Rabbit KRT18 Polyclonal Antibody | anti-KRT18 antibody
KRT18 Polyclonal Antibody
Gene Names
KRT18; K18; CYK18
Reactivity
Human, Mouse, Rat
Applications
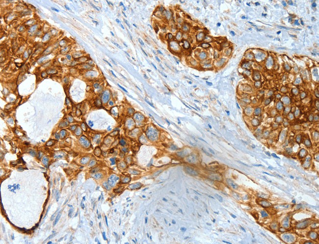
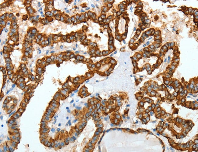
Immunohistochemistry, ELISA
Purity
Antigen affinity purification
Synonyms
KRT18, Antibody; KRT18 Polyclonal Antibody; K18; CYK18; anti-KRT18 antibody
Host
Rabbit
Reactivity
Human, Mouse, Rat
Clonality
Polyclonal
Isotype
IgG
Purity/Purification
Antigen affinity purification
Concentration
1.1mg/mL (varies by lot)
Sequence Length
430
Applicable Applications for anti-KRT18 antibody
IHC (Immunohistochemistry), ELISA
Immunogen
Recombinant protein of human KRT18
Buffer
PBS with 0.05% sodium azide, 50% glycerol, pH7.3
Preparation and Storage
Store at -20 degree C (regular) and -80 degree C (long term). Avoid freeze / thaw cycles.
Related Product Information for anti-KRT18 antibody
KRT18 encodes the type I intermediate filament chain keratin 18. Keratin 18, together with its filament partner keratin 8, are perhaps the most commonly found members of the intermediate filament gene family. They are expressed in single layer epithelial tissues of the body. Mutations in this gene have been linked to cryptogenic cirrhosis. Two transcript variants encoding the same protein have been found for this gene.
Product Categories/Family for anti-KRT18 antibody
NCBI and Uniprot Product Information
NCBI GI #
NCBI GeneID
NCBI Accession #
NCBI GenBank Nucleotide #
Molecular Weight
48,058 Da
NCBI Official Full Name
keratin, type I cytoskeletal 18
NCBI Official Synonym Full Names
keratin 18, type I
NCBI Official Symbol
KRT18
NCBI Official Synonym Symbols
K18; CYK18
NCBI Protein Information
keratin, type I cytoskeletal 18; CK-18; cell proliferation-inducing gene 46 protein; cell proliferation-inducing protein 46; cytokeratin 18; cytokeratin-18
UniProt Protein Name
Keratin, type I cytoskeletal 18
UniProt Gene Name
KRT18
UniProt Synonym Gene Names
CYK18; CK-18; K18
UniProt Entry Name
K1C18_HUMAN
Similar Products
Product Notes
The KRT18 krt18 (Catalog #AAA166762) is an Antibody produced from Rabbit and is intended for research purposes only. The product is available for immediate purchase. The KRT18 Polyclonal Antibody reacts with Human, Mouse, Rat and may cross-react with other species as described in the data sheet. AAA Biotech's KRT18 can be used in a range of immunoassay formats including, but not limited to, IHC (Immunohistochemistry), ELISA. Researchers should empirically determine the suitability of the KRT18 krt18 for an application not listed in the data sheet. Researchers commonly develop new applications and it is an integral, important part of the investigative research process. It is sometimes possible for the material contained within the vial of "KRT18, Polyclonal Antibody" to become dispersed throughout the inside of the vial, particularly around the seal of said vial, during shipment and storage. We always suggest centrifuging these vials to consolidate all of the liquid away from the lid and to the bottom of the vial prior to opening. Please be advised that certain products may require dry ice for shipping and that, if this is the case, an additional dry ice fee may also be required.Precautions
All products in the AAA Biotech catalog are strictly for research-use only, and are absolutely not suitable for use in any sort of medical, therapeutic, prophylactic, in-vivo, or diagnostic capacity. By purchasing a product from AAA Biotech, you are explicitly certifying that said products will be properly tested and used in line with industry standard. AAA Biotech and its authorized distribution partners reserve the right to refuse to fulfill any order if we have any indication that a purchaser may be intending to use a product outside of our accepted criteria.Disclaimer
Though we do strive to guarantee the information represented in this datasheet, AAA Biotech cannot be held responsible for any oversights or imprecisions. AAA Biotech reserves the right to adjust any aspect of this datasheet at any time and without notice. It is the responsibility of the customer to inform AAA Biotech of any product performance issues observed or experienced within 30 days of receipt of said product. To see additional details on this or any of our other policies, please see our Terms & Conditions page.Item has been added to Shopping Cart
If you are ready to order, navigate to Shopping Cart and get ready to checkout.
