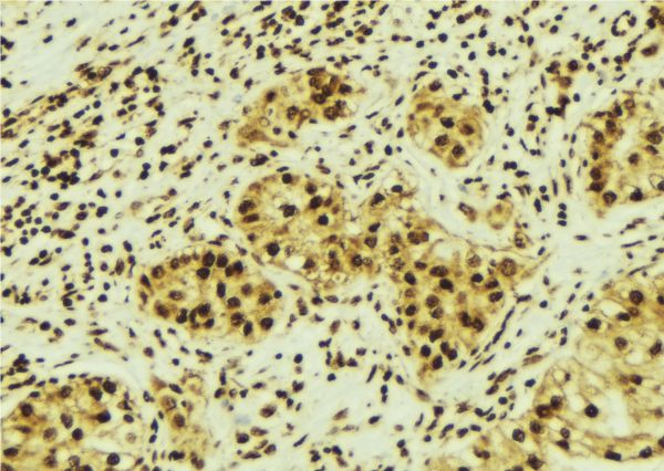
IHC (Immunohistochemistry)
(AAA326277 at 1/100 staining Human breast cancer tissue by IHC-P. The sample was formaldehyde fixed and a heat mediated antigen retrieval step in citrate buffer was performed. The sample was then blocked and incubated with the antibody for 1.5 hours at 22 degree C. An HRP conjugated goat anti-rabbit antibody was used as the secondary.)
Function: Functions in nuclear protein import as an adapter protein for nuclear receptor KPNB1. Binds specifically and directly to substrates containing either a simple or bipartite NLS motif. Docking of the importin/substrate complex to the nuclear pore complex (NPC) is mediated by KPNB1 through binding to nucleoporin FxFG repeats and the complex is subsequently translocated through the pore by an energy requiring, Ran-dependent mechanism. At the nucleoplasmic side of the NPC, Ran binds to importin-beta and the three components separate and importin-alpha and-beta are re-exported from the nucleus to the cytoplasm where GTP hydrolysis releases Ran from importin. The directionality of nuclear import is thought to be conferred by an asymmetric distribution of the GTP-and GDP-bound forms of Ran between the cytoplasm and nucleus.
Subunit Structure: Heterodimer; with KPNB1. Interacts with ANP32E (By similarity). Component of a complex containing CSE1L, RAN and KPNA2. Interacts directly with CSE1L. Interacts with HIV-1 Vpr and PLAG1. Interacts with APEX1 (via N-terminus). Interacts with FRG1 (via N-terminus). Interacts with ARL4A, CTNNBL1 and NBN. Interacts with SNAI1 (via zinc fingers) and SNAI2 (via zinc fingers).
Similarity: Consists of an N-terminal hydrophilic region, a hydrophobic central region composed of 10 repeats, and a short hydrophilic C-terminus. The N-terminal hydrophilic region contains the importin beta binding domain (IBB domain), which is sufficient for binding importin beta and essential for nuclear protein import.The IBB domain is thought to act as an intrasteric autoregulatory sequence by interacting with the internal autoinhibitory NLS. Binding of KPNB1 probably overlaps the internal NLS and contributes to a high affinity for cytoplasmic NLS-containing cargo substrates. After dissociation of the importin/substrate complex in the nucleus the internal autohibitory NLS contributes to a low affinity for nuclear NLS-containing proteins (By similarity).The major and minor NLS binding sites are mainly involved in recognition of simple or bipartite NLS motifs. Structurally located within in a helical surface groove they contain several conserved Trp and Asn residues of the corresponding third helices (H3) of ARM repeats which mainly contribute to binding (By similarity). Belongs to the importin alpha family.
NCBI and Uniprot Product Information
Predicted: 58 kDa
Customer Reviews
Loading reviews...
Share Your Experience
Similar Products
Product Notes
The KPNA2 kpna2 (Catalog #AAA326277) is an Antibody produced from Rabbit and is intended for research purposes only. The product is available for immediate purchase. The KPNA2 Antibody reacts with Human, Mouse, Rat and may cross-react with other species as described in the data sheet. AAA Biotech's KPNA2 can be used in a range of immunoassay formats including, but not limited to, ELISA, IHC (Immunohistochemistry), WB (Western Blot). Researchers should empirically determine the suitability of the KPNA2 kpna2 for an application not listed in the data sheet. Researchers commonly develop new applications and it is an integral, important part of the investigative research process. It is sometimes possible for the material contained within the vial of "KPNA2, Polyclonal Antibody" to become dispersed throughout the inside of the vial, particularly around the seal of said vial, during shipment and storage. We always suggest centrifuging these vials to consolidate all of the liquid away from the lid and to the bottom of the vial prior to opening. Please be advised that certain products may require dry ice for shipping and that, if this is the case, an additional dry ice fee may also be required.Precautions
All products in the AAA Biotech catalog are strictly for research-use only, and are absolutely not suitable for use in any sort of medical, therapeutic, prophylactic, in-vivo, or diagnostic capacity. By purchasing a product from AAA Biotech, you are explicitly certifying that said products will be properly tested and used in line with industry standard. AAA Biotech and its authorized distribution partners reserve the right to refuse to fulfill any order if we have any indication that a purchaser may be intending to use a product outside of our accepted criteria.Disclaimer
Though we do strive to guarantee the information represented in this datasheet, AAA Biotech cannot be held responsible for any oversights or imprecisions. AAA Biotech reserves the right to adjust any aspect of this datasheet at any time and without notice. It is the responsibility of the customer to inform AAA Biotech of any product performance issues observed or experienced within 30 days of receipt of said product. To see additional details on this or any of our other policies, please see our Terms & Conditions page.Item has been added to Shopping Cart
If you are ready to order, navigate to Shopping Cart and get ready to checkout.
