Rabbit anti-Mouse, Rat L1CAM Polyclonal Antibody | anti-L1CAM antibody
L1CAM Polyclonal Antibody
Reactivity
Mouse, Rat
Applications
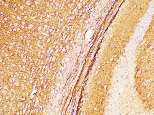
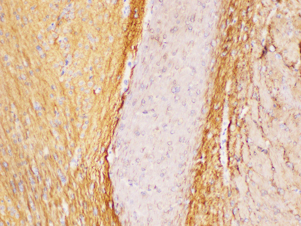
Immunohistochemistry
Purity
Antigen Affinity Purification
Synonyms
L1CAM, Antibody; L1CAM Polyclonal Antibody; Antigen identified by monoclonal antibody R1; CAML1; CD171; CD171 antigen; HSAS; HSAS1; Hyd; L1 cell adhesion molecule; L1; MASA; L1cam; MIC5; NCAML1; Nerve-growth factor-inducible large external glycoprotein; Neural cell adhesion molecule L1; NILE; OTTHUMP00000025992; S10; SPG1; anti-L1CAM antibody
Host
Rabbit
Reactivity
Mouse, Rat
Clonality
Polyclonal
Isotype
IgG
Purity/Purification
Antigen Affinity Purification
Form/Format
PBS with 0.05% Proclin300, 50% glycerol, pH7.3.
Concentration
1mg/mL (varies by lot)
Applicable Applications for anti-L1CAM antibody
IHC (Immunohistochemistry)
Immunogen
Recombinant Mouse Neural cell adhesion molecule L1 protein
Conjugation
Unconjugated
Preparation and Storage
Store at -20 degree C. Avoid freeze/thaw cycles.
Related Product Information for anti-L1CAM antibody
The protein encoded by this gene is an axonal glycoprotein belonging to the immunoglobulin supergene family. The ectodomain, consisting of several immunoglobulin-like domains and fibronectin-like repeats (type III), is linked via a single transmembrane sequence to a conserved cytoplasmic domain. This cell adhesion molecule plays an important role in nervous system development, including neuronal migration and differentiation. Mutations in the gene cause X-linked neurological syndromes known as CRASH (corpus callosum hypoplasia, retardation, aphasia, spastic paraplegia and hydrocephalus). Alternative splicing of this gene results in multiple transcript variants, some of which include an alternate exon that is considered to be specific to neurons.
Product Categories/Family for anti-L1CAM antibody
NCBI and Uniprot Product Information
Similar Products
Product Notes
The L1CAM l1cam (Catalog #AAA177920) is an Antibody produced from Rabbit and is intended for research purposes only. The product is available for immediate purchase. The L1CAM Polyclonal Antibody reacts with Mouse, Rat and may cross-react with other species as described in the data sheet. AAA Biotech's L1CAM can be used in a range of immunoassay formats including, but not limited to, IHC (Immunohistochemistry). Researchers should empirically determine the suitability of the L1CAM l1cam for an application not listed in the data sheet. Researchers commonly develop new applications and it is an integral, important part of the investigative research process. It is sometimes possible for the material contained within the vial of "L1CAM, Polyclonal Antibody" to become dispersed throughout the inside of the vial, particularly around the seal of said vial, during shipment and storage. We always suggest centrifuging these vials to consolidate all of the liquid away from the lid and to the bottom of the vial prior to opening. Please be advised that certain products may require dry ice for shipping and that, if this is the case, an additional dry ice fee may also be required.Precautions
All products in the AAA Biotech catalog are strictly for research-use only, and are absolutely not suitable for use in any sort of medical, therapeutic, prophylactic, in-vivo, or diagnostic capacity. By purchasing a product from AAA Biotech, you are explicitly certifying that said products will be properly tested and used in line with industry standard. AAA Biotech and its authorized distribution partners reserve the right to refuse to fulfill any order if we have any indication that a purchaser may be intending to use a product outside of our accepted criteria.Disclaimer
Though we do strive to guarantee the information represented in this datasheet, AAA Biotech cannot be held responsible for any oversights or imprecisions. AAA Biotech reserves the right to adjust any aspect of this datasheet at any time and without notice. It is the responsibility of the customer to inform AAA Biotech of any product performance issues observed or experienced within 30 days of receipt of said product. To see additional details on this or any of our other policies, please see our Terms & Conditions page.Item has been added to Shopping Cart
If you are ready to order, navigate to Shopping Cart and get ready to checkout.
