Rabbit anti-Human Kynurenine--oxoglutarate transaminase 1 Polyclonal Antibody | anti-CCBL1 antibody
Rabbit anti-human Kynurenine--oxoglutarate transaminase 1 polyclonal Antibody
Gene Names
CCBL1; GTK; KAT1; KATI
Reactivity
Human
Applications
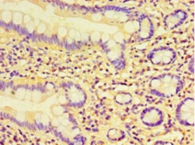
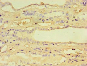
Immunohistochemistry, ELISA
Purity
Caprylic Acid Ammonium Sulfate Precipitation purified
Synonyms
Kynurenine--oxoglutarate transaminase 1, Antibody; Rabbit anti-human Kynurenine--oxoglutarate transaminase 1 polyclonal Antibody; Cysteine-S-conjugate beta-lyase; Glutamine transaminase K; Glutamine--phenylpyruvate transaminase; Kynurenine aminotransferase I; Kynurenine--oxoglutarate transaminase I; GTK; KATI; CCBL1; anti-CCBL1 antibody
Host
Rabbit
Reactivity
Human
Clonality
Polyclonal
Isotype
IgG
Purity/Purification
Caprylic Acid Ammonium Sulfate Precipitation purified
Form/Format
Liquid
Sequence Length
422
Applicable Applications for anti-CCBL1 antibody
IHC (Immunohistochemistry), ELISA
Immunogen
Recombinant human Kynurenine--oxoglutarate transaminase 1 protein(1-372aa)
Conjugation
Non-conjugated
Storage Buffer
Preservative: 0.03% Proclin 300; Constituents: 50% Glycerol, 0.01M PBS, PH 7.4
Santa Cruz Alternative
Potential replacement for Santa Cruz Biotechnology antibody catalog# sc-54016 / sc-54013 / sc-54015 / sc-67374 / sc-67375
Preparation and Storage
Shipped at 4 degree C. Upon delivery, aliquot and store at -20 degree C or -80 degree C.
Related Product Information for anti-CCBL1 antibody
Catalyzes the irreversible transamination of the L-tryptophan metabolite L-kynurenine to form kynurenic acid (KA). Metabolizes the cysteine conjugates of certain halogenated alkenes and alkanes to form reactive metabolites. Catalyzes the beta-elimination of S-conjugates and Se-conjugates of L-(seleno)cysteine, resulting in the cleavage of the C-S or C-Se bond.
This gene encodes a cytosolic enzyme that is responsible for the metabolism of cysteine conjugates of certain halogenated alkenes and alkanes. This metabolism can form reactive metabolites leading to nephrotoxicity and neurotoxicity. Increased levels of this enzyme have been linked to schizophrenia. Multiple transcript variants that encode different isoforms have been identified for this gene.
This gene encodes a cytosolic enzyme that is responsible for the metabolism of cysteine conjugates of certain halogenated alkenes and alkanes. This metabolism can form reactive metabolites leading to nephrotoxicity and neurotoxicity. Increased levels of this enzyme have been linked to schizophrenia. Multiple transcript variants that encode different isoforms have been identified for this gene.
NCBI and Uniprot Product Information
NCBI GI #
NCBI GeneID
NCBI Accession #
NCBI GenBank Nucleotide #
Molecular Weight
27,420 Da
NCBI Official Full Name
kynurenine--oxoglutarate transaminase 1 isoform a
NCBI Official Synonym Full Names
cysteine conjugate-beta lyase, cytoplasmic
NCBI Official Symbol
CCBL1
NCBI Official Synonym Symbols
GTK; KAT1; KATI
NCBI Protein Information
kynurenine--oxoglutarate transaminase 1
UniProt Protein Name
Kynurenine--oxoglutarate transaminase 1
UniProt Gene Name
CCBL1
UniProt Synonym Gene Names
GTK; KATI
UniProt Entry Name
KAT1_HUMAN
Customer Reviews
Loading reviews...
Share Your Experience
Similar Products
Product Notes
The CCBL1 ccbl1 (Catalog #AAA230223) is an Antibody produced from Rabbit and is intended for research purposes only. The product is available for immediate purchase. The Rabbit anti-human Kynurenine--oxoglutarate transaminase 1 polyclonal Antibody reacts with Human and may cross-react with other species as described in the data sheet. AAA Biotech's Kynurenine--oxoglutarate transaminase 1 can be used in a range of immunoassay formats including, but not limited to, IHC (Immunohistochemistry), ELISA. Researchers should empirically determine the suitability of the CCBL1 ccbl1 for an application not listed in the data sheet. Researchers commonly develop new applications and it is an integral, important part of the investigative research process. It is sometimes possible for the material contained within the vial of "Kynurenine--oxoglutarate transaminase 1, Polyclonal Antibody" to become dispersed throughout the inside of the vial, particularly around the seal of said vial, during shipment and storage. We always suggest centrifuging these vials to consolidate all of the liquid away from the lid and to the bottom of the vial prior to opening. Please be advised that certain products may require dry ice for shipping and that, if this is the case, an additional dry ice fee may also be required.Precautions
All products in the AAA Biotech catalog are strictly for research-use only, and are absolutely not suitable for use in any sort of medical, therapeutic, prophylactic, in-vivo, or diagnostic capacity. By purchasing a product from AAA Biotech, you are explicitly certifying that said products will be properly tested and used in line with industry standard. AAA Biotech and its authorized distribution partners reserve the right to refuse to fulfill any order if we have any indication that a purchaser may be intending to use a product outside of our accepted criteria.Disclaimer
Though we do strive to guarantee the information represented in this datasheet, AAA Biotech cannot be held responsible for any oversights or imprecisions. AAA Biotech reserves the right to adjust any aspect of this datasheet at any time and without notice. It is the responsibility of the customer to inform AAA Biotech of any product performance issues observed or experienced within 30 days of receipt of said product. To see additional details on this or any of our other policies, please see our Terms & Conditions page.Item has been added to Shopping Cart
If you are ready to order, navigate to Shopping Cart and get ready to checkout.
