Rabbit anti-Rat, Mouse Kv11.1 Polyclonal Antibody | anti-Kv11.1 antibody
Kv11.1 Rabbit Polyclonal Antibody
Gene Names
KCNV2; Kv8.2; RCD3B; KV11.1
Reactivity
Rat, Mouse
Applications
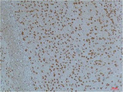
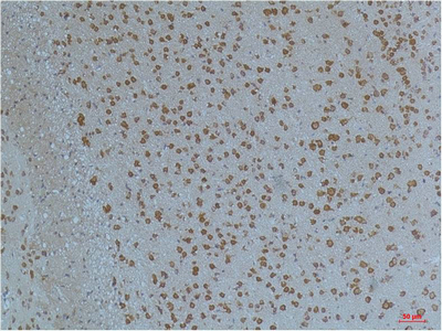
Immunofluorescence, Immunohistochemistry, Western Blot
Purity
The antibody was affinity-purified from rabbit antiserum by affinity-chromatography using specific immunogen.
Synonyms
Kv11.1, Antibody; Kv11.1 Rabbit Polyclonal Antibody; KCNV2; Potassium voltage-gated channel subfamily V member 2; Voltage-gated potassium channel subunit Kv8.2; YM3578; BH6842; Potassium voltage-gated channel subfamily V member 2 (Voltage-gated potassium channel subunit Kv8.2); anti-Kv11.1 antibody
Host
Rabbit
Reactivity
Rat, Mouse
Clonality
Polyclonal
Specificity
Kv11.1 protein (A262) detects endogenous levels of Kv11.1
Purity/Purification
The antibody was affinity-purified from rabbit antiserum by affinity-chromatography using specific immunogen.
Form/Format
Liquid in PBS containing 50% glycerol, 0.5% BSA and 0.02% sodium azide.
Concentration
1mg/ml (varies by lot)
Applicable Applications for anti-Kv11.1 antibody
IF (Immunofluorescence), IHC (Immunohistochemistry), WB (Western Blot)
Immunogen
Synthetic Peptide of Kv11.1
Modification
Unmodified/Total
Preparation and Storage
Store at -20 degree C/1 year
Related Product Information for anti-Kv11.1 antibody
Voltage-gated potassium (Kv) channels represent the most complex class of voltage-gated ion channels from both functional and structural standpoints. Their diverse functions include regulating neurotransmitter release, heart rate, insulin secretion, neuronal excitability, epithelial electrolyte transport, smooth muscle contraction, and cell volume. This gene encodes a member of the potassium voltage-gated channel subfamily V. This member is identified as a 'silent subunit', and it does not form homomultimers, but forms heteromultimers with several other subfamily members. Through obligatory heteromerization, it exerts a function-altering effect on other potassium channel subunits. This protein is strongly expressed in Pancreas and has a weaker expression in several other tissues. [provided by RefSeq, Jul 2008]
NCBI and Uniprot Product Information
NCBI GI #
NCBI GeneID
NCBI Accession #
NCBI GenBank Nucleotide #
Molecular Weight
62,459 Da
NCBI Official Full Name
potassium voltage-gated channel subfamily V member 2
NCBI Official Synonym Full Names
potassium channel, subfamily V, member 2
NCBI Official Symbol
KCNV2
NCBI Official Synonym Symbols
Kv8.2; RCD3B; KV11.1
NCBI Protein Information
potassium voltage-gated channel subfamily V member 2; voltage-gated potassium channel subunit Kv8.2
UniProt Protein Name
Potassium voltage-gated channel subfamily V member 2
UniProt Gene Name
KCNV2
UniProt Entry Name
KCNV2_HUMAN
Customer Reviews
Loading reviews...
Share Your Experience
Similar Products
Product Notes
The Kv11.1 kcnv2 (Catalog #AAA318915) is an Antibody produced from Rabbit and is intended for research purposes only. The product is available for immediate purchase. The Kv11.1 Rabbit Polyclonal Antibody reacts with Rat, Mouse and may cross-react with other species as described in the data sheet. AAA Biotech's Kv11.1 can be used in a range of immunoassay formats including, but not limited to, IF (Immunofluorescence), IHC (Immunohistochemistry), WB (Western Blot). Researchers should empirically determine the suitability of the Kv11.1 kcnv2 for an application not listed in the data sheet. Researchers commonly develop new applications and it is an integral, important part of the investigative research process. It is sometimes possible for the material contained within the vial of "Kv11.1, Polyclonal Antibody" to become dispersed throughout the inside of the vial, particularly around the seal of said vial, during shipment and storage. We always suggest centrifuging these vials to consolidate all of the liquid away from the lid and to the bottom of the vial prior to opening. Please be advised that certain products may require dry ice for shipping and that, if this is the case, an additional dry ice fee may also be required.Precautions
All products in the AAA Biotech catalog are strictly for research-use only, and are absolutely not suitable for use in any sort of medical, therapeutic, prophylactic, in-vivo, or diagnostic capacity. By purchasing a product from AAA Biotech, you are explicitly certifying that said products will be properly tested and used in line with industry standard. AAA Biotech and its authorized distribution partners reserve the right to refuse to fulfill any order if we have any indication that a purchaser may be intending to use a product outside of our accepted criteria.Disclaimer
Though we do strive to guarantee the information represented in this datasheet, AAA Biotech cannot be held responsible for any oversights or imprecisions. AAA Biotech reserves the right to adjust any aspect of this datasheet at any time and without notice. It is the responsibility of the customer to inform AAA Biotech of any product performance issues observed or experienced within 30 days of receipt of said product. To see additional details on this or any of our other policies, please see our Terms & Conditions page.Item has been added to Shopping Cart
If you are ready to order, navigate to Shopping Cart and get ready to checkout.
