Rabbit anti-Human KRT40 Polyclonal Antibody | anti-KRT40 antibody
KRT40 Antibody
Gene Names
KRT40; K40; KA36; CK-40
Reactivity
Human
Applications
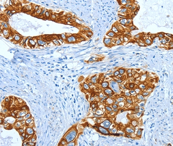
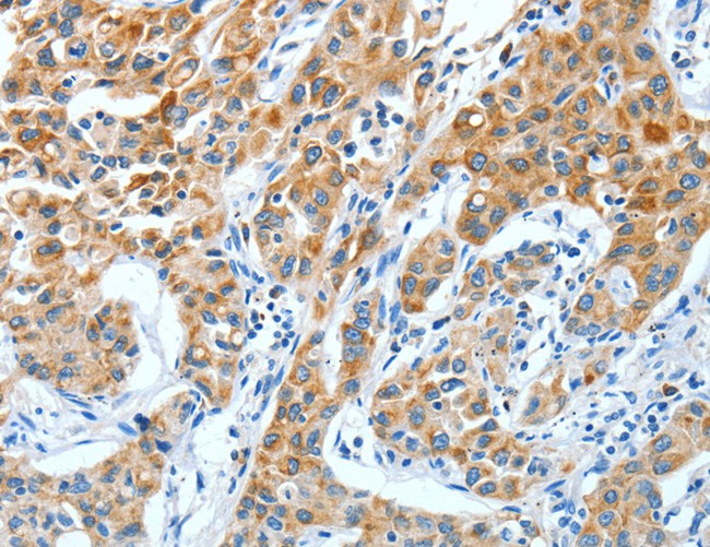
Immunohistochemistry, Western Blot
Purity
Antigen affinity purification.
Synonyms
KRT40, Antibody; KRT40 Antibody; K40; KA36; CK-40; anti-KRT40 antibody
Host
Rabbit
Reactivity
Human
Clonality
Polyclonal
Specificity
The antibody detects endogenous levels of total KRT40 protein.
Purity/Purification
Antigen affinity purification.
Form/Format
Rabbit IgG in pH7.3 PBS, 0.05% NaN3, 50% Glycerol.
Concentration
1.9 mg/ml (varies by lot)
Sequence Length
431
Applicable Applications for anti-KRT40 antibody
IHC (Immunohistochemistry), WB (Western Blot)
Immunogen Type
Recombinant Protein
Immunogen Description
Fusion protein corresponding to a region derived from internal residues of human keratin 40
Target Name
KRT40
Preparation and Storage
Store at -20 degree C
Related Product Information for anti-KRT40 antibody
This gene encodes a member of the type I (acidic) keratin family, which belongs to the superfamily of intermediate filament (IF) proteins. Keratins are heteropolymeric structural proteins which form the intermediate filament. These filaments, along with actin microfilaments and microtubules, compose the cytoskeleton of epithelial cells. The type I keratin genes are clustered in a region of chromosome 17q12-q21.
Product Categories/Family for anti-KRT40 antibody
NCBI and Uniprot Product Information
NCBI GI #
NCBI GeneID
NCBI Accession #
NCBI GenBank Nucleotide #
Molecular Weight
48,139 Da
NCBI Official Full Name
keratin, type I cytoskeletal 40
NCBI Official Synonym Full Names
keratin 40, type I
NCBI Official Symbol
KRT40
NCBI Official Synonym Symbols
K40; KA36; CK-40
NCBI Protein Information
keratin, type I cytoskeletal 40
UniProt Protein Name
Keratin, type I cytoskeletal 40
UniProt Gene Name
KRT40
UniProt Synonym Gene Names
KA36; CK-40; K40
UniProt Entry Name
K1C40_HUMAN
Customer Reviews
Loading reviews...
Share Your Experience
Similar Products
Product Notes
The KRT40 krt40 (Catalog #AAA307296) is an Antibody produced from Rabbit and is intended for research purposes only. The product is available for immediate purchase. The KRT40 Antibody reacts with Human and may cross-react with other species as described in the data sheet. AAA Biotech's KRT40 can be used in a range of immunoassay formats including, but not limited to, IHC (Immunohistochemistry), WB (Western Blot). Researchers should empirically determine the suitability of the KRT40 krt40 for an application not listed in the data sheet. Researchers commonly develop new applications and it is an integral, important part of the investigative research process. It is sometimes possible for the material contained within the vial of "KRT40, Polyclonal Antibody" to become dispersed throughout the inside of the vial, particularly around the seal of said vial, during shipment and storage. We always suggest centrifuging these vials to consolidate all of the liquid away from the lid and to the bottom of the vial prior to opening. Please be advised that certain products may require dry ice for shipping and that, if this is the case, an additional dry ice fee may also be required.Precautions
All products in the AAA Biotech catalog are strictly for research-use only, and are absolutely not suitable for use in any sort of medical, therapeutic, prophylactic, in-vivo, or diagnostic capacity. By purchasing a product from AAA Biotech, you are explicitly certifying that said products will be properly tested and used in line with industry standard. AAA Biotech and its authorized distribution partners reserve the right to refuse to fulfill any order if we have any indication that a purchaser may be intending to use a product outside of our accepted criteria.Disclaimer
Though we do strive to guarantee the information represented in this datasheet, AAA Biotech cannot be held responsible for any oversights or imprecisions. AAA Biotech reserves the right to adjust any aspect of this datasheet at any time and without notice. It is the responsibility of the customer to inform AAA Biotech of any product performance issues observed or experienced within 30 days of receipt of said product. To see additional details on this or any of our other policies, please see our Terms & Conditions page.Item has been added to Shopping Cart
If you are ready to order, navigate to Shopping Cart and get ready to checkout.
